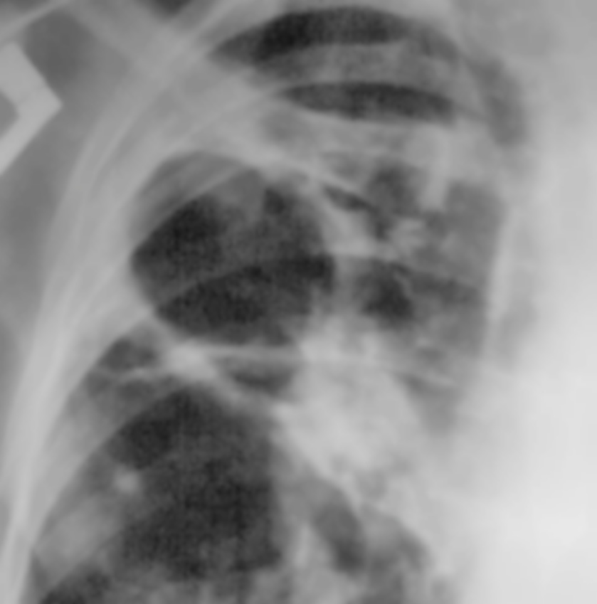
Фиброзно-кавернозный туберкулез

Пол пациента: 
Тип патологии: 
Методы исследования: 

21 век !

ИзображениеИзображение

Лобэктомия в 2005 году по поводу туберкулеза. В дальнейшем прогрессировали явления левожелудочковой недостаточности.

Диагноз пульмонолога: Состояние после левосторонней лобэктомии. Резекция 2-5 ребер слева. Цирроз правого легкого. Фиброзно-кавернозный туберкулез правого легкого. Хроническое легочное сердце.

Sergo аватар
Не на сайте
Был на сайте: 14 лет 3 месяцев назад
Зарегистрирован: 26.06.2009 - 18:42
Публикации: 41

Левосторонняя верхнедолевая лобэктомия с торакопластикой. Фиброзно-кавернозный туберкулез в фазе обсеменения. Цирроза правого легкого нет. Туберкулез процветает и в 21 веке и будет процветать в 22-ом.

Андрей Юрьевич аватар
Не на сайте
Был на сайте: 4 дня 14 часов назад
Зарегистрирован: 16.11.2008 - 22:16
Публикации: 18098

Все-таки велики компенсаторные возможности человеческого организма!!! Чем он дышит??? Хоть и написано лобэктомия слева, но тянет на полноценную пульмонэктомию.

Андрей Юрьевич

Катенёв Валентин Львович аватар
Не на сайте
Был на сайте: 7 лет 2 недели назад
Зарегистрирован: 22.03.2008 - 22:15
Публикации: 54876

Слева состоянии после торакотомии, пульмонэктомии и торакопластики.

ИзображениеИзображениеИзображение

Изображение

OPEXOB аватар
Не на сайте
Был на сайте: 9 лет 11 месяцев назад
Зарегистрирован: 26.07.2008 - 10:02
Публикации: 280

Спасибо за ответы. Прошлые мои выкладки особого интереса не представиили.

По заключениям хирургов: слева легочная ткань оставлена частично, корень тоже сохранен частично.

А дышит ОНА достаточно нормально, средняя и нижняя доля правого легкого с хорошей вентиляцией.

Sergo, вы правы, цирроза нет, просто пульмонологи так решили.

OPEXOB аватар
Не на сайте
Был на сайте: 9 лет 11 месяцев назад
Зарегистрирован: 26.07.2008 - 10:02
Публикации: 280

Они уже ничего не говорят. Пациент из рода "никому не нужных".

Катенёв Валентин Львович аватар
Не на сайте
Был на сайте: 7 лет 2 недели назад
Зарегистрирован: 22.03.2008 - 22:15
Публикации: 54876

Кстати, коллега Орехов, Ваш посыл довольно точен. Пациенты фиброзно-кавернозным туберкулёзом никому не нужны, а это, как правило, "глубокие инвалиды", эпизодически "кидающие палочку" в сторону тех "кому они не нужны".

OPEXOB аватар
Не на сайте
Был на сайте: 9 лет 11 месяцев назад
Зарегистрирован: 26.07.2008 - 10:02
Публикации: 280

Считаю, что этот пациент "палочек" уже не покидает. ТубДиспансер с ним распрощался, "на учете не состоит".

Sergo аватар
Не на сайте
Был на сайте: 14 лет 3 месяцев назад
Зарегистрирован: 26.06.2009 - 18:42
Публикации: 41

Жаль 7-ю группу туб. учета отменили. Эта пациентка под нее подходит как массивные посттуберкулезные изменения органов дыхания. А представте если в поликлинику приходит такой больной, то  терапевт и рентгенолог могут впасть в некий ступор: мол а что дальше с ним делать? А пациент будет обращаться к ним ведь у него жуткий ХОБЛ ил пневмония или обострение туб процесса. И кто будет проводить дифдиагностику? Опять отправлять в туб диспансер? Получится пинг-понг и как следствие трата времени и сил пациента.

Катенёв Валентин Львович аватар
Не на сайте
Был на сайте: 7 лет 2 недели назад
Зарегистрирован: 22.03.2008 - 22:15
Публикации: 54876

Весьма незащищенная группа пациентов - инвалидов.

1."Туб Диспансер с ним распрощался, "на учете не состоит"."

2. "А пациент будет обращаться к ним ведь у него жуткий ХОБЛ или пневмония или обострение туб. процесса. И кто будет проводить диф. диагностику? Опять отправлять в туб. диспансер? Получится пинг-понг и, как следствие трата времени и сил пациента."

Конечно, моё мнение весьма субъективно, но "снятие с учета" больных (не прооперированных, не санированных) с фиброзно-кавернозным туберкулёзом, по меньшей степени, неосмотрительно. Мне кажется, что по поводу таких больных должен осуществляться пожизненный патронат фтизиатром, и притом плановый.

Sergo аватар
Не на сайте
Был на сайте: 14 лет 3 месяцев назад
Зарегистрирован: 26.06.2009 - 18:42
Публикации: 41

"пожизненный патронат фтизиатром, и притом плановый" так оно и было до 2001г. Но законы в нашей стране пишут не врачи, а экономисты там всякие. Патронаж таких больных государству стоит бо-о-ольших денег. Экономичнее не тратить на бесперспективных больных средства, а просто забыть про них - пусть получают обострения, пусть живут в коммуналках и общежитиях, где соседские дети играют, опять же в санатории специализированные их отправлять не надо и дорогостоящие лекарства бесплатно выделять тоже не надо.

Катенёв Валентин Львович аватар
Не на сайте
Был на сайте: 7 лет 2 недели назад
Зарегистрирован: 22.03.2008 - 22:15
Публикации: 54876

Патронаж, хоть и весьма дорогой, но он намного дешевле "не запрограммированных расходов" которые могут быть. Я когда слышу, что больной с фиброзно-кавернозным туберкулёзом не представляет опасности для окружающих, у меня создается впечатление, что общаюсь с психически неполноценным человеком, ибо фиброзно-кавернозный, без хирургического лечения не может быть излечен. Фиброзно-кавернозный туберкулёз надо рассмотривать уже не как диагноз, а как образ жизни, нуждающийся также в социальной коррекции.

Sergo аватар
Не на сайте
Был на сайте: 14 лет 3 месяцев назад
Зарегистрирован: 26.06.2009 - 18:42
Публикации: 41

Да, тут полностью с вами соглашусь. Больные с большими остаточными изменениями, будь они санированными или нет, должны курироваться противотуберкулезной службой. Контроль есть контроль. Но в реалии этого нет. А все началось с лобирования кем-то системы DOTS (вот на скорую руку нашел стаью http://www.ifp.kiev.ua/doc/people/dots_tb.htm ,хоть и Украина, но и у нас в некоторых областях проведено ее внедрение (опробирование), и на основе DOTS издан приказ МЗ РФ №109 "О совершенствовании противотуберкулезных мероприятий в РФ"-полный бред и разрушение сильной противотуберкулезной службы в стране, да и в СНГ тож.). Статистические выкладки по DOTS в этих областях оказались очень неоднозначными: например-снижение малых форм тбц, вероятно за счет выявления только методом микроскопии (выявленный рентгенологически очаговый или внутригрудная лимфоаденопатия туб генеза не является достоверно туберкулезом если нет палок в мокроте), а подтверженный микроскопически туберкулез - заведомо  запущенный процесс (распад, обсеменение, генерализация с поражением других органов и систем), т.е. больные до туб диспансера не дойдут (просто умрут, или станут инвалидами) и как следствие снижение статистичеси туберкулеза в целом. Это экономически выгодно - вот и отменили группу контроля "хроников". Что очень обидно и страшно.

Катенёв Валентин Львович аватар
Не на сайте
Был на сайте: 7 лет 2 недели назад
Зарегистрирован: 22.03.2008 - 22:15
Публикации: 54876

С ситуацией "по туберкулёзу" на Украине знаю не по - наслышке. И знаю неофициальную статистику, которая отличается от официальной - в разы, особенно "на уровне ЦРБ". Прекрасно знаю оснащенность ЦРБ, в частности диагностической аппаратурой - "дрова". Кассеты и экраны - мрак, каждая использованная пленка фиксируется в расходном журнале.

"Палки в мокроте", как подтверждение туберкулёза, при формах, при которых "палка" выявиться не может - это результат деятельности "ДЕЗОРГАНИЗАТОРОВ ЗДРАВООХРАНЕНИЯ", как от медицины в общем, так от фтизиатрии в частности. Да палка и не показатель, ибо весьма успешно выявляется при экзацербации.

Одно стоит вспомнить - выражение Леонида Макаровича Кравчука - "Мы маемо, те, що маемо".

Sergo аватар
Не на сайте
Был на сайте: 14 лет 3 месяцев назад
Зарегистрирован: 26.06.2009 - 18:42
Публикации: 41

Ха, при Вашем высказывании :"Прекрасно знаю оснащенность ЦРБ, в частности диагностической аппаратурой - "дрова" - вспомнил, как еще 2года назад, работая в районном туб. диспансере города именуемого Второй Столицей или еще красиво Северной Венецией, выполнялись рентгенограммы на аппарате с громким названием "томограф Овощникова" производства 1953г., проявляя в танках, при температуре зимой в помещении ниже 18гр.  И качество снимков не хуже современных Сименса или Тошиба. Вот вам 21 век.

Катенёв Валентин Львович аватар
Не на сайте
Был на сайте: 7 лет 2 недели назад
Зарегистрирован: 22.03.2008 - 22:15
Публикации: 54876

А может быть "люди (кадры) решают все"?

Петрович аватар
Не на сайте
Был на сайте: 7 лет 2 месяцев назад
Зарегистрирован: 22.03.2009 - 01:13
Публикации: 3908

Да. Другого выхода нет. Что могут – то решают.

 

Неоднозначно всё