Пол пациента:
Тип патологии:
Область исследования:
Методы исследования:
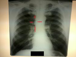
Мужчина, 50 лет. Дообследование после флюорографии. В проекции в/д правого легкого определяется гомогенное образование, с четким контуром, широким основанием прилегающее к тени средостения. На правом боковом снимке ОГК четко образование не определяется. Предполагаю наличие образования из средостения (если придерживаться правилам Ленка и Зенихиной). Хотелось бы узнать ваши мнения по данным снимкам. Заранее извиняюсь за качество, фотографии были сделаны на сотовый телефон.
Если имеется в виду доп. тень, проекционно прилежащая к восходящей аорте, то согласен с Вами. Требуется томографическое дообследование.
С уважением,
А можно стрелочки поставить на то место, которое смущает в прямой и правой боковой?
Стрелочки поставил на снимке в прямой проекции, про боковую уточнил в описании.
Дуга аорты извита, так что есть вариант,что это она и есть...Сделайте еще заднюю проекцию ,может будет лучше видно.
А разве это не аорта?
Может, и аорта. Но если у доктора сомнения - дообследуй.
С уважением,
Мне в 6 сегменте справа не нравится кольцевидная тень ! В прямой - она мало заметна , малоинтенсивна , а в боковой- очень даже видна . А на счет тени у средостения - да , нужно "докрутить " ( или скопически , или заднюю + косую)
Думаю, кольцевидная тень - скиалогия. Тоже сначала глаз зацепился, но потом как-то "рассыпалась" на элементы легочного рисунка. Да и такого характера истинное затемнение было бы и на прямом. На скопии (если будет) сразу будет понятно.
С уважением,