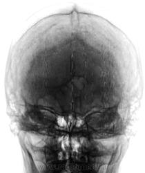
Пол пациента: Женский пол Тип патологии: Другое Область исследования: Скелетно-мышечная система Методы исследования: Rg Какие мнения будут по поводу толщины костей мозгового черепа? https://radiomed.ru/sites/default/files/styles/case_slider_image/public/user/12/2.201201010022_0.jpg?itok=FOwbpyI0 https://radiomed.ru/sites/default/files/styles/case_slider_image/public/user/12/3.201201010024_0.jpg?itok=NW_LOOMI https://radiomed.ru/sites/default/files/styles/case_slider_image/public/user/12/4.201201010026.jpg?itok=JftmY5qZ ID:34651 Чт, 09/01/2014 - 19:24 #1 maker4ik Не на сайте Был на сайте: 8 лет 7 месяцев назад Зарегистрирован: 19.10.2011 - 17:49 Публикации: 2682 Приняли форму извилины? Чт, 09/01/2014 - 20:35 #2 Dima Не на сайте Был на сайте: 7 лет 2 месяцев назад Зарегистрирован: 05.08.2012 - 17:39 Публикации: 2467 Диффузный гиперостоз? Терпимость - это когда прощают чужие ошибки; такт - когда не замечают их. (Артур Шницлер) Чт, 09/01/2014 - 20:49 #3 И.Бондаренко Не на сайте Был на сайте: 1 день 5 часов назад Зарегистрирован: 13.09.2011 - 22:55 Публикации: 9206 В практике встречал один раз. Сделал просто описательную картину. Но там были расширены диплоические каналы. Чт, 09/01/2014 - 21:17 #4 Nela Не на сайте Был на сайте: 6 лет 1 месяц назад Зарегистрирован: 12.05.2009 - 20:43 Публикации: 1847 Вы не указали возраст. Возможно возрастные изменения костей черепа. Пт, 10/01/2014 - 10:21 #5 Катенёв Валенти... Не на сайте Был на сайте: 7 лет 3 недели назад Зарегистрирован: 22.03.2008 - 22:15 Публикации: 54876 Возраст - около 60 лет Пт, 10/01/2014 - 19:31 #6 Nela Не на сайте Был на сайте: 6 лет 1 месяц назад Зарегистрирован: 12.05.2009 - 20:43 Публикации: 1847 Для старческих изменений молода еще. Вероятно дисгормональные.
Приняли форму извилины?
Диффузный гиперостоз?
Терпимость - это когда прощают чужие ошибки; такт - когда не замечают их. (Артур Шницлер)
В практике встречал один раз. Сделал просто описательную картину. Но там были расширены диплоические каналы.
Вы не указали возраст. Возможно возрастные изменения костей черепа.
Возраст - около 60 лет
Для старческих изменений молода еще. Вероятно дисгормональные.