Какие мнения будут по поводу ОГК?

Пол пациента: 
Тип патологии: 
Методы исследования: 

Какие мнения будут по поводу ОГК?

  • https://radiomed.ru/sites/default/files/styles/case_slider_image/public/user/12/2.p4190002.jpg?itok=yZyZBpGh
  • https://radiomed.ru/sites/default/files/styles/case_slider_image/public/user/12/3.p4190002a.jpg?itok=J2-HuZvl
  • https://radiomed.ru/sites/default/files/styles/case_slider_image/public/user/12/4.p4190002ab.jpg?itok=MZgUGd_X
  • https://radiomed.ru/sites/default/files/styles/case_slider_image/public/user/12/5.p4190002abv.jpg?itok=JfqtGJ6_
  • https://radiomed.ru/sites/default/files/styles/case_slider_image/public/user/12/6.p4190002abvg.jpg?itok=pCWQezfG
ID:21040
Nikolas аватар
Не на сайте
Был на сайте: 1 месяц 4 недели назад
Зарегистрирован: 21.12.2010 - 20:37
Публикации: 4559

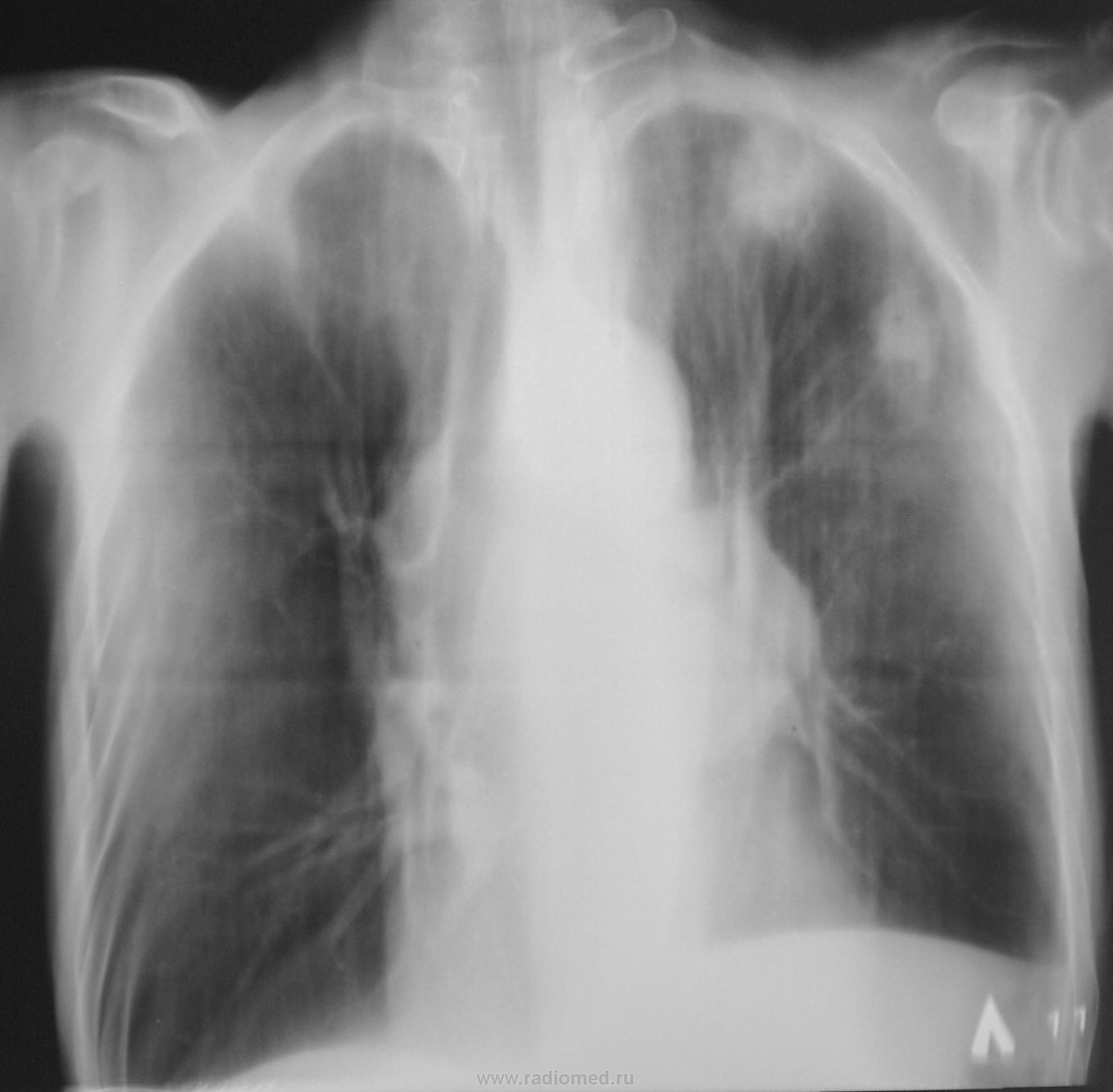
и обсеменением.

Катенёв Валентин Львович аватар
Не на сайте
Был на сайте: 7 лет 3 недели назад
Зарегистрирован: 22.03.2008 - 22:15
Публикации: 54876

Направлен был, как "клиническое излечение".

Nikolas аватар
Не на сайте
Был на сайте: 1 месяц 4 недели назад
Зарегистрирован: 21.12.2010 - 20:37
Публикации: 4559

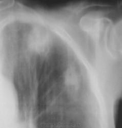
из нас прав! Здесь  палочки Коха врачам не помощники. Нужны предшествуюшие рентгенограммы.

Приложения: 
5.p4190002abv.jpg
Катенёв Валентин Львович аватар
Не на сайте
Был на сайте: 7 лет 3 недели назад
Зарегистрирован: 22.03.2008 - 22:15
Публикации: 54876

После этого исследования мокроту пообследовали..., и "балеринок" нашли...

Катенёв Валентин Львович аватар
Не на сайте
Был на сайте: 7 лет 3 недели назад
Зарегистрирован: 22.03.2008 - 22:15
Публикации: 54876

А, помеченные Вами "распадики", на экране профессионального монитора (томограммы) хорошо были видны. Я не стал выставлять все срезы, выставил только оптимальный.

Nikolas аватар
Не на сайте
Был на сайте: 1 месяц 4 недели назад
Зарегистрирован: 21.12.2010 - 20:37
Публикации: 4559

лаборантов. При ничтожных распадах найти МБТ это  - здорово. Молодцы!.

cupitur аватар
Не на сайте
Был на сайте: 11 лет 10 месяцев назад
Зарегистрирован: 19.09.2011 - 10:42
Публикации: 262

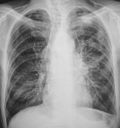
а в правом легком есть что-нить?

Dr_Olya аватар
Не на сайте
Был на сайте: 13 лет 4 дня назад
Зарегистрирован: 27.04.2012 - 19:33
Публикации: 18

Томограммка у Вас  роскошная!(само качество и исполнение снимка) 5!

Катенёв Валентин Львович аватар
Не на сайте
Был на сайте: 7 лет 3 недели назад
Зарегистрирован: 22.03.2008 - 22:15
Публикации: 54876

Лаборанты хорошие, да и аппаратура ничего для ЦРБ-ушки.