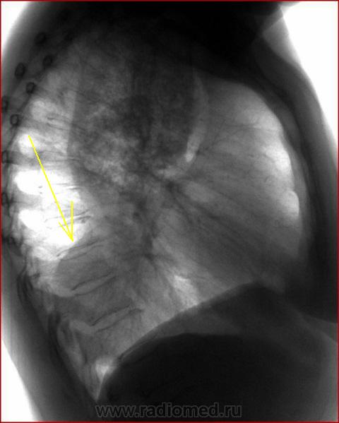
Сегодняшние снимки из ФГ-кабинета; такое нынче не так часто и встречается.... Чт, 24/12/2009 - 18:06 #1 tatyana Не на сайте Был на сайте: 4 года 1 месяц назад Зарегистрирован: 24.06.2009 - 08:33 Публикации: 2090 stovbav wrote: Сегодняшние снимки из ФГ-кабинета; такое нынче не так часто и встречается.... А что это по-Вашему, коллега, что нынче не так часто встречается? На мой взгляд это может быть и опухолью средостенья, например тератомой, и расширеным пищеводом... "самоуверенность дилетантов - предмет зависти профессионалов" Чт, 24/12/2009 - 18:22 #2 Катенёв Валенти... Не на сайте Был на сайте: 7 лет 3 недели назад Зарегистрирован: 22.03.2008 - 22:15 Публикации: 54876 И структуру "образования" можно охарактеризовать, как "отсутствие какой-либо структуры". Чт, 24/12/2009 - 18:23 #3 Катенёв Валенти... Не на сайте Был на сайте: 7 лет 3 недели назад Зарегистрирован: 22.03.2008 - 22:15 Публикации: 54876 И структуру "образования" можно охарактеризовать, как "отсутствие какой-либо структуры". Чт, 24/12/2009 - 18:32 #4 Катенёв Валенти... Не на сайте Был на сайте: 7 лет 3 недели назад Зарегистрирован: 22.03.2008 - 22:15 Публикации: 54876 Нижняя доля правого лёгкого оттеснена "зажатой" и "отжатой" верхней долей + "объёмное образованием" книзу? Но она нижняя доля сниженной прозрачности - гиповентиляция? Чт, 24/12/2009 - 18:48 #5 stovbav Не на сайте Был на сайте: 2 года 2 месяцев назад Зарегистрирован: 20.12.2009 - 17:28 Публикации: 7066 Вы правы - это расширеный пищевод, имеет место ахалазия 4-й степени. Состоит у нас на учете уже года три. Болезни ног: виды, симптомы, причины, профилактика и лечение
А что это по-Вашему, коллега, что нынче не так часто встречается?
На мой взгляд это может быть и опухолью средостенья, например тератомой, и расширеным пищеводом...
"самоуверенность дилетантов - предмет зависти профессионалов"
И структуру "образования" можно охарактеризовать, как "отсутствие какой-либо структуры".
И структуру "образования" можно охарактеризовать, как "отсутствие какой-либо структуры".
Нижняя доля правого лёгкого оттеснена "зажатой" и "отжатой" верхней долей + "объёмное образованием" книзу? Но она нижняя доля сниженной прозрачности - гиповентиляция?
Вы правы - это расширеный пищевод, имеет место ахалазия 4-й степени. Состоит у нас на учете уже года три.
Болезни ног: виды, симптомы, причины, профилактика и лечение