"Экспертиза". 8 Случай.

Методы исследования: 

Просьба высказать мнение по поводу представленного патологического состояния.

 

  • https://radiomed.ru/sites/default/files/styles/case_slider_image/public/user/12/82.Eks_.JPG?itok=94s0vDzV
  • https://radiomed.ru/sites/default/files/styles/case_slider_image/public/user/12/83.Eks_.JPG?itok=jH8_ZMl9
  • https://radiomed.ru/sites/default/files/styles/case_slider_image/public/user/12/84.Eks_.jpg?itok=LF8eFY4-
ID:44739
Андрей Юрьевич аватар
Не на сайте
Был на сайте: 1 месяц 2 недели назад
Зарегистрирован: 16.11.2008 - 22:16
Публикации: 18101

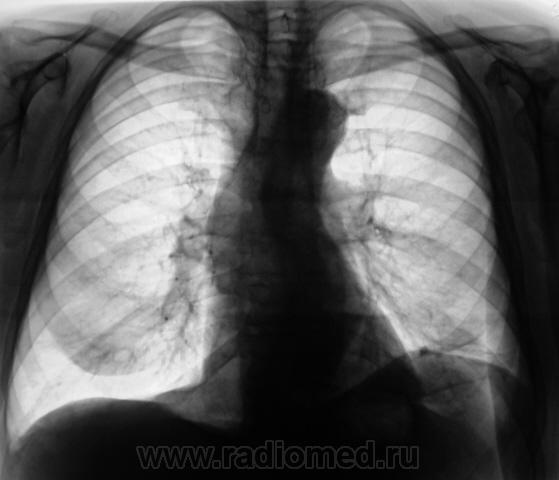
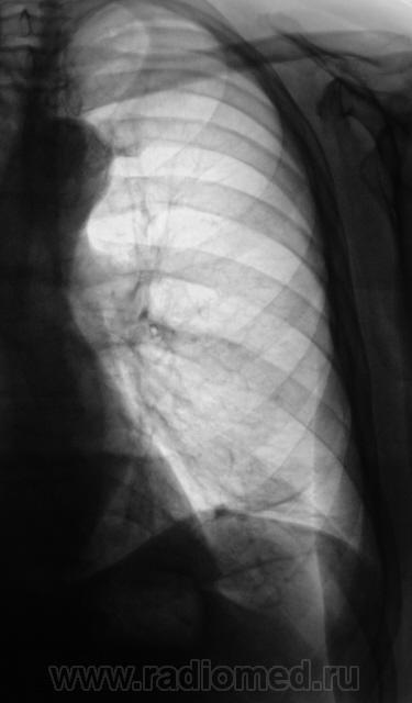
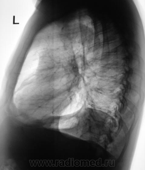
Легкие без очаговых и инфильтративных изменений, увеличены в объеме и прозрачности (эмфизема). Особенно увеличен объем язычковых сегментов левого легкого, несколько уменьшена в объеме нижняя доля. Левый купол диафрагмы расположен несколько выше нормы, особенно задние отделы, плевро-диафрагмальная спайка, увеличено расстояние до газового пузыря желудка. Предварительное заключение: подозрение на нарушение бронхиальной проходимости в левом легком, базальный гидроторакс слева. Дообследование: линейная томография (боковая проекция обязательна, может быть очень информативной), латерография для исключения/подтверждения свободной жидкости в левой плевральной полости.

Андрей Юрьевич

Ермолаев аватар
Не на сайте
Был на сайте: 9 лет 1 месяц назад
Зарегистрирован: 07.02.2009 - 16:33
Публикации: 670

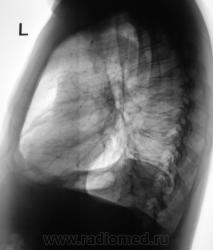
Легкие без видимых очаговых и инфильтративных измнений. По прямой рентгенограмме левая половина диафрагмы расположена выше обычного. Прозрачность левого легочного поля выше правого. При изучении левой боковой рентгенограммы нижняя доля левого легкого резко уменьшена в объеме в пределах анатомических границ. Затенение базальных отделов левого легочного поля на фоне которого не дифференцируется левая половина диафрагмы. Викарная эмфизема верхней доли левого легкого.

Заключение(вывод): больше данных за ателектаз нижней доли левого легкого (гиповентиляция). Необходимо дополнительное исследование проходимости бронхиального дерева левого легкого. Бронхоскопия, ТМГ, КТ.

dok

Анатолий Владимирович Шумаков аватар
Не на сайте
Был на сайте: 8 лет 3 недели назад
Зарегистрирован: 16.10.2009 - 21:16
Публикации: 1941

Слева в нижних отделах пневмофиброз, приподнятость диафрагмы, асимметрия грудных мышц или молочных желез - возможно было лучевое лечение опухоли левой молочной железы??? Если нет - Узи живота, бронхоскопия.

anna kuzmina аватар
Не на сайте
Был на сайте: 15 лет 10 месяцев назад
Зарегистрирован: 07.02.2010 - 18:47
Публикации: 9

СЛЕВА ЗА 6 РЕБРОМ  ЛАТЕРАЛЬНО

ВРОДЕ БЫ ИМЕЕТСЯ  НЕБ. УЧАСТОК  УПЛОТНЕНИЯ ( НА  БОКОВОМ НЕ НАХОЖУ, ГДЕ).

СЛЕВА НАД  ДИАФРАГМОЙ  ЕДИНИЧНЫЕ  ЛИНЕЙНЫЕ  ШВАРТЫ,

ЗАДНИЙ СИНУС  ОБЛИТЕРИРОВАН, ЛЕВ.  КУПОЛ ДИАФРАГМЫ ПРИПОДНЯТ.

ФИКСИРОВАН  ПЛЕВРО-ДИАФР. СПАЙКАМИ. ХОРОШО БЫ ЗНАТЬ АНАМНЕЗ - ЧТО И КОГДА  БЫЛО СЛЕВА?

 ЖАЛОБЫ? ТРАВМА?  ПРЕД. СНИМКИ?

Наталия аватар
Не на сайте
Был на сайте: 8 лет 10 месяцев назад
Зарегистрирован: 30.07.2008 - 13:24
Публикации: 538

Ателектаз нижней доли левого л1гкого.

Игорь Иванович аватар
Не на сайте
Был на сайте: 4 года 1 неделя назад
Зарегистрирован: 23.01.2010 - 14:56
Публикации: 3695

Что-то на ателектаз не похоже. Какие-то плевральные штучки.