И это опять все о нём...

Пол пациента: 
Тип патологии: 
Методы исследования: 

Сегодня лаборант из флюорографического кабинета пригласила посмотреть флюорограмму "дамы".

Изображение

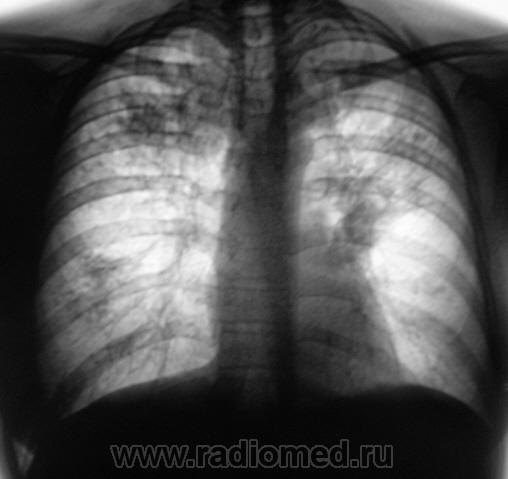
"Полезли" в электронный архив. Нашли флюорограмму за 2007 год (слева) и 2008 год (справа две).

ИзображениеИзображениеИзображение

Флюорограмма за 2007 год была оценена, как "норма". Изображение 2008 года - было отмечено локальное снижение прозрачности легочной ткани на уровне 2 ребра справа, на фоне чего дифференцируются отдельные очаговоподобные тени. Была рекоменндована "консультация терапевта" и полное клиническое обследование. Однако "сие" - рекомендации рентгенолога не были приняты к сведению.

Из беседы с "дамой" стало известно, что в последнее время - "подкашливает", откашливает некоторое количество мокроты, отмечает, что в последнее время "ослабла" и потеет по ночам. "Дама" средних лет, ведет "свободный образ жизни", уважает выпить "в меру" в "своей компании", любит мужчин, и все, что с ними связано. В настоящее время, по череди, сожительствует с двумя, хотя раньше любила другого (2 года тому), но тот умер от "геркулеса".

Произведено дообследование согласно стандарту.

ИзображениеИзображение

ИзображениеИзображениеИзображение

ИзображениеИзображениеИзображение

Изображение

Вот такие дела.

Кто-то, правда, озадачился свинюшкиным гриппом?

А "Его Величество Туберкулёз" твердой поступью шествует по просторам...

Анатолий Владимирович Шумаков аватар
Не на сайте
Был на сайте: 8 лет 2 месяцев назад
Зарегистрирован: 16.10.2009 - 21:16
Публикации: 1941

Валентин Львович, спасибо, с Вами интересно работать...

Катенёв Валентин Львович аватар
Не на сайте
Был на сайте: 7 лет 5 месяцев назад
Зарегистрирован: 22.03.2008 - 22:15
Публикации: 54876

Спасибо коллега. Наша область всегда считалась более-менее благополучной и район "без всяких вредностей", но вот в этом году вместе с коллегой фтизиатром "чуть копнули" - тихий ужас. А если по селам посмотреть "просто проживающих", не зарегистрированных, даже и не знаю, что вырисуется.

Катенёв Валентин Львович аватар
Не на сайте
Был на сайте: 7 лет 5 месяцев назад
Зарегистрирован: 22.03.2008 - 22:15
Публикации: 54876

Анатолий Шумаков:  "Дама еще та..."

 Уважаемый коллега! Мы даже не подозревали насколько "Дама еще та..."

Данные на сегодня.

Коллега фтизиатр выхлопотал для пациентки "денег", чтобы "дама доехала" до областного противотуберкулёзного диспансера. Но "дама", получив "бабки", нырнула, аки русалка, в глубины родного села с "приятной компанией", найти её, по словам фельдшера", пока не возможно, нужно ждать пока "бабки" закончатся.

 

"Дама ешё та.... "Козырная" дама".

Катенёв Валентин Львович аватар
Не на сайте
Был на сайте: 7 лет 5 месяцев назад
Зарегистрирован: 22.03.2008 - 22:15
Публикации: 54876

Но. самое интересное то, что сегодня, коллега-фтизиатр сообщил, что дама вернулась из профильного ЛПУ... с диагнозом..."Спонтанно излеченный туберкулёз"...

Катенёв Валентин Львович аватар
Не на сайте
Был на сайте: 7 лет 5 месяцев назад
Зарегистрирован: 22.03.2008 - 22:15
Публикации: 54876

Катенёв Валентин Львович wrote:

дама вернулась из профильного ЛПУ... с диагнозом..."Спонтанно излеченный туберкулёз"...

И, это очень интересно.