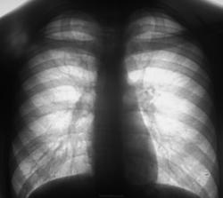
Гражданин "по линии военкомата". Какие будут мнения? Флюорограмма.

Пол пациента: 
Тип патологии: 
Методы исследования: 

Гражданин "по линии военкомата".  Какие будут мнения?  Флюорограмма.

ID:21295
И.Бондаренко аватар
Не на сайте
Был на сайте: 20 часов 21 минут назад
Зарегистрирован: 13.09.2011 - 22:55
Публикации: 9206

Насколько помню, надо делать две проекции.

арти аватар
Не на сайте
Был на сайте: 12 лет 1 месяц назад
Зарегистрирован: 26.02.2012 - 11:23
Публикации: 490

по моему норма

Интерн2006 аватар
Не на сайте
Был на сайте: 7 лет 1 месяц назад
Зарегистрирован: 16.09.2011 - 19:58
Публикации: 65

Артефакт?  слева внизу.

Катенёв Валентин Львович аватар
Не на сайте
Был на сайте: 7 лет 3 недели назад
Зарегистрирован: 22.03.2008 - 22:15
Публикации: 54876

Интерн2006 wrote:

Артефакт?  слева внизу.

Да слева внизу артефакт.

Катенёв Валентин Львович аватар
Не на сайте
Был на сайте: 7 лет 3 недели назад
Зарегистрирован: 22.03.2008 - 22:15
Публикации: 54876

арти wrote:

по моему норма

Так можно норму писать?

Интерн2006 аватар
Не на сайте
Был на сайте: 7 лет 1 месяц назад
Зарегистрирован: 16.09.2011 - 19:58
Публикации: 65

маленькую подсказку можно? ну очень маленькую

Спасибо.

Катенёв Валентин Львович аватар
Не на сайте
Был на сайте: 7 лет 3 недели назад
Зарегистрирован: 22.03.2008 - 22:15
Публикации: 54876

Жалоб нет. Кровь в норме. При просмотре флюорограмм, просто "глаз зацепился", возможно зацепился интуитивно. Подсказок нет.

Вылегжанина Юлия Анатольевна аватар
Не на сайте
Был на сайте: 11 лет 5 месяцев назад
Зарегистрирован: 15.05.2012 - 22:09
Публикации: 55

Ин тело Сделать лев бок

Вылегжанина Юлия

Катенёв Валентин Львович аватар
Не на сайте
Был на сайте: 7 лет 3 недели назад
Зарегистрирован: 22.03.2008 - 22:15
Публикации: 54876

То слева, артефакт на экране.

Интерн2006 аватар
Не на сайте
Был на сайте: 7 лет 1 месяц назад
Зарегистрирован: 16.09.2011 - 19:58
Публикации: 65

справа  в S1 усиление легочного рисунка

имеется связь с корнем

или в корне что-то, левом 

DIDJE аватар
Не на сайте
Был на сайте: 3 года 3 месяцев назад
Зарегистрирован: 09.12.2011 - 11:38
Публикации: 6

всем здравствуйте) очень не нравиться левый корень, какой то он полицикличный, контакт с туберкулёзом у данного пациента был?

Если до работы вы ещё заглядываетесь на женщин, а после работы - уже нет, то работа вас полностью удовлетворяет.

Наталия Васильевна аватар
Не на сайте
Был на сайте: 5 лет 9 месяцев назад
Зарегистрирован: 25.09.2011 - 09:02
Публикации: 754

Ваш "гражданин" очень нуждается в дообследовании-верхушечный узор явно асимметричен, над правой ключицей просматриваются очаговые тени. Парень молодой, жалоб может не предявлять (не срабатывает клавиша твердого знака), а пропустить ТВС можно легко. Во всяком случае пока военкомат на какое-то время может о нем забыть.

Побединский Михаил Александрович аватар
Не на сайте
Был на сайте: 7 лет 10 месяцев назад
Зарегистрирован: 25.12.2010 - 23:44
Публикации: 696

А может то справа шейное ребро?

Гриша Хата аватар
Не на сайте
Был на сайте: 10 лет 1 неделя назад
Зарегистрирован: 09.02.2011 - 20:40
Публикации: 665

А может он повёрнут левым боком?

И.Бондаренко аватар
Не на сайте
Был на сайте: 20 часов 21 минут назад
Зарегистрирован: 13.09.2011 - 22:55
Публикации: 9206

Поставил бы норму. Левый корень имеет специфическую структуру. За экраном сразу будет видно, что сосудистый рисунок

Катенёв Валентин Львович аватар
Не на сайте
Был на сайте: 7 лет 3 недели назад
Зарегистрирован: 22.03.2008 - 22:15
Публикации: 54876

DIDJE wrote:

всем здравствуйте) очень не нравиться левый корень, какой то он полицикличный, контакт с туберкулёзом у данного пациента был?

Контакта с "тубером", и в окружении не было.

Катенёв Валентин Львович аватар
Не на сайте
Был на сайте: 7 лет 3 недели назад
Зарегистрирован: 22.03.2008 - 22:15
Публикации: 54876

Наталия Васильевна wrote:

Ваш "гражданин" очень нуждается в дообследовании-верхушечный узор явно асимметричен, над правой ключицей просматриваются очаговые тени. , а пропустить ТВС можно легко. Во всяком случае пока военкомат на какое-то время может о нем забыть.

Военкомат не забудет...

Но, мы оттомографировали.

Приложения: 
1.p5160017.jpg2..p5160018.jpg3.p5160018a.jpg4.p5160019.jpg5.p5160019a.jpg6.p5160020.jpg7.p5160021.jpg8.p5160021a.jpg9.p5160022.jpg10.p5160023.jpg11.p5160023a.jpg
Nikolas аватар
Не на сайте
Был на сайте: 1 месяц 3 недели назад
Зарегистрирован: 21.12.2010 - 20:37
Публикации: 4559

в левой верхушке вызывает прежде свего тревогу. Вспышка туберкулеза.

Nikolas аватар
Не на сайте
Был на сайте: 1 месяц 3 недели назад
Зарегистрирован: 21.12.2010 - 20:37
Публикации: 4559

ошибся после томограмм.

Катенёв Валентин Львович аватар
Не на сайте
Был на сайте: 7 лет 3 недели назад
Зарегистрирован: 22.03.2008 - 22:15
Публикации: 54876

Так значит, надо направить к фтизиатру?

Nikolas аватар
Не на сайте
Был на сайте: 1 месяц 3 недели назад
Зарегистрирован: 21.12.2010 - 20:37
Публикации: 4559

надо.

Катенёв Валентин Львович аватар
Не на сайте
Был на сайте: 7 лет 3 недели назад
Зарегистрирован: 22.03.2008 - 22:15
Публикации: 54876

Ну, мы и направили...

Фтизиатр занял нейтральную позицию и порекомендовал гражданину явиться через месяц, правда не понятно для чего.

Интерн2006 аватар
Не на сайте
Был на сайте: 7 лет 1 месяц назад
Зарегистрирован: 16.09.2011 - 19:58
Публикации: 65

Значит фтиза зацепили(он видит то что и мы).

Катенёв Валентин Львович аватар
Не на сайте
Был на сайте: 7 лет 3 недели назад
Зарегистрирован: 22.03.2008 - 22:15
Публикации: 54876

Не понял, как зацепили?

Интерн2006 аватар
Не на сайте
Был на сайте: 7 лет 1 месяц назад
Зарегистрирован: 16.09.2011 - 19:58
Публикации: 65

Но можно было бы и дообследовать, а не просто ждать.

Катенёв Валентин Львович аватар
Не на сайте
Был на сайте: 7 лет 3 недели назад
Зарегистрирован: 22.03.2008 - 22:15
Публикации: 54876

Катенёв Валентин Львович wrote:

Ну, мы и направили...

Фтизиатр занял нейтральную позицию и порекомендовал гражданину явиться через месяц, правда не понятно для чего.

А, пока шел "тот месяц" гражданина взяли и забрали в Армию, Отечеству послужить...

Наталия Васильевна аватар
Не на сайте
Был на сайте: 5 лет 9 месяцев назад
Зарегистрирован: 25.09.2011 - 09:02
Публикации: 754

Ура, в атаку! Если, не дай Бог, пацаненок даст процесс, то наша работа будет расцениваться как пропуск патологии и дефектура работы военкомата. Это печально.

И.Бондаренко аватар
Не на сайте
Был на сайте: 20 часов 21 минут назад
Зарегистрирован: 13.09.2011 - 22:55
Публикации: 9206

Наталия Васильевна wrote:

Ура, в атаку! Если, не дай Бог, пацаненок даст процесс, то наша работа будет расцениваться как пропуск патологии и дефектура работы военкомата. Это печально.

Надеюсь, что этого не произойдёт.

Катенёв Валентин Львович аватар
Не на сайте
Был на сайте: 7 лет 3 недели назад
Зарегистрирован: 22.03.2008 - 22:15
Публикации: 54876

Наталия Васильевна wrote:

Ура, в атаку! Если, не дай Бог, пацаненок даст процесс, то наша работа будет расцениваться как пропуск патологии и дефектура работы военкомата. Это печально.

Нет так расценена "работа" быть не может, ибо в "военкоматском деле" имеется распечатка описания флюшки и требование проведения контроля, который и был проведен, и желаемая "норма" не была тамочки написана.

Катенёв Валентин Львович аватар
Не на сайте
Был на сайте: 7 лет 3 недели назад
Зарегистрирован: 22.03.2008 - 22:15
Публикации: 54876

И.Бондаренко wrote:

Надеюсь, что этого не произойдёт.

Да, этого (наша дефектура) не произошло.

Mitkampfer аватар
Не на сайте
Был на сайте: 11 лет 1 месяц назад
Зарегистрирован: 27.07.2010 - 07:43
Публикации: 1454

легочного рисунка не разобрать, но явных очаговых теней не углядел.

Не ограничивайте свою мысль

Живешь пока учишься

Ecrasez l’infame

Катенёв Валентин Львович аватар
Не на сайте
Был на сайте: 7 лет 3 недели назад
Зарегистрирован: 22.03.2008 - 22:15
Публикации: 54876

И, на томограммах не углядели?

А, может их действительно нет, и все пустые хлопоты?

Mitkampfer аватар
Не на сайте
Был на сайте: 11 лет 1 месяц назад
Зарегистрирован: 27.07.2010 - 07:43
Публикации: 1454

скорее всего

Не ограничивайте свою мысль

Живешь пока учишься

Ecrasez l’infame

Катенёв Валентин Львович аватар
Не на сайте
Был на сайте: 7 лет 3 недели назад
Зарегистрирован: 22.03.2008 - 22:15
Публикации: 54876

Дай то Бог, будем надеяться, что все будет к лучшему.

Годик гражданин отслужил, дембельнулся, приехал в родные палестины и решил устроиться на работу. И все бы ничего, да вот попал на "флюшку"...

И по сравнению с тем что было очагов справа на верхушке значительно больше стало. Сейчас коллега фтизиатр вплотную им занялся, в областную "контору" пациент направлен. Коллега фтизиатр уже и о КТ в ОПТД договорился.

Наталия Васильевна аватар
Не на сайте
Был на сайте: 5 лет 9 месяцев назад
Зарегистрирован: 25.09.2011 - 09:02
Публикации: 754

Может быть и ничего, но как нас учили-если что-то не понравилось с первого взгляда, то со второго таки найдешь, это как первая любовь-не знаешь за что, но за душу берет.

Катенёв Валентин Львович аватар
Не на сайте
Был на сайте: 7 лет 3 недели назад
Зарегистрирован: 22.03.2008 - 22:15
Публикации: 54876

Областная контора, сейчас, с большим вниманием к гражданину отнеслась, тем более и долг защитника Отечества выполнил.

Приложения: 
111.p5160030a.jpg
Наталия Васильевна аватар
Не на сайте
Был на сайте: 5 лет 9 месяцев назад
Зарегистрирован: 25.09.2011 - 09:02
Публикации: 754

Тогда странно, что так долго зрел Ваш "гражданин". Целый год при довольно активных нагрузках ТВС вспыхнул бы сильнее, может у парня другое-саркаидоз, например,а?

Катенёв Валентин Львович аватар
Не на сайте
Был на сайте: 7 лет 3 недели назад
Зарегистрирован: 22.03.2008 - 22:15
Публикации: 54876

Все может быть. Есть надежда, что в областном тубдиспансере разберутся.

А, практика показывает, что не всегда "очаговый" пыхает, довольно часто потихоньку, да крадучись - до инфильтративного...

Наталия Васильевна аватар
Не на сайте
Был на сайте: 5 лет 9 месяцев назад
Зарегистрирован: 25.09.2011 - 09:02
Публикации: 754

Валентин Львович, отправила личное сообщение-прошу, проверьте-дошло ли?

Катенёв Валентин Львович аватар
Не на сайте
Был на сайте: 7 лет 3 недели назад
Зарегистрирован: 22.03.2008 - 22:15
Публикации: 54876

Не дошло. Прямо сейчас посмотрел.