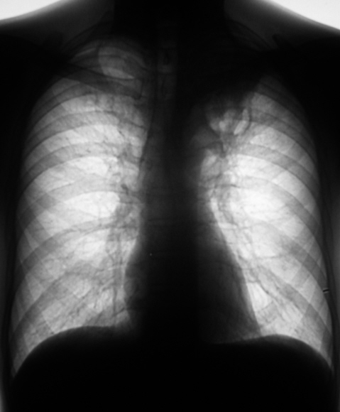
Флюорография - 2007, 2008, 2009 годы.

Пол пациента: 
Тип патологии: 
Методы исследования: 

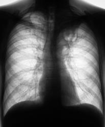
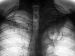
Пациент в 2007, 2008 гг. проходил профилактическую флюорографию - иллюстрации ниже. При прохождении флюорографиив 2009 г. "картинка" резко отличается от предыдущих.

11FLYuOR.JPG
11FLYuOR.JPG
12FLYuOR.JPG
12FLYuOR.JPG
13FLYuOR.JPG
13FLYuOR.JPG

 

 

 

 

 

 

 

 

 

 

 

 

 

14FLYuOR.jpg
14FLYuOR.jpg
15FLYuOR.jpg
15FLYuOR.jpg

 

 

 

 

 

 

 

 

 

 

 

 

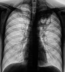
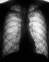
Произвели дообследование пациента согласно стандарту.

31.Doobsl..JPG
31.Doobsl..JPG
32.Doobsl..JPG
32.Doobsl..JPG
33.Doobsl..JPG
33.Doobsl..JPG

 

 

 

 

 

 

 

 

 

 

 

 

34.Doobsled.JPG
34.Doobsled.JPG
35.Doobsl..jpg
35.Doobsl..jpg
36.Doobsled..JPG
36.Doobsled..JPG

 

 

 

 

 

 

 

 

 

 

 

 

 

 

37.Doobsl.JPG
37.Doobsl.JPG
37.Doobsl..JPG
37.Doobsl..JPG
37.Doobsl.JPG
37.Doobsl.JPG

 

 

 

 

 

 

 

 

 

 

 

 

 

 

38.Doobsl..JPG
38.Doobsl..JPG
39.Doobsl..JPG
39.Doobsl..JPG
40_Doobsl..JPG
40_Doobsl..JPG

 

 

 

 

 

 

 

 

 

 

 

 

 

 

 

Ваше мнение коллеги?

ВложениеРазмер
Иконка изображения 11FLYuOR.JPG72.59 КБ
Иконка изображения 12FLYuOR.JPG67.86 КБ
Иконка изображения 13FLYuOR.JPG62.29 КБ
Иконка изображения 14FLYuOR.jpg72.59 КБ
Иконка изображения 15FLYuOR.jpg82.19 КБ
Иконка изображения 31.Doobsl..JPG82.79 КБ
Иконка изображения 32.Doobsl..JPG88.84 КБ
Иконка изображения 33.Doobsl..JPG80.53 КБ
Иконка изображения 34.Doobsled.JPG81.36 КБ
Иконка изображения 35.Doobsl..jpg81.34 КБ
Иконка изображения 36.Doobsled..JPG72.86 КБ
Иконка изображения 37.Doobsl.JPG76.8 КБ
Иконка изображения 37.Doobsl..JPG68.15 КБ
Иконка изображения 37.Doobsl.JPG76.8 КБ
Иконка изображения 38.Doobsl..JPG75.25 КБ
Иконка изображения 39.Doobsl..JPG77.07 КБ
Иконка изображения 40_Doobsl..JPG66.27 КБ
OPEXOB аватар
Не на сайте
Был на сайте: 9 лет 11 месяцев назад
Зарегистрирован: 26.07.2008 - 10:02
Публикации: 280

Валентин Львович !

А почему Вы никогда не высказываете вначале свое мнение?

И не выкладываете дополнительную информацию: возраст, пол, анамнез, жалобы. результаты анализов и т.п.?

Катенёв Валентин Львович аватар
Не на сайте
Был на сайте: 7 лет 1 неделя назад
Зарегистрирован: 22.03.2008 - 22:15
Публикации: 54876

Информация.

1.Флюорограммы за 2007, 2008 гг. представлены, оценены, как норма.

2. Мужчина, 48 лет.

3. Жалобы на общую слабость. Больше жалоб никаких. В последнее время - кашель, мокрота беловатого цвета, имеются прожилки крови. Внешне - пациент недостаточного питания, анемичен, живет в семье.

4.Анализов, на момент "помещения" случая на сайт - не было, ибо он только-только был выявлен.

5.Пациентом занялись - участковый терапевт и фтизиатр, терапевт - ритуально, фтизиатр - вплотную. Почему фтизиатр? При нехватке терапевтов, у нас пульмонологическими пациентами вынужден заниматься фтизиатр. Я думаю, данные "лаборатории" завтра будут, если будут, то прокомментирую.

Катенёв Валентин Львович аватар
Не на сайте
Был на сайте: 7 лет 1 неделя назад
Зарегистрирован: 22.03.2008 - 22:15
Публикации: 54876

По поводу личного мнения - больше склоняюсь, пока, в сторону абсцесса, однако сомнения терзают и весьма.

v1tal аватар
Не на сайте
Был на сайте: 4 года 9 месяцев назад
Зарегистрирован: 07.06.2008 - 19:41
Публикации: 1779

А разве не похоже на каверну с толстыми стенками?

"Знаешь, у некоторых врачей есть комплекс мессии — им необходимо спасать мир. А у тебя комплекс Рубика — тебе необходимо решать головоломки."

Катенёв Валентин Львович аватар
Не на сайте
Был на сайте: 7 лет 1 неделя назад
Зарегистрирован: 22.03.2008 - 22:15
Публикации: 54876

Очень похоже,но при микроскопии "палки" не выявлены. Фтизиатр занимается пациентом вплотную. Уже рентгенологически обследовано "окружение" пациента, договорились с областной туб. больницей по поводу госпитализации. Но, вот полость какая-то не совсем типичная, хотя локализация и общий вид верхушки прямо указывают на "специфику".

Будем посмотреть.

Катенёв Валентин Львович аватар
Не на сайте
Был на сайте: 7 лет 1 неделя назад
Зарегистрирован: 22.03.2008 - 22:15
Публикации: 54876

Что добавите уважаемые коллеги?

Сергей Кузьминов аватар
Не на сайте
Был на сайте: 1 год 1 неделя назад
Зарегистрирован: 06.10.2012 - 15:51
Публикации: 11813

Не должно быть туберкулёзом. Полость большая, а отсевов нет.

Катенёв Валентин Львович аватар
Не на сайте
Был на сайте: 7 лет 1 неделя назад
Зарегистрирован: 22.03.2008 - 22:15
Публикации: 54876

А, что может быть?

Вот и архив хорошего качества есть.

Миргалина аватар
Не на сайте
Был на сайте: 2 часа 5 минут назад
Зарегистрирован: 06.08.2015 - 20:04
Публикации: 2854

Как Вам версия распадающегося рака?

Катенёв Валентин Львович аватар
Не на сайте
Был на сайте: 7 лет 1 неделя назад
Зарегистрирован: 22.03.2008 - 22:15
Публикации: 54876

Миргалина wrote:

Как Вам версия распадающегося рака?

Не возбуждает.

Миргалина аватар
Не на сайте
Был на сайте: 2 часа 5 минут назад
Зарегистрирован: 06.08.2015 - 20:04
Публикации: 2854

А я так хотела Вас возбудить!😊 Жаль-жаль.Туберкулёз тоже вполне подходит под эту картинку. Хронический очистившийся абсцесс тоже в диф.ряд. Могу и обосновать.