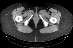
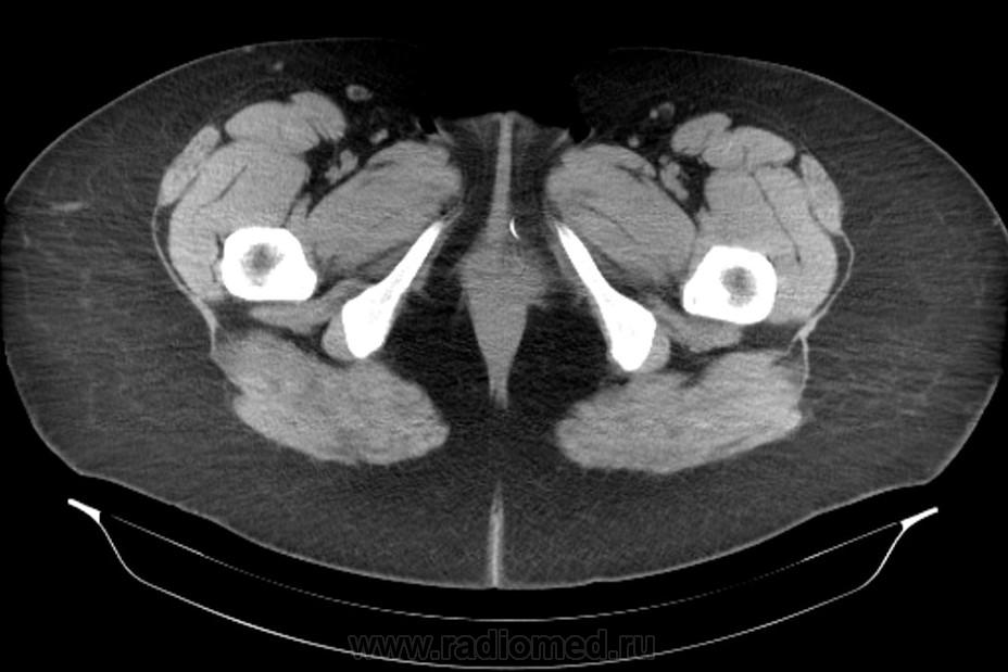
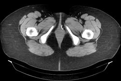
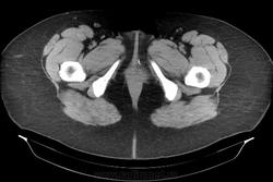
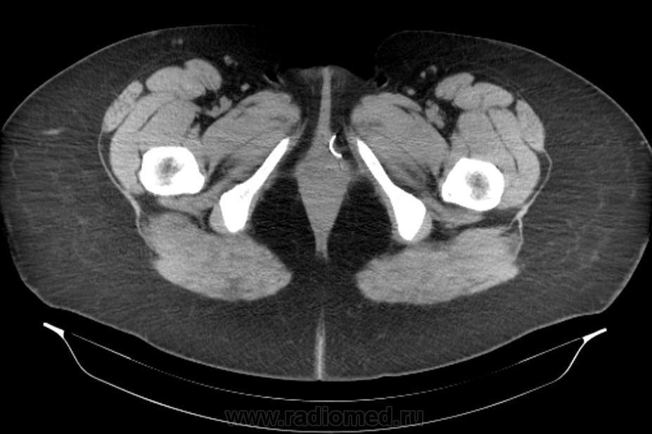
Инородное тело. Хирургическая игла.

Пол пациента: 
Область исследования: 
Методы исследования: 

Хирургическая игла, которую оставили гинекологи.

 

 

  • https://radiomed.ru/sites/default/files/styles/case_slider_image/public/user/14871/2.jpg?itok=Xac1sciC
  • https://radiomed.ru/sites/default/files/styles/case_slider_image/public/user/14871/3.jpg?itok=cjAkiS3D
  • https://radiomed.ru/sites/default/files/styles/case_slider_image/public/user/14871/4.jpg?itok=gHj4MqfB
  • https://radiomed.ru/sites/default/files/styles/case_slider_image/public/user/14871/5.jpg?itok=90QTwI_Z
  • https://radiomed.ru/sites/default/files/styles/case_slider_image/public/user/14871/6.jpg?itok=Bfv0-cIk
  • https://radiomed.ru/sites/default/files/styles/case_slider_image/public/user/14871/7.jpg?itok=NIko7nnV
ID:18413
ЛГ аватар
Не на сайте
Был на сайте: 8 лет 10 месяцев назад
Зарегистрирован: 06.01.2010 - 12:31
Публикации: 3523

Ой... Кто оставил, тому и вытаскивать...

Катенёв Валентин Львович аватар
Не на сайте
Был на сайте: 7 лет 2 недели назад
Зарегистрирован: 22.03.2008 - 22:15
Публикации: 54876

А. что за операция была?

svet аватар
Не на сайте
Был на сайте: 1 год 10 месяцев назад
Зарегистрирован: 07.05.2010 - 19:10
Публикации: 201

По локализации игла в матке или в шейке? и когда опомнились ? на рентгенограммах она тоже должна быть видна. Видно дискомфорт больная ощутила сполна раз уже кт стали делать.

Ganesh аватар
Не на сайте
Был на сайте: 9 лет 2 месяцев назад
Зарегистрирован: 26.12.2011 - 20:05
Публикации: 35

Да, гинекологи сами почуяли неладное и отправили пациентку на исследование. Операция была по поводу кисты левой бартолиневой железы. Со слов пациентки, ей до этого делали УЗИ, но ничего не обнаружили. Расположена она в толще большой половой губы, в преддверии влагалища.