Из архива

Пол пациента: 
Тип патологии: 
Методы исследования: 

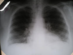
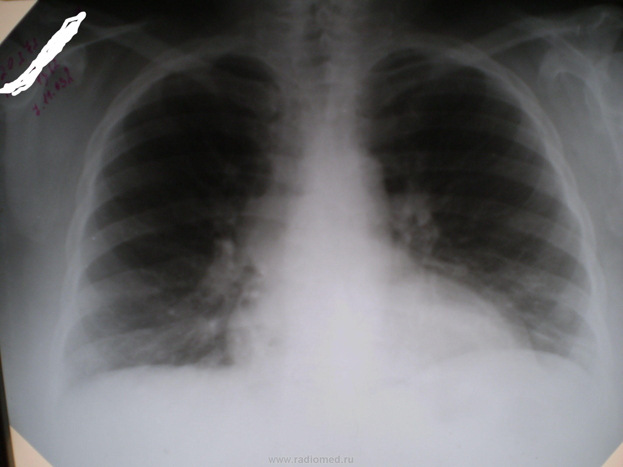
Больная Б. 1962г.р., поступила в ЦРБ 7.11.2009г. с температурой 40, всеми признаками ОРЗ в самый грипозный период. Сделали снимок. На второй день ей лучше, t-37,5. Вечером 10.11.12 - t-38,0, резкая слабость, недомогание, одышка. Сатурация - 87%. В крови - L-7, РОЭ- 28. Утром 11.11.09 сделали повторный снимок, перевели в реанимацию, откуда вечером в морг. Какие мнения?

  • https://radiomed.ru/sites/default/files/styles/case_slider_image/public/user/16663/pc012092.jpg?itok=k7S8hfJl
ID:23894
Катенёв Валентин Львович аватар
Не на сайте
Был на сайте: 7 лет 2 недели назад
Зарегистрирован: 22.03.2008 - 22:15
Публикации: 54876

Боковых, надо понимать, не делали?

ВОПРОС.

Какое заключение выдали по первому (левому) снимку?

Andriy аватар
Не на сайте
Был на сайте: 11 лет 4 месяцев назад
Зарегистрирован: 28.06.2012 - 14:24
Публикации: 82

 

женщина была тучная. Поставили норму.

Катенёв Валентин Львович аватар
Не на сайте
Был на сайте: 7 лет 2 недели назад
Зарегистрирован: 22.03.2008 - 22:15
Публикации: 54876

И, "двойной контур" левого желудочка не смутил?

Andriy аватар
Не на сайте
Был на сайте: 11 лет 4 месяцев назад
Зарегистрирован: 28.06.2012 - 14:24
Публикации: 82

Не смутил. Когда потом немножко корегировали и.б., я написал обогащение легочного рисунка. Но сути
это не меняет.

Андрей Юрьевич аватар
Не на сайте
Был на сайте: 2 дня 22 часа назад
Зарегистрирован: 16.11.2008 - 22:16
Публикации: 18098

Как вариант - "свиной грипп", только у него, вроде бы, "светлых" прмежутков не бывает. Тогда вариант 2: у женщины с кардиальными проблемами обычный грипп, затем лучше, затем кардиальные осложнения (миокардит и все такое), декомпенсация, отек легких и все.

Андрей Юрьевич

Катенёв Валентин Львович аватар
Не на сайте
Был на сайте: 7 лет 2 недели назад
Зарегистрирован: 22.03.2008 - 22:15
Публикации: 54876

Обработанные снимки.

Приложения: 
1.pc012091.jpg1.pc012091ab.jpg2.pc012092.jpg2.pc012092pl.jpg
Andriy аватар
Не на сайте
Был на сайте: 11 лет 4 месяцев назад
Зарегистрирован: 28.06.2012 - 14:24
Публикации: 82

Андрей Юрьевич wrote:

Как вариант - "свиной грипп", только у него, вроде бы, "светлых" прмежутков не бывает. 

И этот вариант подтверждён паталогоанатомом. У всех четверых, умерших в то время в нашей больнице от "свинного гриппа" был светлый промежуток. Кстати, кафедра судебной медицины Черновицкого мединститута патоморфологически доказывала, что тогда была не вирусная пневмония, а респираторный дистрес-синдром взрослых в ответ на сильную вирусную интоксикацию.

Катенёв Валентин Львович аватар
Не на сайте
Был на сайте: 7 лет 2 недели назад
Зарегистрирован: 22.03.2008 - 22:15
Публикации: 54876

Andriy wrote:

 Кстати, кафедра судебной медицины Черновицкого мединститута патоморфологически доказывала, что тогда была не вирусная пневмония, а респираторный дистрес-синдром взрослых в ответ на сильную вирусную интоксикацию.

И, какая вирусологическая лаборатория или институт приняли участие в этом доказательстве?

На сколько мне известно, кафедры судебной медицины не располагают достаточным оборудованием и специалистами в этом векторе исследований и доказательств.

Andriy аватар
Не на сайте
Был на сайте: 11 лет 4 месяцев назад
Зарегистрирован: 28.06.2012 - 14:24
Публикации: 82

Гистологически, патоморфологически - все соответствует синдрому гиалиновых мембран (оно-же РДС взрослых, оно-же шоковое лёгкое). А разработок НАСА никто здесь и не использовал.

Andriy аватар
Не на сайте
Был на сайте: 11 лет 4 месяцев назад
Зарегистрирован: 28.06.2012 - 14:24
Публикации: 82

Я почему выставил эти снимки: после такого гипердиагностика у нас выросла в разы. Дуем на холодное.

Катенёв Валентин Львович аватар
Не на сайте
Был на сайте: 7 лет 2 недели назад
Зарегистрирован: 22.03.2008 - 22:15
Публикации: 54876

Andriy wrote:

 после такого гипердиагностика у нас выросла в разы. 

Вы правы, гипердиагностика по поводу "свинного гриппа", в своё время, имела место быть.

Катенёв Валентин Львович аватар
Не на сайте
Был на сайте: 7 лет 2 недели назад
Зарегистрирован: 22.03.2008 - 22:15
Публикации: 54876

Andriy wrote:

 А разработок НАСА никто здесь и не использовал.

Может ошибаюсь.., а представительство НАСА есть в Харькове, в "Радмире"?

И.Бондаренко аватар
Не на сайте
Был на сайте: 1 день 17 часов назад
Зарегистрирован: 13.09.2011 - 22:55
Публикации: 9206

По первому снимку: есть в нижней зоне три кругляшки, которые накладываются на ребра. В дальнейшем отрицательная динамика, причем справа с худшим вариантом.

Роман Муравьев аватар
Не на сайте
Был на сайте: 4 года 9 месяцев назад
Зарегистрирован: 02.10.2010 - 20:09
Публикации: 191

Было тоже несколько подобных случаев несколько лет назад во время эпидемии гриппа, очень быстрое ухудшение клинически и рентгенологически до реанимации, неэффективность лечения и ИВЛ, летальный исход, молодой и средний возраст