В проекции в/доли справа в I м/р очаговые тени, утолщение междолевой плевры в н/доле, инородное тело в проекции н/доли слева ( или это артефакт?) Предварительное заключение: Очаговый туберкулез? А дальше как учили - томограммы и.т.д. до конечного результата.
Да, все оказалось, как нельзя лучше, была признана норма. Это призывник, был призван, в армию дважды проходил флюорографию, занимался в армии спортом, и как положено в срок был уволен, но решил себя посвятить работе в УВД.
При прохождении комиссии в поликлинике УВД жалоб не предъявляет. Профилактическая цифровая флюорография органов грудной полости (по месту жительства) - патологических изменений не выявлено. Но терапевта смутила, уж сильная "стройность" юноши, и он был направлен "на всякий случай" на рентгенографию ОГК.
при такой выраженной внутригрудной лимфаденопатии свойственна двум заболеваниям. Во-первых, лимфоме Ходжкина, несмотря на не очень свойственную локализацию процесса. Во-вторых, туберкулезу внутригрудных лимфатических узлов, учитывая напряженную эпидемическую ситуации по туберкулёзу. Самым важным, доступным и недорогим методом исследования является постановка пробы Манту. При наличии отрицательной реакции смело отвергайте туберкулез на 100%. Жду с нетерпением результатов обследования.
С учетом того, что пациент предъявлял жалобы на боли в поясничном отделе позвоночника, то он был направлен на рентгенографию поясничного отдела. Со стороны поясничного отдела, тогда патологии выявлено не было, но глаз "зацепился за крестец.
Пациент С., 1984 г.р. направлен на исследование по рекомендации областного онкологического диспансера. Анамнез заболевания. Молодой человек, 1984 года рождения, после увольнения из армии решил поступить на работу в УВД. При прохождении комиссии в поликлинике УВД жалоб не предъявляет. Профилактическая цифровая флюорография органов грудной полости (по месту жительства) - патологических изменений не выявлено. При осмотре ЛОР - был обнаружен уплотненный подчелюстной лимфатический узел. Пациент был направлен в областной онкологический диспансер. Выписка из диспансера. Находился под наблюдением в ГУЗ «Х» областной онкологический диспансер с 19.07.2007 года. 25.09.2007 г. установлен диагноз: заболевание подъязычной слюнной железы справа ст. 1У, кл. гр. П Т4 N2 М0. ЦИТОЛОГИЯ. От 25.09.2007 г.: Рак вероятнее всего из слюнной железы. ГИСТОЛОГИЯ. 21040 от 4.10.2007 г. - умеренно дифференцированная аденокарцинома. ИГХ № 971 от 10.10.2007 г. - комплексы низкодифференцированного рака, вероятно рак железистого генеза. Локальный статус. Правая половина языка инфильтрирована опухолью, исходящей из тканей дна полости рта, язык ограничено подвижен (в прикрепленном файле, под №№ 11 и 12 фотографии на настоящее время). На шее справа конгломерат лимфоузлов более 6 см. С 25.09.2007 г. по 22.10.2007 г. проведен курс химиолучевой терапии, СОД = 30 Гр. На очаг и шейные лимфоузлы, ПХТ - цисплатин 100 мг., 5 FU 2250 мг. С 15.11.2007 г. по 20.12.2007 г. второй курс химиолучевой терапии, СОД=56 Гр., ПХТ - цисплатин 100 мг., доксорубицин 80 мг., ифосфомид 8 г. С 9.01.2008 по 25.01.2008 г. находился в лучевом отделении, где при дообследовании, при рентгенографии органов грудной полости от 10.01.2008 г. выявлено образование в правом лёгком с полостью распада до полутора см., в средостении увеличены бронхопульсональные лимфатические узлы. УЗИ печени от 10.01.2008 г. - очаговое образование в печени до 4 см. СКТ грудной полости от 21.01.2008 г. - на серии снимков полостное образование в правом лёгком ?. Консультирован фтизиатрами и торакальными хирургами. Анализ крови от 17.01.2008 г. Нв 113 г/л, лейкоциты 3,8 Х 10 (9), СОЭ 55 мм./ч. Бронхоскопия от 14.01.08 г. - выраженный эндобронхит, увеличение бронхопульмональных узлов. Мазок из бронхов на БК - не обнаружен. Пролиферация и деструкция цилиндрического эпителия. Пациент направляется в РОНЦ им. Блохина, г. Москва, на консультацию для решения вопроса о дальнейшей тактике лечения. Поездка в г. Москву, в РОНЦ им. Н.Н. Блохина ничего не дала. Диагноз до сих пор «открыт» (был). При осмотре пациент пониженного питания (с его слов и со слов матери «он всегда был худощавым»). Кожные покровы слегка желтушные. Слева по ходу грудино-ключично-сосцевидной мышцы пальпируется единичный плотноватый лимфатический узел величиной с горошину. Область, где ранее определялся на шее справа конгломерат лимфоузлов более 6 см. нет никаких изменений. На передней грудной стенке на уровне средней трети грудины определяется незначительное покраснение и припухлость мягкоэлластической консистенции.
Цифровое стандартное флюорографическое профилактическое исследование (проведено на цифровом флюорографе «Ренекс - Флюоро»). На цифровых флюорограммах, произведенных в прямой, правой и левой боковых проекциях с обеих сторон определяется синдром двусторонней аденопатии. С обеих сторон определяется резкое увеличение и гомогенизация тени корней за счет резко гиперплазированных, в основном, бронхопульмональных лимфатических узлов с довольно чёткими, ровными контурами. Структура тени однородная. На фоне гиперплазированных лимфатических узлов чётко дифференцируются просветы главных бронхов. (Рис. 1, 2, 3). «Поднят архив». Пациент «проходил» флюорографию в 2007 году два раза - первый в январе, как «профилактическую», в июле месяце - при поступлении на работу (Рис. 4). Рентгенологическое исследование проведено по стандартной методике (на РДК на 3 рабочих места -«Вироматик»).
двустороняя диссеминация.
В проекции в/доли справа в I м/р очаговые тени, утолщение междолевой плевры в н/доле, инородное тело в проекции н/доли слева ( или это артефакт?) Предварительное заключение: Очаговый туберкулез? А дальше как учили - томограммы и.т.д. до конечного результата.
Плёночная что ли флюшка, 70мм? Из прошлого века? При малейшем подозрении делать прицельные рентген-снимки, иначе клизма неотвратимая.
Неоднозначно всё
А, подозрения есть?
Мелкие очаги и мне мерещатся…, справа сильнее.
Неоднозначно всё
будет хохма, если все окажется нормой!
Дело-то житейское: лучше перебдить, чем недобдить ). Скрининг, короче.
Неоднозначно всё
Да, все оказалось, как нельзя лучше, была признана норма. Это призывник, был призван, в армию дважды проходил флюорографию, занимался в армии спортом, и как положено в срок был уволен, но решил себя посвятить работе в УВД.
При прохождении комиссии в поликлинике УВД жалоб не предъявляет. Профилактическая цифровая флюорография органов грудной полости (по месту жительства) - патологических изменений не выявлено. Но терапевта смутила, уж сильная "стройность" юноши, и он был направлен "на всякий случай" на рентгенографию ОГК.
Таковая ОГК, и была произведена.
Какие мнения будут уважаемые коллеги?
ТБС ВГЛУ или Саркоидоз.
при такой выраженной внутригрудной лимфаденопатии свойственна двум заболеваниям. Во-первых, лимфоме Ходжкина, несмотря на не очень свойственную локализацию процесса. Во-вторых, туберкулезу внутригрудных лимфатических узлов, учитывая напряженную эпидемическую ситуации по туберкулёзу. Самым важным, доступным и недорогим методом исследования является постановка пробы Манту. При наличии отрицательной реакции смело отвергайте туберкулез на 100%. Жду с нетерпением результатов обследования.
Валентин Львович, а каков временной интервал между снимками?
Между преставленными снимками интервал - 2 года, 4 мес.
А Спида нет? возможно и тбц+спид
ежегодная диспансеризация должна быть?
Смущет верхнее средостение, особенно на первом снимке.
Боковые проекции.
Томограммы, правда, "дрек", но какие уж есть...
Томограммы произведены сразу после боковых рентгенограмм.
"пончик" слева. Смущает и позвонок ( см. рисунок). Пусть поправят специалисты по костям и суставам.
У Вас Николас - глаз Алмаз!
С учетом того, что пациент предъявлял жалобы на боли в поясничном отделе позвоночника, то он был направлен на рентгенографию поясничного отдела. Со стороны поясничного отдела, тогда патологии выявлено не было, но глаз "зацепился за крестец.
стал присматриваться к костям.
Томограммы, тоже, конечнго "дрек", но какие есть.
моё привлекла суставная щель справа. Так ли это?
Пациент С., 1984 г.р. направлен на исследование по рекомендации областного онкологического диспансера.
Анамнез заболевания. Молодой человек, 1984 года рождения, после увольнения из армии решил поступить на работу в УВД. При прохождении комиссии в поликлинике УВД жалоб не предъявляет. Профилактическая цифровая флюорография органов грудной полости (по месту жительства) - патологических изменений не выявлено. При осмотре ЛОР - был обнаружен уплотненный подчелюстной лимфатический узел. Пациент был направлен в областной онкологический диспансер.
Выписка из диспансера. Находился под наблюдением в ГУЗ «Х» областной онкологический диспансер с 19.07.2007 года. 25.09.2007 г. установлен диагноз: заболевание подъязычной слюнной железы справа ст. 1У, кл. гр. П Т4 N2 М0.
ЦИТОЛОГИЯ. От 25.09.2007 г.: Рак вероятнее всего из слюнной железы.
ГИСТОЛОГИЯ. 21040 от 4.10.2007 г. - умеренно дифференцированная аденокарцинома.
ИГХ № 971 от 10.10.2007 г. - комплексы низкодифференцированного рака, вероятно рак железистого генеза.
Локальный статус. Правая половина языка инфильтрирована опухолью, исходящей из тканей дна полости рта, язык ограничено подвижен (в прикрепленном файле, под №№ 11 и 12 фотографии на настоящее время). На шее справа конгломерат лимфоузлов более 6 см.
С 25.09.2007 г. по 22.10.2007 г. проведен курс химиолучевой терапии, СОД = 30 Гр. На очаг и шейные лимфоузлы, ПХТ - цисплатин 100 мг., 5 FU 2250 мг.
С 15.11.2007 г. по 20.12.2007 г. второй курс химиолучевой терапии, СОД=56 Гр., ПХТ - цисплатин 100 мг., доксорубицин 80 мг., ифосфомид 8 г.
С 9.01.2008 по 25.01.2008 г. находился в лучевом отделении, где при дообследовании, при рентгенографии органов грудной полости от 10.01.2008 г. выявлено образование в правом лёгком с полостью распада до полутора см., в средостении увеличены бронхопульсональные лимфатические узлы. УЗИ печени от 10.01.2008 г. - очаговое образование в печени до 4 см. СКТ грудной полости от 21.01.2008 г. - на серии снимков полостное образование в правом лёгком ?. Консультирован фтизиатрами и торакальными хирургами.
Анализ крови от 17.01.2008 г. Нв 113 г/л, лейкоциты 3,8 Х 10 (9), СОЭ 55 мм./ч.
Бронхоскопия от 14.01.08 г. - выраженный эндобронхит, увеличение бронхопульмональных узлов. Мазок из бронхов на БК - не обнаружен. Пролиферация и деструкция цилиндрического эпителия.
Пациент направляется в РОНЦ им. Блохина, г. Москва, на консультацию для решения вопроса о дальнейшей тактике лечения. Поездка в г. Москву, в РОНЦ им. Н.Н. Блохина ничего не дала. Диагноз до сих пор «открыт» (был).
При осмотре пациент пониженного питания (с его слов и со слов матери «он всегда был худощавым»). Кожные покровы слегка желтушные. Слева по ходу грудино-ключично-сосцевидной мышцы пальпируется единичный плотноватый лимфатический узел величиной с горошину. Область, где ранее определялся на шее справа конгломерат лимфоузлов более 6 см. нет никаких изменений. На передней грудной стенке на уровне средней трети грудины определяется незначительное покраснение и припухлость мягкоэлластической консистенции.
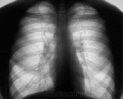
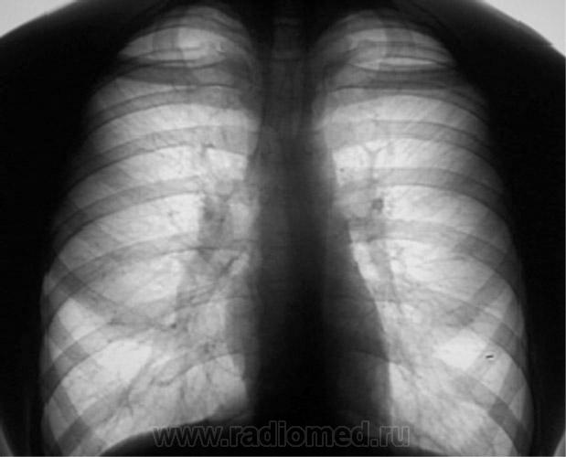
Цифровое стандартное флюорографическое профилактическое исследование (проведено на цифровом флюорографе «Ренекс - Флюоро»). На цифровых флюорограммах, произведенных в прямой, правой и левой боковых проекциях с обеих сторон определяется синдром двусторонней аденопатии. С обеих сторон определяется резкое увеличение и гомогенизация тени корней за счет резко гиперплазированных, в основном, бронхопульмональных лимфатических узлов с довольно чёткими, ровными контурами. Структура тени однородная. На фоне гиперплазированных лимфатических узлов чётко дифференцируются просветы главных бронхов.
(Рис. 1, 2, 3).
«Поднят архив». Пациент «проходил» флюорографию в 2007 году два раза - первый в январе, как «профилактическую», в июле месяце - при поступлении на работу (Рис. 4).
Рентгенологическое исследование проведено по стандартной методике (на РДК на 3 рабочих места -«Вироматик»).
1..bokovaya...jpg смущает, но 2..bokovaya...jpg успокаивает. Но главное что смущает – очень мелкие изображения. Костная структура не может быть видна.
Неоднозначно всё
Случай закончился летальным исходом, но верификации так и не было. Родственники категорически отказались от секции.