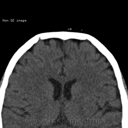
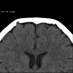
Изменение костей черепа, КТ.

Нейрохирург принес на консультацию снимки. Пациенту был выставлен диагноз в частном диагностическом центре эозинофильная(-ные) гранулёмы лобных костей. Как вам?

  • https://radiomed.ru/sites/default/files/styles/case_slider_image/public/user/1/2se001.png?itok=KTw_EI5O
  • https://radiomed.ru/sites/default/files/styles/case_slider_image/public/user/1/2se002_0.png?itok=zRfLMd3T
  • https://radiomed.ru/sites/default/files/styles/case_slider_image/public/user/1/2se004.png?itok=-Pkzih8X
  • https://radiomed.ru/sites/default/files/styles/case_slider_image/public/user/1/2se005.png?itok=80grlnZA
  • https://radiomed.ru/sites/default/files/styles/case_slider_image/public/user/1/2se006.png?itok=phgpmxRJ
  • https://radiomed.ru/sites/default/files/styles/case_slider_image/public/user/1/2se009.png?itok=Ly4hCO2p
  • https://radiomed.ru/sites/default/files/styles/case_slider_image/public/user/1/2se012.png?itok=ktO-QDud
ID:52612
Катенёв Валентин Львович аватар
Не на сайте
Был на сайте: 7 лет 4 недели назад
Зарегистрирован: 22.03.2008 - 22:15
Публикации: 54876

А, не совпадают ли эти "гранулёмы" топографически с венозными выпускниками?

tatyana аватар
Не на сайте
Был на сайте: 4 года 1 месяц назад
Зарегистрирован: 24.06.2009 - 08:33
Публикации: 2090

Сергей Николаевич wrote:

Нейрохирург принес на консультацию снимки. Пациенту был выставлен диагноз в частном диагностическом центре эозинофильная(-ные) гранулёмы лобных костей. Как вам?

какие-то дырки в лобных костях

"самоуверенность дилетантов - предмет зависти профессионалов"

Евгений Второй аватар
Не на сайте
Был на сайте: 4 дня 14 часов назад
Зарегистрирован: 13.09.2011 - 22:00
Публикации: 1772

Пахионовы ямки. Валентин Львович, Вы первый.

Евгений Второй аватар
Не на сайте
Был на сайте: 4 дня 14 часов назад
Зарегистрирован: 13.09.2011 - 22:00
Публикации: 1772

А за "лобных костей" двойной респект...

Nela аватар
Не на сайте
Был на сайте: 6 лет 1 месяц назад
Зарегистрирован: 12.05.2009 - 20:43
Публикации: 1847

Согласна, конечно пахионовые грануляции.

Сергей Нагорный аватар
Не на сайте
Был на сайте: 9 лет 8 месяцев назад
Зарегистрирован: 13.07.2010 - 22:49
Публикации: 1370

Конечно же это не эозинофильные гранулёмы, пациента прислали к нейрохирургу, предварительно расстроив.

Вижу эти образования как ямочки грануляций, сообщающиеся с диплоетическими венами

С уважением, С.Н. Нагорный

tatyana аватар
Не на сайте
Был на сайте: 4 года 1 месяц назад
Зарегистрирован: 24.06.2009 - 08:33
Публикации: 2090

Сергей Николаевич wrote:

Конечно же это не эозинофильные гранулёмы, пациента прислали к нейрохирургу, предварительно расстроив.

враги!

"самоуверенность дилетантов - предмет зависти профессионалов"

Nela аватар
Не на сайте
Был на сайте: 6 лет 1 месяц назад
Зарегистрирован: 12.05.2009 - 20:43
Публикации: 1847

Может и не враги. Может так учили. Мы сейчас ожидаем наплыва таких пациентов. Дело в том, что в районы области закупили восемь КТ, а на обучении врачей, как видно съэкономили: одна неделя, т.е. 5 дней обучения (лекции), из них 2 дня человек, который сам КТ не занимается и 3 дня лекций нормального КТешника. Все, специалисты по КТ "подготовлены". Ужас просто!

У меня, когда я узнала об этом, второй день голова болит. Как же они работать будут?!

Сергей Нагорный аватар
Не на сайте
Был на сайте: 9 лет 8 месяцев назад
Зарегистрирован: 13.07.2010 - 22:49
Публикации: 1370

Nela wrote:

Может и не враги. Может так учили. Мы сейчас ожидаем наплыва таких пациентов. Дело в том, что в районы области закупили восемь КТ, а на обучении врачей, как видно съэкономили: одна неделя, т.е. 5 дней обучения (лекции), из них 2 дня человек, который сам КТ не занимается и 3 дня лекций нормального КТешника. Все, специалисты по КТ "подготовлены". Ужас просто!

У меня, когда я узнала об этом, второй день голова болит. Как же они работать будут?!

А мы уже больше года так работаем crying. Приходится много больных пересматривать, переписывать, причем, мы к этим больным никакого отношения не имеем. Я не говорю уж про фазное болюсное контрастирование, КТ АГ, перфузию... Но обучение "в процессе" происходит, заключения всё ближе и ближе к истине, но направленность узкая, чуть в сторону - беда...

С уважением, С.Н. Нагорный

Nela аватар
Не на сайте
Был на сайте: 6 лет 1 месяц назад
Зарегистрирован: 12.05.2009 - 20:43
Публикации: 1847

Да и мы также, но сейчас 27 человек "подготовили". Если они все сразу начнут рабоатать, то караул..angry Больные то все к нам приедут в областную больницу.

Сергей Нагорный аватар
Не на сайте
Был на сайте: 9 лет 8 месяцев назад
Зарегистрирован: 13.07.2010 - 22:49
Публикации: 1370

Аналогично, мы тоже в областной... 

Интересная, конечно, подготовка... А на базе чего учились все 27 человек?

С уважением, С.Н. Нагорный

Nela аватар
Не на сайте
Был на сайте: 6 лет 1 месяц назад
Зарегистрирован: 12.05.2009 - 20:43
Публикации: 1847

На базе детской областной (где ни КТ, ни МРТ нет), выездной цикл из Челябинска. Во как! И считается, что проучили, галочку жирную поставили.

tatyana аватар
Не на сайте
Был на сайте: 4 года 1 месяц назад
Зарегистрирован: 24.06.2009 - 08:33
Публикации: 2090

Я чего ёрничаю, коллеги... Потому что ежедневно ко мне на рентген присылают пациентов с такими заключениями КТ и МРТ. Они же не методику КТ не знают, а рентгенанатомию и рентгенсемиотику....

"самоуверенность дилетантов - предмет зависти профессионалов"

Сергей Нагорный аватар
Не на сайте
Был на сайте: 9 лет 8 месяцев назад
Зарегистрирован: 13.07.2010 - 22:49
Публикации: 1370

Nela wrote:

На базе детской областной (где ни КТ, ни МРТ нет), выездной цикл из Челябинска. Во как! И считается, что проучили, галочку жирную поставили.

То есть практических занятий на аппаратах не было? Или потом фирмачи приедут "учить" работать?

С уважением, С.Н. Нагорный

Popovpavel аватар
Не на сайте
Был на сайте: 7 лет 3 месяцев назад
Зарегистрирован: 08.06.2009 - 00:23
Публикации: 649

Пахионовы грануляции, конечно! Еще они иногда вдаются в просвет венозных синусов, и тогда рентгенологи пишут "тромбоз")

Nela аватар
Не на сайте
Был на сайте: 6 лет 1 месяц назад
Зарегистрирован: 12.05.2009 - 20:43
Публикации: 1847

Ага!

Катенёв Валентин Львович аватар
Не на сайте
Был на сайте: 7 лет 4 недели назад
Зарегистрирован: 22.03.2008 - 22:15
Публикации: 54876

tatyana wrote:

Сергей Николаевич wrote:

Конечно же это не эозинофильные гранулёмы, пациента прислали к нейрохирургу, предварительно расстроив.

враги!

Враги,те "дефекты" по - темному просверлили...

 

Приложения: 
1.vragi_.86732194.jpg
Катенёв Валентин Львович аватар
Не на сайте
Был на сайте: 7 лет 4 недели назад
Зарегистрирован: 22.03.2008 - 22:15
Публикации: 54876

Nela wrote:

Может и не враги. Может так учили. Мы сейчас ожидаем наплыва таких пациентов. Дело в том, что в районы области закупили восемь КТ, а на обучении врачей, как видно съэкономили: одна неделя, т.е. 5 дней обучения (лекции), из них 2 дня человек, который сам КТ не занимается и 3 дня лекций нормального КТешника. Все, специалисты по КТ "подготовлены". Ужас просто!

У меня, когда я узнала об этом, второй день голова болит. Как же они работать будут?!

Следовательно, в масштабах РФ, правомерно утверждение, что внедрение "высоких технологий", не способствовало улучшению диагностики в масштабах РФ, а поспособствовало ухудшению и удорожанию "лучевого сегмента" диагностики?

Катенёв Валентин Львович аватар
Не на сайте
Был на сайте: 7 лет 4 недели назад
Зарегистрирован: 22.03.2008 - 22:15
Публикации: 54876

Nela wrote:

На базе детской областной (где ни КТ, ни МРТ нет), выездной цикл из Челябинска. Во как! И считается, что проучили, галочку жирную поставили.

А, вот интересно. Повсеместно внедряются "высокие технологии". А, много ли у нас в РФ "академических школ", имеющим "право" учить и могущих научить?

Popovpavel аватар
Не на сайте
Был на сайте: 7 лет 3 месяцев назад
Зарегистрирован: 08.06.2009 - 00:23
Публикации: 649

Катенёв Валентин Львович wrote:

Nela wrote:

На базе детской областной (где ни КТ, ни МРТ нет), выездной цикл из Челябинска. Во как! И считается, что проучили, галочку жирную поставили.

А, вот интересно. Повсеместно внедряются "высокие технологии". А, много ли у нас в РФ "академических школ", имеющим "право" учить и могущих научить?

Думаю, людей, в принципе способных научить, у нас довольно много. Другое дело, что эти люди никак не привлекаются существующей системой образования. Считается, что основное в медицине - это "оборудование", а об интеллектуальном ресурсе никто не заботится.

Катенёв Валентин Львович аватар
Не на сайте
Был на сайте: 7 лет 4 недели назад
Зарегистрирован: 22.03.2008 - 22:15
Публикации: 54876

Popovpavel wrote:

Думаю, людей, в принципе способных научить, у нас довольно много. Другое дело, что эти люди никак не привлекаются существующей системой образования. Считается, что основное в медицине - это "оборудование", а об интеллектуальном ресурсе никто не заботится.

Вы правы Павел, но вот, "руководство" считает не так, им главное "наличие оборудование" и освоеные деньги. Термин интересный - "освоение денег", прям "Целиной" попахивает - "освоили целину"..., а что дальше?

Катенёв Валентин Львович аватар
Не на сайте
Был на сайте: 7 лет 4 недели назад
Зарегистрирован: 22.03.2008 - 22:15
Публикации: 54876

Popovpavel wrote:

...об интеллектуальном ресурсе никто не заботится.

А, на "хрена" нам знания и интеллектуальный ресурс? Главное, что из нашего Министерства нами управляет Симпатичная Женщина...

Popovpavel аватар
Не на сайте
Был на сайте: 7 лет 3 месяцев назад
Зарегистрирован: 08.06.2009 - 00:23
Публикации: 649

Катенёв Валентин Львович wrote:

Popovpavel wrote:

...об интеллектуальном ресурсе никто не заботится.

А, на "хрена" нам знания и интеллектуальный ресурс? Главное, что из нашего Министерства нами управляет Симпатичная Женщина...

Ну, есть и посимпатичнее... Но это строго между нами;)

Катенёв Валентин Львович аватар
Не на сайте
Был на сайте: 7 лет 4 недели назад
Зарегистрирован: 22.03.2008 - 22:15
Публикации: 54876

Конечно!

 

Павел, а Вы часто встречаетесь с гетеротопиями, применительно к мозгу?