ИБС. Пациентка из терапевтического отделения.

Пол пациента: 
Тип патологии: 
Методы исследования: 

ИБС.  Пациентка из терапевтического отделения

  • https://radiomed.ru/sites/default/files/styles/case_slider_image/public/user/12/2.dscn0348a.jpg?itok=FoR7P4om
ID:23853
Андрей Юрьевич аватар
Не на сайте
Был на сайте: 1 месяц 2 недели назад
Зарегистрирован: 16.11.2008 - 22:16
Публикации: 18101

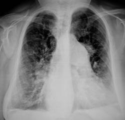
Ну, что тут можно сказать. Очевидна артериальная гипертензия в малом круге. Вследствие чего? Скорее всго вследствие выраженного двустроннего пневмофиброза, на КТ могли бы выявить идиолпатический легочный фиброз. А что там, у 2-дуги, "черненькое теменеется, беленькое белеется", бог весть; может что-то нестрашное, например, компрессия.

Андрей Юрьевич

Петрович аватар
Не на сайте
Был на сайте: 7 лет 5 месяцев назад
Зарегистрирован: 22.03.2009 - 01:13
Публикации: 3908

Андрей Юрьевич wrote:
Ну, что тут можно сказать. Очевидна артериальная гипертензия в малом круге. Вследствие чего? Скорее всго вследствие выраженного двустроннего пневмофиброза, на КТ могли бы выявить идиолпатический легочный фиброз. А что там, у 2-дуги, "черненькое теменеется, беленькое белеется", бог весть; может что-то нестрашное, например, компрессия.

В целом согласен. Тут очень важная информация может быть добыта из снимков прошлых лет. Но правый корень смотрится как-то не очень типично для лёгочной гипертензии: лишний шарик. Томографировать надо

Неоднозначно всё

Наталия Васильевна аватар
Не на сайте
Был на сайте: 5 лет 11 месяцев назад
Зарегистрирован: 25.09.2011 - 09:02
Публикации: 754

Левый контур сердца "тянет" на сердечный порок, изменения в легких могут быть обусловлены именно этой патологией.

cupitur аватар
Не на сайте
Был на сайте: 12 лет 1 месяц назад
Зарегистрирован: 19.09.2011 - 10:42
Публикации: 262

Застой и версия порока очень правдоподобна. Есть анамнез?

И, уважаемые коллеги, как правильно описать такие изменени. Спасибо.

Катенёв Валентин Львович аватар
Не на сайте
Был на сайте: 7 лет 3 месяцев назад
Зарегистрирован: 22.03.2008 - 22:15
Публикации: 54876

Петрович wrote:

В целом согласен. Тут очень важная информация может быть добыта из снимков прошлых лет. Но правый корень смотрится как-то не очень типично для лёгочной гипертензии: лишний шарик. Томографировать надо

Приложения: 
1.dscn0349.jpg2.dscn0349a.jpg3.dscn0350.jpg4.dscn0350a.jpg5.dscn0351.jpg
Анатолий Владимирович Шумаков аватар
Не на сайте
Был на сайте: 8 лет 3 недели назад
Зарегистрирован: 16.10.2009 - 21:16
Публикации: 1941

Здравствуйте Валентин Львович!

Вероятно - септальный врожденный порок - дефект межжелудочковой перегородки или незаращенный Баталлов проток. Выраженная артериальная легочная гипертензия и маленькая аорта из-за сброса слева направо. Пневмофиброз и эмфизема.

Петрович аватар
Не на сайте
Был на сайте: 7 лет 5 месяцев назад
Зарегистрирован: 22.03.2009 - 01:13
Публикации: 3908

Не многовато пневмофиброза для ВПС? Хотя изображения, конечно, не Айс).

А сколько лет тётеньке?

Неоднозначно всё

Анатолий Владимирович Шумаков аватар
Не на сайте
Был на сайте: 8 лет 3 недели назад
Зарегистрирован: 16.10.2009 - 21:16
Публикации: 1941

Она должна была умереть лет эдак 10 -15 назад...

 

Я видел кто - болел, не притворялся, бывало страшно нам на эту хворь смотреть, но если ей не стал сопротивляться, мог выжить - и надолго уцелеть. Болезнь щадит ущербных но покорных, и если с ней в конфликты не вступать, дается шанс - в отличие от проворных - еще продолжить, хоть  мог и умирать... Ведь если оказать сопротивление - то силы быстро на борьбу уйдут, и тут уж извините - не до пения, и драчуны - в безмолвный мир сойдут... 

Катенёв Валентин Львович аватар
Не на сайте
Был на сайте: 7 лет 3 месяцев назад
Зарегистрирован: 22.03.2008 - 22:15
Публикации: 54876

Здравствуйте Дорогой Анатолий Владимирович!

Спасибо за коммент. Рад Вам безмерно!

Катенёв Валентин Львович аватар
Не на сайте
Был на сайте: 7 лет 3 месяцев назад
Зарегистрирован: 22.03.2008 - 22:15
Публикации: 54876

Петрович wrote:

А сколько лет тётеньке?

Добрый день Петрович!

67 лет стукнуло недавно.

Петрович аватар
Не на сайте
Был на сайте: 7 лет 5 месяцев назад
Зарегистрирован: 22.03.2009 - 01:13
Публикации: 3908

Добрый день, Валентин Львович. У неё есть верифицированный диагноз по сердечной патологии? С ЭхоКГ.

Неоднозначно всё

stovbav аватар
Не на сайте
Был на сайте: 2 года 5 месяцев назад
Зарегистрирован: 20.12.2009 - 17:28
Публикации: 7066

Петрович wrote:

 У неё есть верифицированный диагноз по сердечной патологии? С ЭхоКГ.

Петрович, Вы правы, он ДОЛЖЕН БЫТЬ, этот самый диагноз, не может его не быть, при такой картине и в 67 лет))))

Петрович аватар
Не на сайте
Был на сайте: 7 лет 5 месяцев назад
Зарегистрирован: 22.03.2009 - 01:13
Публикации: 3908

Ой, в нашей тайге встречается всякое...

Неоднозначно всё