"Происки" Его Величества или противостояние....

Пол пациента: 
Тип патологии: 
Методы исследования: 

Гражданин находился в гостях, у родственников в соседнем районе, там «занемог». Был осмотрен терапевтом, направлен на рентгенологическое исследование ОГК, была произведена рентгенограмма в прямой стандартной проекции, была диагностирована правосторонняя верхнедолевая пневмония. Того снимка нет, не отдали коллеги из соседнего района.

Пациент в течение 2-х недель лечился по поводу пневмонии в терапевтическом отделении, был выписан с улучшением, контрольного исследования не сделали, так как пациент чувствовал себя хорошо.

Через 2 недели после выписки, уже у нас был направлен на рентгенологическое исследование ОГК с диагнозом – «бронхит».

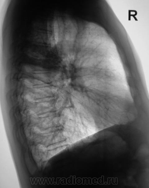
Произведена рентгенограмма в прямой стандартной проекции и томограммы в стандартных срезах.

«Пневмония», сразу показалась какой-то «фердиперсовой», с учетом лечения в стационаре ранее, довольно хорошего самочувствия пациента и наличием весьма «убогой» клиники. После проведения исследования было рекомендовано провести противовоспалительное лечение, исследование мокроты с целью проведения дифференциальной диагностики, рекомендована консультация фтизиатра.

Пациента добросовестно «пользовали» в течение 2 недель, затем был направлен на рентген-контроль.

 

 

И, вот тут-то и началось.

Мы в протоколе, конечно, отметили, о возможности инфильтративного туберкулёза, д/д ряд даже не дали.

НО, ПАЛОК-то не нашли, «кита» не обнаружили.

Коллега фтизиатр кричит, что «это не мое», говорит об определенной динамике по рентгенограммам и томограммам, опирается на наличие воздуха в бронхах (воздушная бронхограмма), гнет линию в сторону пневмонии. Да, его коллегу, тоже можно понять, ибо, давно «план» по выявлению выполнили и даже перевыполнили, его тоже, по всей видимости, за выход за «рамки плана» по голове -то не погладят.

Но, мы стойко несмотря ни на что, стояли на тубере.

Решили направить в «областную контору». В конторе, как-то особого энтузиазма данный пациент не вызвал, нас даже пожурили. Но мы, посыпав «голову пеплом», сославшись на наше церковно-приходское образование и периферийную убогость, мол «ВЫ – ОТЦЫ НАШИ», а мы блудливые «ДЕТИ ВАШИ», про себя, конечно, вспомнили «ихнюю маму», уговорили. Пациента госпитализировали на диагностическую койку.

А через 2 недели жительства на «диагностической койке» приплыл «КИТ» - были во множестве обнаружены «жемчужинки Его Величества», мы конечно, облегченно взохнули, мол – де «головомоя» не будет.

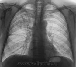
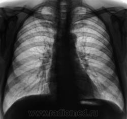
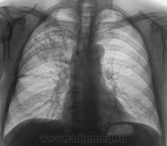
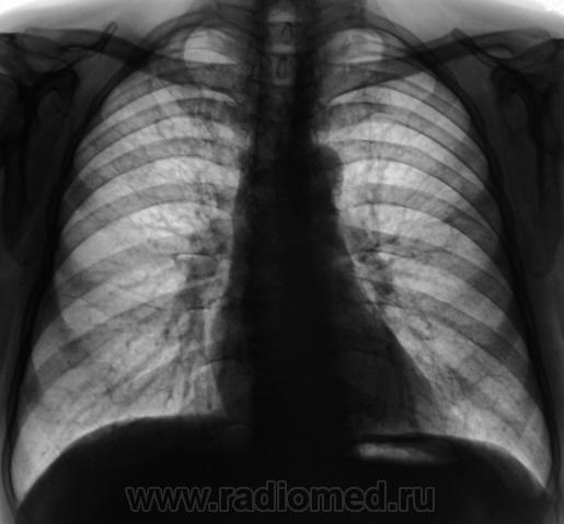
Пациент 4 месяца, по полной программе отлежал в областной конторе, ЦВК утвердило «инфильтративный». После выписки был направлен под надзор фтизиатра по месту жительства. Ниже иллюстрации после выписки.

Снимки сегодня.

  • https://radiomed.ru/sites/default/files/styles/case_slider_image/public/user/12/2.pb160013.jpg?itok=Yo0P4kig
  • https://radiomed.ru/sites/default/files/styles/case_slider_image/public/user/12/3.pb160014.jpg?itok=oOuz-X0V
  • https://radiomed.ru/sites/default/files/styles/case_slider_image/public/user/12/4.pb160015.jpg?itok=F12-QUMl
  • https://radiomed.ru/sites/default/files/styles/case_slider_image/public/user/12/1.pb160016.jpg?itok=dtf5iv0N
  • https://radiomed.ru/sites/default/files/styles/case_slider_image/public/user/12/2.pb160017.jpg?itok=7_cn_U-Y
  • https://radiomed.ru/sites/default/files/styles/case_slider_image/public/user/12/3.pb160018.jpg?itok=8oHwAlOa
  • https://radiomed.ru/sites/default/files/styles/case_slider_image/public/user/12/4.pb160019.jpg?itok=cOYdqyhL
  • https://radiomed.ru/sites/default/files/styles/case_slider_image/public/user/12/5.pb160020.jpg?itok=p1D-Jjad
  • https://radiomed.ru/sites/default/files/styles/case_slider_image/public/user/12/6.pb160021.jpg?itok=navRuuXb
  • https://radiomed.ru/sites/default/files/styles/case_slider_image/public/user/12/1.pb160022.jpg?itok=nlbPjGZV
  • https://radiomed.ru/sites/default/files/styles/case_slider_image/public/user/12/2.pb160023.jpg?itok=rU1F-QTr
  • https://radiomed.ru/sites/default/files/styles/case_slider_image/public/user/12/3.pb160024.jpg?itok=CMzzd6dm
  • https://radiomed.ru/sites/default/files/styles/case_slider_image/public/user/12/1.pb160025.jpg?itok=LzPxlZI0
  • https://radiomed.ru/sites/default/files/styles/case_slider_image/public/user/12/2.pb160026.jpg?itok=dws81qB5
  • https://radiomed.ru/sites/default/files/styles/case_slider_image/public/user/12/3.pb160027.jpg?itok=__oEoScS
  • https://radiomed.ru/sites/default/files/styles/case_slider_image/public/user/12/4.pb160028.jpg?itok=0q53a3B0
ID:8964
Сан Саныч1 аватар
Не на сайте
Был на сайте: 11 месяцев 2 недели назад
Зарегистрирован: 07.06.2010 - 21:17
Публикации: 2114

Ох уж эти фтизиатры...

Хочешь сделать что-то нормально - сделай это сам!

Almo аватар
Не на сайте
Был на сайте: 6 часов 6 минут назад
Зарегистрирован: 28.09.2008 - 18:50
Публикации: 8256

Хорошая динамика, практически все рассосалось.

Виктор ВК аватар
Не на сайте
Был на сайте: 14 лет 8 месяцев назад
Зарегистрирован: 01.10.2010 - 15:34
Публикации: 114

Согласен на первый взгляд скиалогия пневмонии.. если бы не все нижепоследующее..

Виктор Владимирович К.

lupan аватар
Не на сайте
Был на сайте: 6 лет 10 месяцев назад
Зарегистрирован: 07.01.2010 - 17:17
Публикации: 1406

Виктор ВК wrote:
Согласен на первый взгляд скиалогия пневмонии.. если бы не все нижепоследующее..

По моему, на первых снимках пневмонией и не пахнет. ТБС, причем не вчера возникший.

Великое преймущество врача заключается в том, что он не обязан следовать собственным советам. ( А. Кристи)

Виктор ВК аватар
Не на сайте
Был на сайте: 14 лет 8 месяцев назад
Зарегистрирован: 01.10.2010 - 15:34
Публикации: 114

lupan wrote:

Виктор ВК wrote:
Согласен на первый взгляд скиалогия пневмонии.. если бы не все нижепоследующее..

По моему, на первых снимках пневмонией и не пахнет. ТБС, причем не вчера возникший.

не могу подтвердить снимками, но было у меня 2 или 3 весьма похожих по скиалогии пневмоний, на контроле через 14 дней с положительной динамикой, а один случай, вообще в тубдиспансер отправил, приехал через 2 недели вылеченный от пневмонии...

Хотя не подумать туберкулезе в данном случае было бы неправильно..

Виктор Владимирович К.

Катенёв Валентин Львович аватар
Не на сайте
Был на сайте: 7 лет 2 недели назад
Зарегистрирован: 22.03.2008 - 22:15
Публикации: 54876

Almo wrote:
Хорошая динамика, практически все рассосалось.

На мой взгляд на "семерке" еще дай-дай...

Катенёв Валентин Львович аватар
Не на сайте
Был на сайте: 7 лет 2 недели назад
Зарегистрирован: 22.03.2008 - 22:15
Публикации: 54876

lupan wrote:

Виктор ВК wrote:
Согласен на первый взгляд скиалогия пневмонии.. если бы не все нижепоследующее..

По моему, на первых снимках пневмонией и не пахнет. ТБС, причем не вчера возникший.

Согласен с Вами. Но вряде случаев приходится блюсти регламент.

Катенёв Валентин Львович аватар
Не на сайте
Был на сайте: 7 лет 2 недели назад
Зарегистрирован: 22.03.2008 - 22:15
Публикации: 54876

Пациентка  обратилась на амбулаторный прием к хирургу по поводу болей в тазу. Хирург, не мудрствуя лукаво, направил на рентгенографию правой половины таза.

[[wysiwyg_imageupload:570:]][[wysiwyg_imageupload:571:]]

Катенёв Валентин Львович аватар
Не на сайте
Был на сайте: 7 лет 2 недели назад
Зарегистрирован: 22.03.2008 - 22:15
Публикации: 54876

Но, перед тем, как записать на прием к хирургу, пациентку направили на "флюшку", взята на контроль.

Катенёв Валентин Львович аватар
Не на сайте
Был на сайте: 7 лет 2 недели назад
Зарегистрирован: 22.03.2008 - 22:15
Публикации: 54876

Снимки.

[[wysiwyg_imageupload:587:]][[wysiwyg_imageupload:588:]][[wysiwyg_imageupload:589:]][[wysiwyg_imageupload:590:]][[wysiwyg_imageupload:591:]][[wysiwyg_imageupload:592:]][[wysiwyg_imageupload:593:]][[wysiwyg_imageupload:594:]]

Сан Саныч1 аватар
Не на сайте
Был на сайте: 11 месяцев 2 недели назад
Зарегистрирован: 07.06.2010 - 21:17
Публикации: 2114

Томографически все чисто, получается, деформация легочного рисунка справа в С2(если вы об этом) иллюзия?

Хочешь сделать что-то нормально - сделай это сам!

Катенёв Валентин Львович аватар
Не на сайте
Был на сайте: 7 лет 2 недели назад
Зарегистрирован: 22.03.2008 - 22:15
Публикации: 54876

В областном туб диспенсере взяли на учет с диссеминированным, даже нашли палки и пролечили.

Катенёв Валентин Львович аватар
Не на сайте
Был на сайте: 7 лет 2 недели назад
Зарегистрирован: 22.03.2008 - 22:15
Публикации: 54876

Контроль через год.

Приложения: 
1.pb180044a.jpg2.pb180045.jpg3.pb180045a.jpg4.pb180045ab.jpg5.pb180046.jpg6.pb180046a.jpg7.pb180047.jpg8.pb180047a.jpg9.pb180047ab.jpg10.pb180047abv.jpg
Катенёв Валентин Львович аватар
Не на сайте
Был на сайте: 7 лет 2 недели назад
Зарегистрирован: 22.03.2008 - 22:15
Публикации: 54876

А, динамики никакой?