И такое бывает...

Пол пациента: 
Тип патологии: 
Область исследования: 
Методы исследования: 

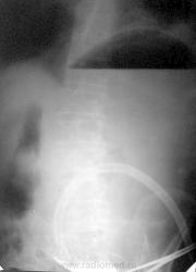
Пациенту на 5 день после тяжелого химического ожога пищевода наложили гастростому, и начали "кормить" шприцом Жане. Так продолжалось с неделю. Далее больной при появлении сестры с шприцом стал от неё убегать, прятаться и отказываться от кормления. Решили вызвать психиатра, но пока он не дошел - кто-то из хирургов вспомнил о рентгенологии. Для убедительности уговорили пациента еше на 50 грамм бариевой взвеси по гастростоме. Снимок перед Вами. Было это около 20 лет назад... Пришлось делать повторную операцию...

ID:2513
Петрович аватар
Не на сайте
Был на сайте: 7 лет 2 месяцев назад
Зарегистрирован: 22.03.2009 - 01:13
Публикации: 3908

Значится есть стенозирование привратника. На операции рубец или опухоль?

Неоднозначно всё

Анатолий Владимирович Шумаков аватар
Не на сайте
Был на сайте: 7 лет 10 месяцев назад
Зарегистрирован: 16.10.2009 - 21:16
Публикации: 1941

Это был химический ожог с двойной локализацией непроходимости - в пищеводе и в выходном отделе желудка. Хирурги во время первой операции - по видимому не совсем адекватно оценили состояние пилоруса, и наступило быстрое его рубцовое сужение... А рентгенолог, к сожалению, второе сужение найти не мог - пищевод пострадал до полной непроходимости...

Игорь Иванович аватар
Не на сайте
Был на сайте: 3 года 9 месяцев назад
Зарегистрирован: 23.01.2010 - 14:56
Публикации: 3695

А может быть в пилорусе не успел так быстро  сформироваться стеноз, как в пищеводе?