«Это не наше…», или «А, Ваши «хоботы», да под трамвайчичек…»

Пол пациента: 
Тип патологии: 
Методы исследования: 

Возможно, отдельные иллюстрации, представленные ниже, покажутся уважаемым коллегам знакомыми, но это нормально, и даже хорошо.

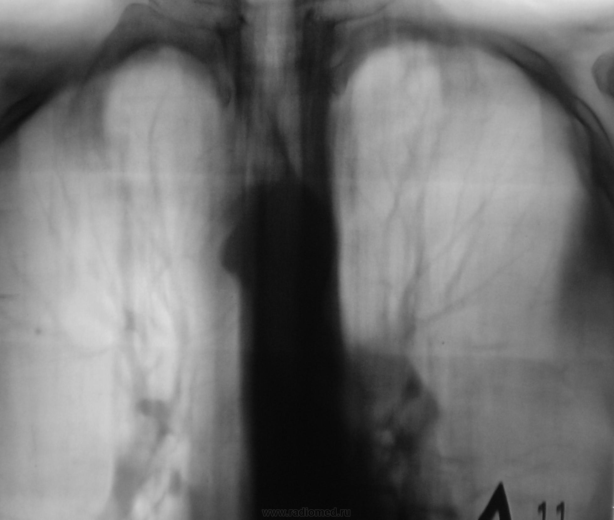
Пациента зацепили по «флюшке», дообследовали и направили на консультацию к фтизиатру.

Через три дня коллега фтизиатр, подвигав своим фтизиатрическим «хоботом» изрек довольно часто-козырно-фтизиатрическое – «Это не наше»…

Пациент был «отдан» во всезнающие и всёмогущие руки терапевтов, которые, используя все, что можно пролечили «бедолагу»… и направили на рентген-контроль.

«Диагностическая и Лечебная Фортуна», как известно, дама капризная, и не стала реагировать на «лечебные происки» терапевтов.

Терапевтами была назначена КОНСУЛЬТАЦИЯ ФТИЗИАТРА.

Мы, расценили ту «круглую тенюху» (тенюха ниже – 2 снимка), как туберкулому тоже настаивая на консультации фтизиатра.

Кстати, в тенюхе, тот «У» - образный «распад» (хотя, на мой взгляд, таким распад быть не может), которым интересовался коллега Nikolas, по поводу иллюстрации приведенной в монографическом источнике (иллюстрация ниже).

Но коллега фтизиатр был не согласен, и в очередной раз, подвигав своим фтизиатрическим «хоботом» изрек козырно-фтизиатрическое - «Это не наше»…

Пациент чувствовал себя не плохо и на временной период «х» завис в родных сельских пределах в кругу семьи и друзей.

Но, вдруг (у нас часто многое – «вдруг»), пациент крованул – массивное кровохарканье, да и почувствовал себя ближе «к небесам» и на носилках был доставлен в поликлинику, на прием к терапевту, но терапевт пожелал «исключить пневмонию»…

Комментарии излишни…

Пациента, весьма «проблемно», быстренько транспортировали в «областную контору»…, прошел год, и сегодня пациент явился на плановое рентгенологическое исследование.

  • https://radiomed.ru/sites/default/files/styles/case_slider_image/public/user/12/2.p9140036.jpg?itok=qipeQLg1
  • https://radiomed.ru/sites/default/files/styles/case_slider_image/public/user/12/3.p9140037.jpg?itok=QelWhAPS
  • https://radiomed.ru/sites/default/files/styles/case_slider_image/public/user/12/4.p9140038.jpg?itok=ur_TPLnl
  • https://radiomed.ru/sites/default/files/styles/case_slider_image/public/user/12/5.p9140039.jpg?itok=3n-qOh1V
  • https://radiomed.ru/sites/default/files/styles/case_slider_image/public/user/12/1.p9140040.jpg?itok=RuzGAfXR
  • https://radiomed.ru/sites/default/files/styles/case_slider_image/public/user/12/2.p9140041.jpg?itok=_KJza-ZJ
  • https://radiomed.ru/sites/default/files/styles/case_slider_image/public/user/12/3.p9140042.jpg?itok=Iy_xgas-
  • https://radiomed.ru/sites/default/files/styles/case_slider_image/public/user/12/4.p9140043.jpg?itok=-iH1c7uZ
  • https://radiomed.ru/sites/default/files/styles/case_slider_image/public/user/12/5.p9140044.jpg?itok=hPHYRvn6
  • https://radiomed.ru/sites/default/files/styles/case_slider_image/public/user/12/11.p9140045.jpg?itok=_q1fB9lO
  • https://radiomed.ru/sites/default/files/styles/case_slider_image/public/user/12/12.p9140045a.jpg?itok=Ti8RWY9H
  • https://radiomed.ru/sites/default/files/styles/case_slider_image/public/user/12/1._i.dscf2973.jpg?itok=sktuakpD
  • https://radiomed.ru/sites/default/files/styles/case_slider_image/public/user/12/2.i.dscf2971.jpg?itok=-cdQyxLN
  • https://radiomed.ru/sites/default/files/styles/case_slider_image/public/user/12/1.p9140046.jpg?itok=5DWPpl_p
  • https://radiomed.ru/sites/default/files/styles/case_slider_image/public/user/12/2.p9140047.jpg?itok=LxsAiBvQ
  • https://radiomed.ru/sites/default/files/styles/case_slider_image/public/user/12/3.p9140048.jpg?itok=-HHxsuk3
  • https://radiomed.ru/sites/default/files/styles/case_slider_image/public/user/12/4.p9140049.jpg?itok=wZEx2rRO
  • https://radiomed.ru/sites/default/files/styles/case_slider_image/public/user/12/5.p9140049a.jpg?itok=3qYfIIDj
  • https://radiomed.ru/sites/default/files/styles/case_slider_image/public/user/12/6.p9140049ab.jpg?itok=iSIcDihp
  • https://radiomed.ru/sites/default/files/styles/case_slider_image/public/user/12/1.p9140054.jpg?itok=9LCCfgO7
  • https://radiomed.ru/sites/default/files/styles/case_slider_image/public/user/12/2.p9140055.jpg?itok=owm_DhJE
  • https://radiomed.ru/sites/default/files/styles/case_slider_image/public/user/12/3.p9140056.jpg?itok=XI5CMpBU
  • https://radiomed.ru/sites/default/files/styles/case_slider_image/public/user/12/4.p9140057.jpg?itok=Ch8QotlH
ID:15449
Игорь Иванович аватар
Не на сайте
Был на сайте: 3 года 9 месяцев назад
Зарегистрирован: 23.01.2010 - 14:56
Публикации: 3695

То, что слева в S2 имеет ТВС характер, видно на первом снимке, а вот какая форма и стадия процесса - это как раз и задача фтизиатров (не даром они сидят на одной болезни и, практически, на одном органе, и к 15% Ro-логических имеют 25% за палочку). А как расценивались плевральные дела во время 1 обследования? Очень поучительный случай, особенно в предверии (через неделю) моего отбытия на тематический цикл по ТБС в ХМАПО.

Катенёв Валентин Львович аватар
Не на сайте
Был на сайте: 7 лет 3 недели назад
Зарегистрирован: 22.03.2008 - 22:15
Публикации: 54876

Здравствуйте Игорь Иванович!

И.Е. Крамному от меня приветик передайте и наилучшие пожелания.

stovbav аватар
Не на сайте
Был на сайте: 2 года 2 месяцев назад
Зарегистрирован: 20.12.2009 - 17:28
Публикации: 7066

Игорь Иванович wrote:

......особенно в предверии (через неделю) моего отбытия на тематический цикл по ТБС в ХМАПО.

1. Игорь Иванович, а ведь 30-09-01-10 в Полтаве будут республиканские курсы...и как раз по туберкулезу...приезжай, еще один сертификат получишь))))

2. Кстати - Крамной И.Е. там тоже заявлен...

3. То, что у данного пациента туберкулез - без сомнений, плеврит, насколько я понимаю, тоже из той же оперы...

Катенёв Валентин Львович аватар
Не на сайте
Был на сайте: 7 лет 3 недели назад
Зарегистрирован: 22.03.2008 - 22:15
Публикации: 54876

stovbav wrote:

Игорь Иванович wrote:

......особенно в предверии (через неделю) моего отбытия на тематический цикл по ТБС в ХМАПО.

3. То, что у данного пациента туберкулез - без сомнений, плеврит, насколько я понимаю, тоже из той же оперы...

Вы правы уважаемый Виктор Григорьевич!

Но "хранители фтизы", порой отличаются железобетонным упорством.

Nikolas аватар
Не на сайте
Был на сайте: 2 месяцев 2 дня назад
Зарегистрирован: 21.12.2010 - 20:37
Публикации: 4559

представленный Валентином Львовичем и дальнейшая  отрицательная динамика туберкулезного процесса, указывает нам на прогрессирование туберкулёмы. Вспышку туберкулёзного процесса подтверждает плевральный выпот слева. Следовательно, "Y- образный распад" в туберкулёме необходимо рассматривать как активный процесс. Необходимо накапливать материалы по этой теме. Благодарю В.Л. Катенёва за редкое, важное и поучительное для врачей различных специальностей клиническое наблюдение. С уважением Nikolas

Nikolas аватар
Не на сайте
Был на сайте: 2 месяцев 2 дня назад
Зарегистрирован: 21.12.2010 - 20:37
Публикации: 4559

Уважаемый Валентин Львович! Какова продолжительность "временного периода" от начальных снимков с выпотом до выраженных деструктивных изменений в легких? С уважением Nik

Катенёв Валентин Львович аватар
Не на сайте
Был на сайте: 7 лет 3 недели назад
Зарегистрирован: 22.03.2008 - 22:15
Публикации: 54876

Прошло 2 года с небольшим.

Nikolas аватар
Не на сайте
Был на сайте: 2 месяцев 2 дня назад
Зарегистрирован: 21.12.2010 - 20:37
Публикации: 4559

ответ. С уважением Nikolas