"Годен"! Или еще раз "К вопросу об экспертизе".

Пол пациента: 
Тип патологии: 
Область исследования: 
Методы исследования: 

Вердикт - "здоров, как бык!"

А всегда - ли "бык здоров?"

"Учтенное лицо" жалуется на боли в пояснице, стоит полуобнаженное (это я об "учтенном лице") в брюках и туфлях, рука "эксперта" скользит по позвоночнику... - "здоров", т.е. "годен". Рождается вопрос - "Годен куда?".

"У Вас когда-то находили плоскостопие? Нет никакого плоскостопия! "Здоров", "годен".

Пациент по направлению врача поликлиники "прорвался в рентгеновский кабинет". Направление - "Рентгенография всего". При появлении таких направлений и у лаборанта и врача рентгенолога всегда возникает нехорошее чувство - СИМУЛЯНТ, НО...

Рентгенография стоп:

ИзображениеИзображение

ИзображениеИзображение

ИзображениеИзображение

Рентгенограммы поясничного отдела позвоночника:

ИзображениеИзображениеИзображениеИзображение

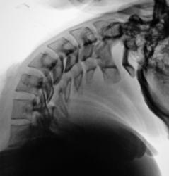
Шейный отдел позвоночника:

ИзображениеИзображениеИзображение

ИзображениеИзображение

Ваше мнение коллеги?

В.Б. Серов аватар
Не на сайте
Был на сайте: 1 неделя 1 день назад
Зарегистрирован: 16.07.2008 - 10:15
Публикации: 1361

No comment.

Зри в корень!

Белоусов Борис Юрьевич аватар
Не на сайте
Был на сайте: 13 лет 9 месяцев назад
Зарегистрирован: 20.03.2009 - 02:46
Публикации: 161

бывает)))

Катенёв Валентин Львович аватар
Не на сайте
Был на сайте: 7 лет 2 недели назад
Зарегистрирован: 22.03.2008 - 22:15
Публикации: 54876

Уважаемый Борис Юрьевич!

Конечно бывает, но фиксируем, что бывает довольно часто.

Спасибо коллеги за высказанные мнения.