о круглых тенях перманентно, уважаемый Валентин Львович! Они меня заворожили, закрутили. Хочу раскрыть их тайну. Давно известно, что рентгеновы лучи никогда не ошибаются, только мы ошибаемся, когда плохо переводим их язык. С уважением Nik
о круглых тенях перманентно, уважаемый Валентин Львович! Они меня заворожили, закрутили. Хочу раскрыть их тайну. Давно известно, что рентгеновы лучи никогда не ошибаются, только мы ошибаемся, когда плохо переводим их язык. С уважением Nik
Синдром «круглая тень» увлекал и будоражил умы многих. Я не буду касаться «первых» и «выдающихся» в рентгеновской когорте. Много времени данному синдрому посвятил любимец курсантов Украины дмн, профессор Михаил Абрамович Гинзбург, с моей точки зрения, выдающийся рентгенолог-пульмонолог, который имел один из «огроменных» наборов по данному синдрому. Михаил Абрамович мог настолько озадачить, а затем разъяснить скиалогическую картину (патологию), которая взяла, да отразилась, в виде «круглой тени», что порой курсанты забывали о времени (что нельзя было сказать о других преподавателях). Со слов Гинзбурга, синдром «круглая тень» не исчерпаем…
Я всегда с большой теплотой вспоминаю этого учителя, учёного, прекрасного человека, который не стремился к известности, так как в те времена был «Гинзбургом», но которого мы все любили, почитали и помним до сих пор, хотя он и покинул пределы СНГ…
Мы долго колебались между диагнозами периферического рака и туберкуломы, остановились на "периферическом", пациент был направлен в областную онкологическую "контору", где и был прооперирован.
Это была случайная находка? Или больной ранее болел туберкулезом и обратился с жалобами в поликлинику? Заданные Вам вопросы для меня важны. Благодарю Вас за очень интересное наблюдение, которое ещё раз показывает как многолик туберкулёз и конкретные его формы (туберкулёма в частности). Хочу повторить всем участникам сайта. Радиомед это непрерывные курсы повышения квалификации. Участвуйте коллеги в обсуждении клинических наблюдений! Не надо стесняться, что Вы ошибетесь. Врачи учатся и ошибаются всю профессиональную жизнь. Постоянное участие в Радиомеде дает Вам шанс избежать многих ошибок. С уважением ко всем коллегам всегда Ваш Nikolas
я сожалею, но я работаю в региональной детской больнице в течение прошлых 5 месяцев, и здесь мы делаем бронхографию по крайней мере однажды через месяц
Мы долго колебались между диагнозами периферического рака и туберкуломы, остановились на "периферическом", пациент был направлен в областную онкологическую "контору", где и был прооперирован.
мне эта тень показалась похожей на тень у "одной бабки на краю местечка".Возникла первая и единственная мысль о туберкуломе (по tg,конечно).Поэтому вопрос: на основании чего Вы все же выставили преиф.c-r?
Нет, это совершенно разные случаи. Такого добра у нас, увы, больше чем достаточно. Я щедро делюсь таким "добром", даже с сотрудниками кафедр фтизиатрии, правда, онибольше любят, чтобы был еще и гарнир (+ микоз, или еще что либо).
Иногда ситуационно выгоднее ставить "рак", так как ребята "ловящие раков" действуют довольно оперативно и машут рукой - "иди сюда", а "фтизные ребята" могут и поманежить, что не есть хорошо, именно, для нас - "контроль", еще "контроль", потом - "контроль контролей", порой "конца" не видно контролям тем...
я поняла,что разные) но Rg-признаки схожие: в динамике увидем "взрыв".Если ставить ситуационно,тогда зачем мы тут бьемся над рентгеном? Не видение или неведение?
я поняла,что разные) но Rg-признаки схожие: в динамике увидем "взрыв".Если ставить ситуационно,тогда зачем мы тут бьемся над рентгеном? Не видение или неведение?
Есть и еще один существенный аспект.
Тот, кто много лет проработал с пульмонологическими больными на «аналоге» (пленочная рентгенография), тот, конечно, даже не желая, глаз набил и сформировал в своём «чулане» (мозгу) определенный скиалогический стереотип. И, этот стереотип всегда помогал и помогал хорошо. Но, когда мы пересели на «цифру», стереотип начал подводить, картинка стала богаче и четче… Например, «корона малигна», «лучистость», можно назвать и по-другому, вдруг стала видимой и типичной не только вокруг «периферического», но и четко видна вокруг туберкуломы. Множественный мелкофокусный распад видели мы не только «в маленьком раке», но… и туберкуломе. Примеров Катюша можно приводить много. Даже широкое внедрение в пульмонологию КТ не решит этих «диагностических «заморочек».
Я помню, совсем недавно «времена», когда некоторые из наших, более или менее уважаемых коллег, с «пеной у рта» доказывали, что КТ решит все диагностические проблемы, а на «классику» можно «положить», даже придумали, эти коллеги, фразу – «Рентген выжат досуха»…, мол, КТ похоронит «классическую рентгенологию». Не слышу, я, траурный марш по «классической рентгенологии», не слышу, да и не услышу. Этак, можно договориться, что и МРТ забьёт «болт» в КТ, бред конечно. Везде должен быть выработан скиалогический (иллюстративный) стереотип, а для КТ и МРТ, в нашем Отечестве «положенного времени» не прошло, но морфологи, конечно, скажут своё окончательное слово, иногда, правда и это «морфологическое слово» не бывает последним…
Будет «взрыв», или не будет, а хрен его знает…
НО, я прекрасно помню представителей «ушедшей династии врачей» - пульмонологи (фтизиатры), рентгенологи и врачи-лаборанты (которые работали с мокротой), именно, РАБОТАЛИ, и диагностика была «на уровне», несмотря на аппаратуру и оборудование.
Вот недавно, Путин В. В., в моём родном городе – Нижнем Тагиле, тестировал «новый танк». Я, давно уже думал, что после ВОВ танки не нужны, ну разве деткам в музее показать, да у стариков-ветеранов вызвать слезы воспоминаний, когда они были молодыми. А оказалось, что новая модификация танка нужна, и она решает, эта модификация, большие задачи (это я по поводу того, что «зачем мы тут бьемся над рентгеном»).
Мы вооружаемся, дорогая Катюша, и знаниями и видением. Ведь врач рентгенолог может выставить (для клинициста) д/д диагностический ряд из 10 нозологических единиц, а может и из трёх… Разница есть?
На мой взгляд, сейчас, каждый врач работает, как одиночка (этакий, Александр Матросов), выдавая мнение. А может быть это не верно?
Вы легко расправились со снимками потому, что вы уже владели схемой прогрессированя туберкулёмы, которую я представил на форуме, и успешно её применили к конкретному случаю. Поздравляю.В отличии от Вас, мой уважаемый коллега в то время не имел в руках какого уникального инструмента. Но меня сейчас тревожит другое. В игре "Поставь диагноз 3" я обратился к молодежи сайта, имея ввиду и Вас, разыскать в вестнике рентгенологии статью про симптом "рожки месяца". Про "Рожки месяца" написала победительница "Поставь диагноз 4" замечательный врач НАТАЛИЯ. Полное молчание и тишина. Вот, что меня удивляет. Надеюсь на Вашу мобильность, как молодого и энергичного участника сайта. Поднимите эти статьи и представьте мне и коллегам! С уважением Nikolas
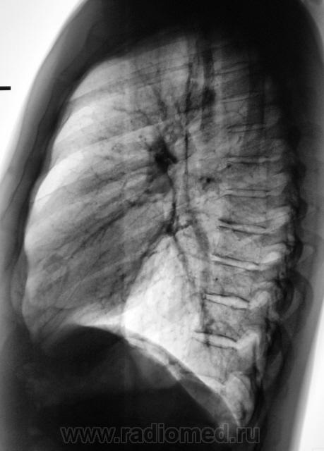
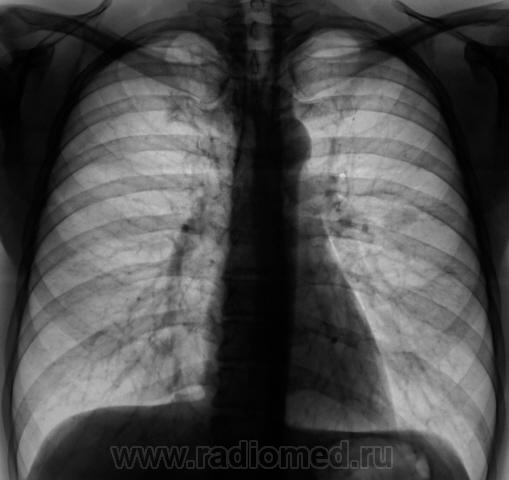
Слева в S6 (если не ошибаюсь) похоже на перифирический. На боковой накладывается кальцинат в л/у корня.
я бы сделала бронхограммы для уточнение диагноза...
Если диагноз туберкулёмы слева подтвердят, то тень в S5 справа следует отнести к туберкулёме. С уважением Nikolas
Дык бронхографию, считай уже лет 10 не делают, да и контрасты для её не выпускают?
Здравствуйте!
Интересное мнение по поводу туберкуломы...
Мы "прошлись" по пациенту линеечкой.
о круглых тенях перманентно, уважаемый Валентин Львович! Они меня заворожили, закрутили. Хочу раскрыть их тайну. Давно известно, что рентгеновы лучи никогда не ошибаются, только мы ошибаемся, когда плохо переводим их язык. С уважением Nik
Вы правы! Рентгенограмма не ошибается, ошибаемся МЫ, или от "не видения", или от "неведения".
Уважаемый Nikolas!
Синдром «круглая тень» увлекал и будоражил умы многих. Я не буду касаться «первых» и «выдающихся» в рентгеновской когорте. Много времени данному синдрому посвятил любимец курсантов Украины дмн, профессор Михаил Абрамович Гинзбург, с моей точки зрения, выдающийся рентгенолог-пульмонолог, который имел один из «огроменных» наборов по данному синдрому. Михаил Абрамович мог настолько озадачить, а затем разъяснить скиалогическую картину (патологию), которая взяла, да отразилась, в виде «круглой тени», что порой курсанты забывали о времени (что нельзя было сказать о других преподавателях). Со слов Гинзбурга, синдром «круглая тень» не исчерпаем…
Я всегда с большой теплотой вспоминаю этого учителя, учёного, прекрасного человека, который не стремился к известности, так как в те времена был «Гинзбургом», но которого мы все любили, почитали и помним до сих пор, хотя он и покинул пределы СНГ…
Синдром «круглая тень» - не исчерпаем!
Мы, благодаря "Сиару" увеличили и обработали эту тенюху, и вот что получили.
Мы, благодаря "Сиару" увеличили и обработали эту тенюху, и вот что получили.
Мы долго колебались между диагнозами периферического рака и туберкуломы, остановились на "периферическом", пациент был направлен в областную онкологическую "контору", где и был прооперирован.
Вы оказались правы уважаемый коллега. На операции, с последующей верификацией оказалась туберкулома.
при своем мнении. Хотелось бы видеть мнения других многочисленных и достойных участников нашего сайта. С уважением Nikolas/
эти изменеия, указанные стрелкам?. С уважением Nik
Эти изменения, как "тубер", но окончательно выдали сочетанную патологию.
Это была случайная находка? Или больной ранее болел туберкулезом и обратился с жалобами в поликлинику? Заданные Вам вопросы для меня важны. Благодарю Вас за очень интересное наблюдение, которое ещё раз показывает как многолик туберкулёз и конкретные его формы (туберкулёма в частности). Хочу повторить всем участникам сайта. Радиомед это непрерывные курсы повышения квалификации. Участвуйте коллеги в обсуждении клинических наблюдений! Не надо стесняться, что Вы ошибетесь. Врачи учатся и ошибаются всю профессиональную жизнь. Постоянное участие в Радиомеде дает Вам шанс избежать многих ошибок. С уважением ко всем коллегам всегда Ваш Nikolas
Пациент ранее был не известен.
Пациент переехал к нам из другой области.
за ответ. С уважением Nikolas
я сожалею, но я работаю в региональной детской больнице в течение прошлых 5 месяцев, и здесь мы делаем бронхографию по крайней мере однажды через месяц
Уважаемая гаур моника ! А какими контрастными препаратами Вы пользуетесь при бронхоскопии?Заранее благодарю за ответ.
С уважением. Ильич.
С уважением. Ильич.
мне эта тень показалась похожей на тень у "одной бабки на краю местечка".Возникла первая и единственная мысль о туберкуломе (по tg,конечно).Поэтому вопрос: на основании чего Вы все же выставили преиф.c-r?
Временно отсутствую на сайте...
Здравствуйте Катюша!
Нет, это совершенно разные случаи. Такого добра у нас, увы, больше чем достаточно. Я щедро делюсь таким "добром", даже с сотрудниками кафедр фтизиатрии, правда, онибольше любят, чтобы был еще и гарнир (+ микоз, или еще что либо).
Иногда ситуационно выгоднее ставить "рак", так как ребята "ловящие раков" действуют довольно оперативно и машут рукой - "иди сюда", а "фтизные ребята" могут и поманежить, что не есть хорошо, именно, для нас - "контроль", еще "контроль", потом - "контроль контролей", порой "конца" не видно контролям тем...
я поняла,что разные) но Rg-признаки схожие: в динамике увидем "взрыв".Если ставить ситуационно,тогда зачем мы тут бьемся над рентгеном? Не видение или неведение?
Временно отсутствую на сайте...
Есть и еще один существенный аспект.
Тот, кто много лет проработал с пульмонологическими больными на «аналоге» (пленочная рентгенография), тот, конечно, даже не желая, глаз набил и сформировал в своём «чулане» (мозгу) определенный скиалогический стереотип. И, этот стереотип всегда помогал и помогал хорошо. Но, когда мы пересели на «цифру», стереотип начал подводить, картинка стала богаче и четче… Например, «корона малигна», «лучистость», можно назвать и по-другому, вдруг стала видимой и типичной не только вокруг «периферического», но и четко видна вокруг туберкуломы. Множественный мелкофокусный распад видели мы не только «в маленьком раке», но… и туберкуломе. Примеров Катюша можно приводить много. Даже широкое внедрение в пульмонологию КТ не решит этих «диагностических «заморочек».
Я помню, совсем недавно «времена», когда некоторые из наших, более или менее уважаемых коллег, с «пеной у рта» доказывали, что КТ решит все диагностические проблемы, а на «классику» можно «положить», даже придумали, эти коллеги, фразу – «Рентген выжат досуха»…, мол, КТ похоронит «классическую рентгенологию». Не слышу, я, траурный марш по «классической рентгенологии», не слышу, да и не услышу. Этак, можно договориться, что и МРТ забьёт «болт» в КТ, бред конечно. Везде должен быть выработан скиалогический (иллюстративный) стереотип, а для КТ и МРТ, в нашем Отечестве «положенного времени» не прошло, но морфологи, конечно, скажут своё окончательное слово, иногда, правда и это «морфологическое слово» не бывает последним…
Будет «взрыв», или не будет, а хрен его знает…
НО, я прекрасно помню представителей «ушедшей династии врачей» - пульмонологи (фтизиатры), рентгенологи и врачи-лаборанты (которые работали с мокротой), именно, РАБОТАЛИ, и диагностика была «на уровне», несмотря на аппаратуру и оборудование.
Вот недавно, Путин В. В., в моём родном городе – Нижнем Тагиле, тестировал «новый танк». Я, давно уже думал, что после ВОВ танки не нужны, ну разве деткам в музее показать, да у стариков-ветеранов вызвать слезы воспоминаний, когда они были молодыми. А оказалось, что новая модификация танка нужна, и она решает, эта модификация, большие задачи (это я по поводу того, что «зачем мы тут бьемся над рентгеном»).
Мы вооружаемся, дорогая Катюша, и знаниями и видением. Ведь врач рентгенолог может выставить (для клинициста) д/д диагностический ряд из 10 нозологических единиц, а может и из трёх… Разница есть?
На мой взгляд, сейчас, каждый врач работает, как одиночка (этакий, Александр Матросов), выдавая мнение. А может быть это не верно?
Вы легко расправились со снимками потому, что вы уже владели схемой прогрессированя туберкулёмы, которую я представил на форуме, и успешно её применили к конкретному случаю. Поздравляю.В отличии от Вас, мой уважаемый коллега в то время не имел в руках какого уникального инструмента. Но меня сейчас тревожит другое. В игре "Поставь диагноз 3" я обратился к молодежи сайта, имея ввиду и Вас, разыскать в вестнике рентгенологии статью про симптом "рожки месяца". Про "Рожки месяца" написала победительница "Поставь диагноз 4" замечательный врач НАТАЛИЯ. Полное молчание и тишина. Вот, что меня удивляет. Надеюсь на Вашу мобильность, как молодого и энергичного участника сайта. Поднимите эти статьи и представьте мне и коллегам! С уважением Nikolas
Просто на сайте я читаю информацию, как гость и не пользуюсь своим ником.