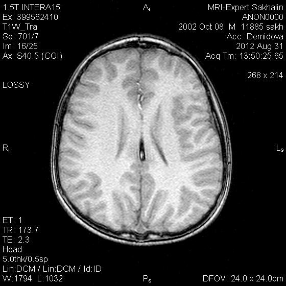
Сегодня проходил исследование ребенок с жалобами на головную боль.В анамнезе-удар головой около 1 мес.назад.Мама сообщила , что при родах на УЗМ выявили кровоизлияние в мозолистое тело, причем сообщила уже после исследования, когда мой мозг был на грани истерии-это уже второй случай за неделю, а я не могу ничего толком понять-это тромбированный сосуд либо кровоизлияние?Обоим рекомендовала проведение МР-ангио.
- https://radiomed.ru/sites/default/files/styles/case_slider_image/public/user/5662/rebe2.jpg?itok=jU8AvcS2
- https://radiomed.ru/sites/default/files/styles/case_slider_image/public/user/5662/rebe3.jpg?itok=SPU2yqaY
- https://radiomed.ru/sites/default/files/styles/case_slider_image/public/user/5662/rebe4.jpg?itok=6WeDdH8x
- https://radiomed.ru/sites/default/files/styles/case_slider_image/public/user/5662/rebe5.jpg?itok=_Q220XRl
- https://radiomed.ru/sites/default/files/styles/case_slider_image/public/user/5662/rebe6.jpg?itok=yFj_lQ_K
- https://radiomed.ru/sites/default/files/styles/case_slider_image/public/user/5662/rebe7.jpg?itok=NzwgbBcp
ID:49818
Липома мозолистого тела. КТ разрешит все сомнения.
http://www.radiomed.ru/publications/gm-lipoma
может перикаллёзная липома. Надо жироподавление было поставить. тоже разрешит.
Согласна. А на КТ и известку будет видно, если она есть.
А меня все на КТ тянет. Скучаю, видно по КТ.
Спасибо за комменты!Честно говоря, мысль мелькнула, но куда-то потерялась после признания мамы.
Вот как раз по теме: http://www.ajnr.org/site/imgquiz/08272012qz.xhtml
Спасибо, Нэла.Вчера позвонила маме-она плачет, ребенка госпитализировали в детскую больницу с ОРВИ, но мама считает, что он просто перенервничал.Пообщалась с дежурным врачом, успокоила маму, сама корвалола напилась.Пошла учить матчасть во избежание подобных случаев......
а мне встретилась однажды совсем другая картина - множественные штук 6-7 , формой и размером "+" "-" как фасоль - видели такие?
-------------------------------------------------------------------------------------------------
Я получил счет от хирургов. Теперь мне понятно, почему эти парни работают в масках.
К сожалению, не довелось.Я вообще во второй раз такую картинку вижу.Даже не сразу разобралась
.
Перикаллезные липомы бывают линейные (криволинейные, повторяющие формы мозолистого тела) и узловые.
Теперь все встало на свои места.Спасибо всем!