"Флюшка"...Взяли на контроль.

Пол пациента: 
Тип патологии: 
Методы исследования: 

"Флюшка"...Взяли на контроль.

  • https://radiomed.ru/sites/default/files/styles/case_slider_image/public/user/12/2.dscn0619.jpg?itok=WvmTTRC8
ID:24540
Mitkampfer аватар
Не на сайте
Был на сайте: 11 лет 1 месяц назад
Зарегистрирован: 27.07.2010 - 07:43
Публикации: 1454

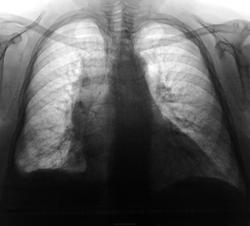
медиастенит, жидкость в правой плевральной полости

Не ограничивайте свою мысль

Живешь пока учишься

Ecrasez l’infame

Анатолий Владимирович Шумаков аватар
Не на сайте
Был на сайте: 7 лет 10 месяцев назад
Зарегистрирован: 16.10.2009 - 21:16
Публикации: 1941

Думаю, что это спайки справа внизу и новообразование средостения...

Петрович аватар
Не на сайте
Был на сайте: 7 лет 2 месяцев назад
Зарегистрирован: 22.03.2009 - 01:13
Публикации: 3908

Расширено вправо переднее средостение. Неужели тимома? Венозный компонент лёгочного рисунка, возможно, усилен…, качество изображения… увы.

А на что намекает клиника?

Неоднозначно всё

Mitkampfer аватар
Не на сайте
Был на сайте: 11 лет 1 месяц назад
Зарегистрирован: 27.07.2010 - 07:43
Публикации: 1454

учитывая поворот из за сколиоза, может вообще ничего не оказаться. Но думаю что медиастинальная плевра утолщена справа.

Не ограничивайте свою мысль

Живешь пока учишься

Ecrasez l’infame

Катенёв Валентин Львович аватар
Не на сайте
Был на сайте: 7 лет 2 недели назад
Зарегистрирован: 22.03.2008 - 22:15
Публикации: 54876

Петрович wrote:

Расширено вправо переднее средостение. Неужели тимома? Венозный компонент лёгочного рисунка, возможно, усилен…, качество изображения… увы.

А на что намекает клиника?

Жалоб особых нет.

Беспокоит довольно сильная одышка

Петрович аватар
Не на сайте
Был на сайте: 7 лет 2 месяцев назад
Зарегистрирован: 22.03.2009 - 01:13
Публикации: 3908

Mitkampfer wrote:
учитывая поворот из за сколиоза, может вообще ничего не оказаться. Но думаю что медиастинальная плевра утолщена справа.

На поворот всю красоту не списать. А как Вам ретростернальное пространство?

Наверное, скоро увидим и томограммы.

Неоднозначно всё

Катенёв Валентин Львович аватар
Не на сайте
Был на сайте: 7 лет 2 недели назад
Зарегистрирован: 22.03.2008 - 22:15
Публикации: 54876

Петрович wrote:

Наверное, скоро увидим и томограммы.

Приложения: 
1.dscn0620.jpg2.dscn0621.jpg
алкс аватар
Не на сайте
Был на сайте: 10 лет 2 недели назад
Зарегистрирован: 24.10.2012 - 22:55
Публикации: 2915

Однородность срединного затемнения, наличие затемнений в синусе, м/долевых щелях, честкость ировность контуров. Предположительно- осумкованный центральный плеврит.

Петрович аватар
Не на сайте
Был на сайте: 7 лет 2 месяцев назад
Зарегистрирован: 22.03.2009 - 01:13
Публикации: 3908

На тимому уже больше похоже. Но и парамедиастинальное осумкование плевральногой экссудата небольшого объёма может быть.

Неоднозначно всё

Игорь Иванович аватар
Не на сайте
Был на сайте: 3 года 9 месяцев назад
Зарегистрирован: 23.01.2010 - 14:56
Публикации: 3695

Была у меня одна лаборантка, которая в свое время работала в Польше. Так там про нормальные ОГК говорили: плуцы в норме, сэрдце закоханэ. То бишь: легкие в норме, сердце влюбленное. Тут конечно легкие не в особой норме, но вся беда в сердце, а легкие вторичны.