Какие мнения будут по поводу представленных изображений?

Пол пациента: 
Тип патологии: 
Область исследования: 
Методы исследования: 

Какие мнения будут по поводу представленных изображений?

 

  • https://radiomed.ru/sites/default/files/styles/case_slider_image/public/user/12/2.vopros..jpg?itok=7UptMZ06
  • https://radiomed.ru/sites/default/files/styles/case_slider_image/public/user/12/1.v.risunok3.jpg?itok=zowkR-_p
  • https://radiomed.ru/sites/default/files/styles/case_slider_image/public/user/12/2.v.risunok4.jpg?itok=hhZjO8Gx
  • https://radiomed.ru/sites/default/files/styles/case_slider_image/public/user/12/3.v.risunok5.jpg?itok=iQ5cut6x
  • https://radiomed.ru/sites/default/files/styles/case_slider_image/public/user/12/4.v.risunok6.jpg?itok=Zx4_PsC3
  • https://radiomed.ru/sites/default/files/styles/case_slider_image/public/user/12/5.v.risunok7.jpg?itok=zy3dH323
  • https://radiomed.ru/sites/default/files/styles/case_slider_image/public/user/12/6.v.risunok8.jpg?itok=pOOmr_07
  • https://radiomed.ru/sites/default/files/styles/case_slider_image/public/user/12/7.v.risunok9.jpg?itok=nI5jEeg_
  • https://radiomed.ru/sites/default/files/styles/case_slider_image/public/user/12/8.v.risunok10.jpg?itok=cqL80EhP
  • https://radiomed.ru/sites/default/files/styles/case_slider_image/public/user/12/1.v.risunok11.jpg?itok=oS51mxDC
  • https://radiomed.ru/sites/default/files/styles/case_slider_image/public/user/12/2.v.risunok12.jpg?itok=_Zbaq5t-
  • https://radiomed.ru/sites/default/files/styles/case_slider_image/public/user/12/3.v.risunok13.jpg?itok=yntagTGw
  • https://radiomed.ru/sites/default/files/styles/case_slider_image/public/user/12/4.v.risunok14.jpg?itok=XyT3xa0E
  • https://radiomed.ru/sites/default/files/styles/case_slider_image/public/user/12/5.v.risunok15.jpg?itok=VS6d150h
  • https://radiomed.ru/sites/default/files/styles/case_slider_image/public/user/12/6.v.risunok16.jpg?itok=4sR1W1PQ
  • https://radiomed.ru/sites/default/files/styles/case_slider_image/public/user/12/7.v.risunok17.jpg?itok=HFc_Eq68
  • https://radiomed.ru/sites/default/files/styles/case_slider_image/public/user/12/8.v.risunok18.jpg?itok=YU1vksi7
  • https://radiomed.ru/sites/default/files/styles/case_slider_image/public/user/12/1.v.risunok19.jpg?itok=mvRwC1pV
  • https://radiomed.ru/sites/default/files/styles/case_slider_image/public/user/12/2..v.risunok20.jpg?itok=TKol3kYf
  • https://radiomed.ru/sites/default/files/styles/case_slider_image/public/user/12/3.v.risunok21.jpg?itok=9QIYBNKb
  • https://radiomed.ru/sites/default/files/styles/case_slider_image/public/user/12/4.v.risunok22.jpg?itok=gcXIcA-o
  • https://radiomed.ru/sites/default/files/styles/case_slider_image/public/user/12/5.v.risunok23.jpg?itok=lPQoOTxx
  • https://radiomed.ru/sites/default/files/styles/case_slider_image/public/user/12/6.v.risunok24.jpg?itok=bo0Av5RW
  • https://radiomed.ru/sites/default/files/styles/case_slider_image/public/user/12/7.v.risunok25.jpg?itok=dOj6lNsA
  • https://radiomed.ru/sites/default/files/styles/case_slider_image/public/user/12/8.v.risunok26.jpg?itok=p1sAaSL1
  • https://radiomed.ru/sites/default/files/styles/case_slider_image/public/user/12/1.v.risunok27.jpg?itok=eQ_EceZx
  • https://radiomed.ru/sites/default/files/styles/case_slider_image/public/user/12/2.v.risunok28.jpg?itok=HMMh766i
  • https://radiomed.ru/sites/default/files/styles/case_slider_image/public/user/12/3.v.risunok29.jpg?itok=pXFNGIAX
  • https://radiomed.ru/sites/default/files/styles/case_slider_image/public/user/12/4.v.risunok30.jpg?itok=Jv5UaNB8
  • https://radiomed.ru/sites/default/files/styles/case_slider_image/public/user/12/5.v.risunok31.jpg?itok=8TXqG49X
  • https://radiomed.ru/sites/default/files/styles/case_slider_image/public/user/12/6.v.risunok32.jpg?itok=f-GSLN9x
  • https://radiomed.ru/sites/default/files/styles/case_slider_image/public/user/12/7.v.risunok33.jpg?itok=8kVN6JJQ
  • https://radiomed.ru/sites/default/files/styles/case_slider_image/public/user/12/8.v.risunok34.jpg?itok=Z66KqJo2
  • https://radiomed.ru/sites/default/files/styles/case_slider_image/public/user/12/1.v.risunok35.jpg?itok=-oseoIma
  • https://radiomed.ru/sites/default/files/styles/case_slider_image/public/user/12/2.v.risunok36.jpg?itok=45zibwNY
  • https://radiomed.ru/sites/default/files/styles/case_slider_image/public/user/12/3.v.risunok37.jpg?itok=5rfg9tUo
  • https://radiomed.ru/sites/default/files/styles/case_slider_image/public/user/12/4.v.risunok38.jpg?itok=rL4Q6G8j
ID:10757
stovbav аватар
Не на сайте
Был на сайте: 2 года 2 месяцев назад
Зарегистрирован: 20.12.2009 - 17:28
Публикации: 7066

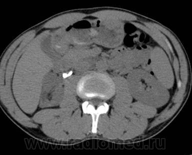
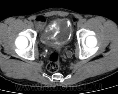
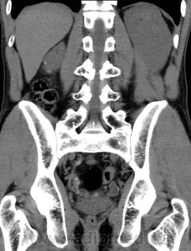
Складывается впечатление об  обызествлении стенок мочевого пузыря...но возможно ли такое? Если это не мочевой пузырь, то, возможно, это обызествленные стенки эхинококковой кисты в малом тазу....тоже весьма экзотично....

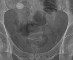
1. Уточните при каких условиях производилась обзорная урография (до КТ, после нее и. т.д.)

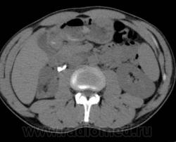
2. Уточните в каких условиях производилась КТ (было ли контрастирование, когда, какое, сколько)

В противном случае, да еще и при порционном появлении снимков мы все рискуем посидеть в "луже".

Матвей аватар
Не на сайте
Был на сайте: 14 лет 8 месяцев назад
Зарегистрирован: 27.11.2010 - 22:50
Публикации: 95

выше камня мочеточника?? Ничего не понял! А слизистая мочевого пузыря словно обмазана.... СДАЮСЬ!

Катенёв Валентин Львович аватар
Не на сайте
Был на сайте: 7 лет 3 недели назад
Зарегистрирован: 22.03.2008 - 22:15
Публикации: 54876

Человек заражается в основном тремя видами шистосом — Schistosoma mansoni, Schistosoma haematobium и Schistosoma japonicum и неко­торыми менее распространенными представителями рода Schistosoma. Взро­слые особи как S. mansoni, так и S. japonicum обитают в венулах ки­шечника, а основные проявления инвазии наблюдаются в печени. S. mansoni обнаруживаются в некоторых районах Южной Америки (Бразилия, Венесуэла, Суринам), на островах Карибского бассейна, в Африке и на Среднем Вос­токе. Случаи заражения S. japonicum отмечаются на Дальнем Востоке, боль­шей частью в Китае и на Филиппинах. Взрослые особи S. haematobium пара­зитируют в венулах мочевых путей и служат причиной поражения главным образом мочеточников и мочевого пузыря. Инвазия этих видов трематод имеет место в Африке и на Среднем Востоке. Меньшее значение имеет S. mekongi, недавно выявленная трематода, близкая к S. japonicum и обнаруживаемая на берегах Меконга в Индокитае, и S. intercalatum, распространенная в опреде­ленных зонах центра Западной Африки. По приблизительным данным, число инвазированных во всем мире может достигать 200 млн человек. Однако у большинства зараженных отмечаются лишь немногочисленные признаки (если они вообще есть), и только у незначительного меньшинства развивается выра­женная болезнь.

stovbav аватар
Не на сайте
Был на сайте: 2 года 2 месяцев назад
Зарегистрирован: 20.12.2009 - 17:28
Публикации: 7066

1. Значит был все таки прав по поводу кальцификации стенки мочевого пузыря... 2."...самки откладывают яйца, которые через сосудистую стенку продвигаются в подслизистый слой, образуя шистосоматозный слой, подвергающийся кальцификации..."

Катенёв Валентин Львович аватар
Не на сайте
Был на сайте: 7 лет 3 недели назад
Зарегистрирован: 22.03.2008 - 22:15
Публикации: 54876

А, как нозология? Не "фигли-мигли"?

Сан Саныч1 аватар
Не на сайте
Был на сайте: 11 месяцев 3 недели назад
Зарегистрирован: 07.06.2010 - 21:17
Публикации: 2114

Очень интересный случай. На паразитов никогда не подумал бы. Автору  большое спасибо за желание просветить (в смысле научить)))) нас.

Хочешь сделать что-то нормально - сделай это сам!

ЛГ аватар
Не на сайте
Был на сайте: 8 лет 11 месяцев назад
Зарегистрирован: 06.01.2010 - 12:31
Публикации: 3523

Спасибо!

Катенёв Валентин Львович аватар
Не на сайте
Был на сайте: 7 лет 3 недели назад
Зарегистрирован: 22.03.2008 - 22:15
Публикации: 54876

Сан Саныч1 wrote:

Очень интересный случай. На паразитов никогда не подумал бы. Автору  большое спасибо за желание просветить (в смысле научить)))) нас.

А, я то, как сам просветился, комп почти изнасиловал, пока искал эту "гадость", и жена начала уже визжать, что мол-де свет ей мешает...