Гастроптоз?......

Пол пациента: 
Тип патологии: 
Область исследования: 
Методы исследования: 

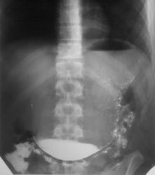
Дежурство. Вторая половина дня. Под конвоем привозят молодого человека из зоны. Боли в животе.Четвертый день после начала рентгенисследования ЖКТ.

Коменты на 3-й день ...."Гастроптоз. Дуоденостаз".

Разницы между снимком на третий день и тем, кторый сделал мой лаборант на 4-й день, практически нет...

Оно то рутина...но причем тут "дуоденостаз"?))))

ID:17238
Катенёв Валентин Львович аватар
Не на сайте
Был на сайте: 7 лет 5 месяцев назад
Зарегистрирован: 22.03.2008 - 22:15
Публикации: 54876

А, в ротовую полость заглядывали, я имею в виду просто глазом, на зубки внимание обращали, к зубкам ничего не привязано?

stovbav аватар
Не на сайте
Был на сайте: 2 года 7 месяцев назад
Зарегистрирован: 20.12.2009 - 17:28
Публикации: 7066

А что из "привязаного" может дать субкомпенсированый стеноз?

Анатолий Владимирович Шумаков аватар
Не на сайте
Был на сайте: 8 лет 3 месяцев назад
Зарегистрирован: 16.10.2009 - 21:16
Публикации: 1941

Добрый вечер!

Думаю, что о птозе органа, о котором упомянули в направлении, говорить некорректно, о наличии птоза можно утверждать, когда орган  опущен полностью. А здесь верхняя часть желудка на месте, опущен лишь нижний отдел - антрум - удлиненный желудок, декомпенсированный стеноз выхода... 12 п.к. - не виновата вообще.

Катенёв Валентин Львович аватар
Не на сайте
Был на сайте: 7 лет 5 месяцев назад
Зарегистрирован: 22.03.2008 - 22:15
Публикации: 54876

stovbav wrote:

А что из "привязаного" может дать субкомпенсированый стеноз?

Может..., но не стеноз конечно, а препятствие к эвакуации, зона есть зона, много страстей и всякого разного из зоны видел.

Катенёв Валентин Львович аватар
Не на сайте
Был на сайте: 7 лет 5 месяцев назад
Зарегистрирован: 22.03.2008 - 22:15
Публикации: 54876

Просматриваемый "рельеф", там где он просматривается в желудке, даже на измененный рельеф не похож, а похож на "нечто"...

stovbav аватар
Не на сайте
Был на сайте: 2 года 7 месяцев назад
Зарегистрирован: 20.12.2009 - 17:28
Публикации: 7066

Анатолий Владимирович Шумаков wrote:

.... декомпенсированный стеноз выхода... 12 п.к. - не виновата вообще.

Добрый вечер, Анатолий Владимирович!

Вы считаете, что все таки - декопменсированый?

stovbav аватар
Не на сайте
Был на сайте: 2 года 7 месяцев назад
Зарегистрирован: 20.12.2009 - 17:28
Публикации: 7066

Катенёв Валентин Львович wrote:

Просматриваемый "рельеф", там где он просматривается в желудке, даже на измененный рельеф не похож, а похож на "нечто"...

Да видел я этого замухрышку, судя по всему ума ему не достанет на такой эксперимент идти, а так то он худой - как щепка, каши напихал туда, вот она и "фонит"))))

И еще...цитата из записи в амбулаторной карте - "Эвакуация только при насильственной компрессии"...хотя далее - "луковица 12 п кишки не изменена".....

Анатолий Владимирович Шумаков аватар
Не на сайте
Был на сайте: 8 лет 3 месяцев назад
Зарегистрирован: 16.10.2009 - 21:16
Публикации: 1941

Ну раз несколько суток взвесь стоит в желудке...

Четвертые сутки - врачи в ожидании, стоим у экранов - большая игра, но барий не слышит все наши стенанья, и будет в желудке стоять до утра... 

Игорь Иванович аватар
Не на сайте
Был на сайте: 4 года 2 месяцев назад
Зарегистрирован: 23.01.2010 - 14:56
Публикации: 3695

Выпил нефильтрованного 2 литра, не могу врубиться в тонкости полемики. Похоже на декомпенсированный. Но на 4-й день? - такого не встречал. Может он втихаря барий подпивает с утречка по чуть-чуть?

И.Бондаренко аватар
Не на сайте
Был на сайте: 1 день 13 часов назад
Зарегистрирован: 13.09.2011 - 22:55
Публикации: 9213

Интересно знать, исследование начинали со скопии желудка или сразу дали барий. Согласен с тем, что может немного добавлять в процессе деятельности. А то, что худой и хилый, так советчиков там столько, что нам и неразобраться в их тонкостях и консультациях А в рот всё-таки глянул, и лучше бы стоматолог. 

stovbav аватар
Не на сайте
Был на сайте: 2 года 7 месяцев назад
Зарегистрирован: 20.12.2009 - 17:28
Публикации: 7066

И.Бондаренко wrote:

Интересно знать, исследование начинали со скопии желудка или сразу дали барий. Согласен с тем, что может немного добавлять в процессе деятельности. А то, что худой и хилый, так советчиков там столько, что нам и неразобраться в их тонкостях и консультациях А в рот всё-таки глянул, и лучше бы стоматолог. 

1. День - скопия (в зоне) - гастроптоз, дуоденостаз

2. Досмотр на 2- й день - то же самое

3. Досмотр на 3-й день - то же самое

4. На четвертый день - привозят в ургентную клинику к вечеру, делаем снимок - заключение декомпенсированый стеноз выходного отдела желудка.

5. Ничего он там не попивает, беседовал я с ихним доктором, где бы он там этот барий взял. Да если бы и попивал - что бы мешало проходимости привратника, кроме стеноза?))))

Евгений1313 аватар
Не на сайте
Был на сайте: 13 лет 5 месяцев назад
Зарегистрирован: 15.10.2010 - 19:13
Публикации: 808

Бария добавить,повалять клиента ,можно и "нишу" в выходном отделе высветить.Изменения конечно органические.Явно не мастырка.

Наталия Васильевна аватар
Не на сайте
Был на сайте: 6 лет 1 месяц назад
Зарегистрирован: 25.09.2011 - 09:02
Публикации: 754

Виктор Григорьевич, а почему просто не отмыть желудок и сделать банальную ФГДС? Диаметр эндоскопа до 0,9 см, проходит через привратник или нет, глазом всегда лучше видится и язва, и эрозии, и всякая другая неприятность. При этом и биопсию можно взять. А потом и анамнез еще существует-больной язвеник али как? А то, что ребята из мест не столь отдаленных в своих целях могут глотнуть что угодно-не новость для медиков ( 47 металлических предметов-ложки, вилки-правда, не придумаешь!)

stovbav аватар
Не на сайте
Был на сайте: 2 года 7 месяцев назад
Зарегистрирован: 20.12.2009 - 17:28
Публикации: 7066

Наталья Васильевна, конечно- отмыли; конечно - сделали ФГДС (стеноз подтвердился, пройти в луковицу не удалось); конечно - прооперировали (нашли кисту головки поджелудочной железы, гематому в этой кисте...все это вскрылось в 12 п кишку); естественно - был и перигастрит (очевидно он причина рубцового сужения); наложили передний гастроэнтероанастомоз....подправится маленько, там уж будут дальше думать, что с ним делать (разгребать в наших условиях ТОТ конгломерат, который нашли, это потерять молодого человека....).

Наталия Васильевна аватар
Не на сайте
Был на сайте: 6 лет 1 месяц назад
Зарегистрирован: 25.09.2011 - 09:02
Публикации: 754

Симпатичный вариант-киста поджелудочной железы с ГЕМАТОМОЙ? Думаю, гематома не простая, 100% нагноение и прорыв этот не свежий, чтобы так покромсать 12-перстную. Жаль парня, хоть и провинился, инвалид.

stovbav аватар
Не на сайте
Был на сайте: 2 года 7 месяцев назад
Зарегистрирован: 20.12.2009 - 17:28
Публикации: 7066

Наталия Васильевна wrote:

Симпатичный вариант-киста поджелудочной железы с ГЕМАТОМОЙ? Думаю, гематома не простая, 100% нагноение и прорыв этот не свежий, чтобы так покромсать 12-перстную. Жаль парня, хоть и провинился, инвалид.

Конечно - жаль, нам то без разницы, откуда его привезли, не все же там симмулянты. Жизнь спасли, сейчас выхаживают. Охрана рядом. Так что - не залежится. А уж какая там будет реабилитация - одному богу известно...увы....