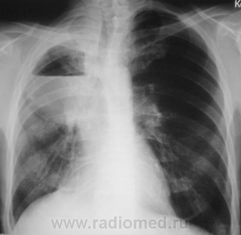
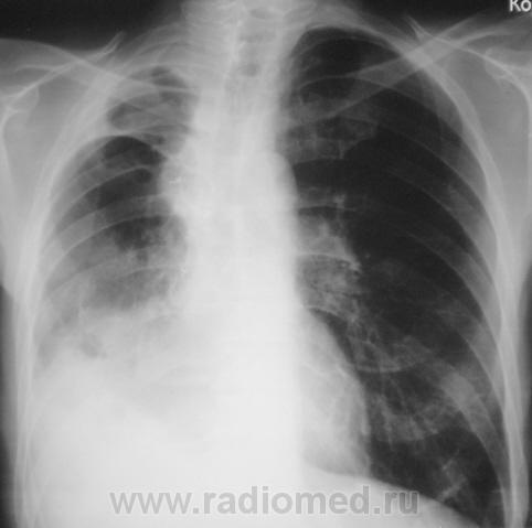
Просьба оценить динамику.

Пол пациента: 
Тип патологии: 
Методы исследования: 

Просьба оценить динамику.

 

После лобэктомии.

  • https://radiomed.ru/sites/default/files/styles/case_slider_image/public/user/12/2.p8170076.jpg?itok=5xB0BkqQ
  • https://radiomed.ru/sites/default/files/styles/case_slider_image/public/user/12/3.p8170078a.jpg?itok=hdLZ5-qE
  • https://radiomed.ru/sites/default/files/styles/case_slider_image/public/user/12/4.p8170079.jpg?itok=7tZeW_lz
  • https://radiomed.ru/sites/default/files/styles/case_slider_image/public/user/12/5.p8170080.jpg?itok=m9GlnVtc
  • https://radiomed.ru/sites/default/files/styles/case_slider_image/public/user/12/6.p8170081.jpg?itok=-1siC6Xo
  • https://radiomed.ru/sites/default/files/styles/case_slider_image/public/user/12/7.p8170082.jpg?itok=k-G1Wzqs
  • https://radiomed.ru/sites/default/files/styles/case_slider_image/public/user/12/8.p8170083.jpg?itok=-uUXRRZa
  • https://radiomed.ru/sites/default/files/styles/case_slider_image/public/user/12/1.p8170084_1.jpg?itok=ASf-mq7F
  • https://radiomed.ru/sites/default/files/styles/case_slider_image/public/user/12/2.p8170085_0.jpg?itok=bbDuxXTe
  • https://radiomed.ru/sites/default/files/styles/case_slider_image/public/user/12/3.p8170086_0.jpg?itok=yOOKEzur
  • https://radiomed.ru/sites/default/files/styles/case_slider_image/public/user/12/4.p8170087_0.jpg?itok=xip3wC1_
  • https://radiomed.ru/sites/default/files/styles/case_slider_image/public/user/12/5.p8170088_1.jpg?itok=a8au1KS7
  • https://radiomed.ru/sites/default/files/styles/case_slider_image/public/user/12/6.p8170089_0.jpg?itok=BbQRedNJ
  • https://radiomed.ru/sites/default/files/styles/case_slider_image/public/user/12/7.p8170090_0.jpg?itok=trrD33vj
  • https://radiomed.ru/sites/default/files/styles/case_slider_image/public/user/12/8.p8170091.jpg?itok=Ee2vTXpM
  • https://radiomed.ru/sites/default/files/styles/case_slider_image/public/user/12/9.p8170092.jpg?itok=JeF6kdDg
  • https://radiomed.ru/sites/default/files/styles/case_slider_image/public/user/12/10.p8170093.jpg?itok=OeAnu9l_
  • https://radiomed.ru/sites/default/files/styles/case_slider_image/public/user/12/11.p8170093-1.jpg?itok=mtrxKBCH
  • https://radiomed.ru/sites/default/files/styles/case_slider_image/public/user/12/12.p8170093-1a.jpg?itok=PYo4NUSz
  • https://radiomed.ru/sites/default/files/styles/case_slider_image/public/user/12/13.p8170094.jpg?itok=Fr2ewFAN
  • https://radiomed.ru/sites/default/files/styles/case_slider_image/public/user/12/14.p8170094a.jpg?itok=R50aKmfR
  • https://radiomed.ru/sites/default/files/styles/case_slider_image/public/user/12/15.p8170094ab.jpg?itok=y7tCOftM
ID:5627
Vikkur аватар
Не на сайте
Был на сайте: 4 года 7 месяцев назад
Зарегистрирован: 24.09.2009 - 14:34
Публикации: 1749

однозначно - лучше не стало..)

Виктор.

Almo аватар
Не на сайте
Был на сайте: 13 часов 23 минуты назад
Зарегистрирован: 28.09.2008 - 18:50
Публикации: 8254

Не совсем понятна хронология снимков.

Катенёв Валентин Львович аватар
Не на сайте
Был на сайте: 7 лет 2 недели назад
Зарегистрирован: 22.03.2008 - 22:15
Публикации: 54876

Снимки - два этапа - до лобъектомии и после лобэктомии (верхняя доля) правого лёгкого).

Катенёв Валентин Львович аватар
Не на сайте
Был на сайте: 7 лет 2 недели назад
Зарегистрирован: 22.03.2008 - 22:15
Публикации: 54876

Almo wrote:

Не совсем понятна хронология снимков.

Здравствуйте коллега!

Я действительно могу понять Ваше некоторое недоумение по поводу "серии выставленных снимков", смогу понять и недоумение других коллег, но пока так...

Катенёв Валентин Львович аватар
Не на сайте
Был на сайте: 7 лет 2 недели назад
Зарегистрирован: 22.03.2008 - 22:15
Публикации: 54876

Почему, я выставил этот случай?

Конечно, выставленное с такой манере может показаться весьма странным. Фактически это "хвост" случая, который закончился (на настоящее время) резекцией доли справа (верхняя). Хотя сейчас, многими докторами "высокой клиники" высказываются мнения, что все могло быть иначе, менее "кроваво", если-бы во-время и своевременно, и если-бы не тянули...

В одной из веток, наша коллега Nela озвучила то, что иногда во враче лучевом диагностие, кем-бы он не был - классический рентгенолог, КТ-олог или МРТ-толог  вызывает недоумение, а именно самонадеятельность наших коллег клиницистов в СВОЕЙ интерпретации теневой картины и грубое манкирование заключения и мнения врача лучевого диагноста.

В данном случае клиницисты "имели свое мнение", отличное от мнения врача рентгенолога, именно в векторе трактовки, имеющейся картины и своего видения процесса.

Катенёв Валентин Львович аватар
Не на сайте
Был на сайте: 7 лет 2 недели назад
Зарегистрирован: 22.03.2008 - 22:15
Публикации: 54876

Вот коммент коллеги Nela

 

does not have a status.
Nela аватар
Пользователь не на сайте. Последний раз был 1 час 50 минут назад. Не на сайте
Активный участник
Зарегистрирован: 12.05.2009
Сообщения: 680
IP: 94.41.185.47
Связаться с пользователем по Email
Отправить сообщение
Add друзья
Цитата сообщения пользователя
Цитата сообщения пользователя v1tal:

 

Уважаемая Nela, что то Вы очень суровыСмешно, думаю молодой человек сам понял, что в любом деле есть свои нюансы.

 

 

Может и вправду слишком, но постоянно встречаюсь с клиницистами, которые хотят разбираться в рентгенологии, некоторые уже разбираются. Может мне начать разбираться в хирургии или терапии на всякий случай.

 

Давным-давно поняла, что чем меньше клиницист разбирается в рентгенологии, тем больше разбирается в своей специальности. Бездарности разбираются буквально во всем.

Катенёв Валентин Львович аватар
Не на сайте
Был на сайте: 7 лет 2 недели назад
Зарегистрирован: 22.03.2008 - 22:15
Публикации: 54876

А, вот, как случай начинался и "квасился" в ЦРБ, почти 3 месяца.

 

 

Приложения: 
1.p8170095.jpg2.p8170096.jpg3.p8170097.jpg4.p8170098.jpg5.p8170099.jpg6.p8170100.jpg7.p8170101.jpg
Катенёв Валентин Львович аватар
Не на сайте
Был на сайте: 7 лет 2 недели назад
Зарегистрирован: 22.03.2008 - 22:15
Публикации: 54876

Продолжение.

 

Приложения: 
1.p8170102.jpg2.p8170103.jpg3.p8170104.jpg4.p8170105.jpg5.p8170106.jpg6.p8170107.jpg7.p8170108.jpg
Makcimalist аватар
Не на сайте
Был на сайте: 11 лет 8 месяцев назад
Зарегистрирован: 08.05.2010 - 14:28
Публикации: 1994

Катенёв Валентин Львович wrote:

... "квасился" в ЦРБ, почти 3 месяца.

Что-то не понял - больного не лечил? В чём разошлись мнения клиницистов и рентгенолога? Анамнеза недостаточно...

--------------

"Просто, по видимости, не видеть логики в очевидных вещах - это тоже одно из свойств некоторых умов, наряду с грустными думами о свойствах ума других."  © Vega 08/10/2011