Какое дать Rentgen-заключение?

Пол пациента: 
Тип патологии: 
Методы исследования: 

 

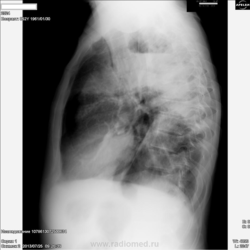
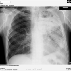
Пациент, 52 года. Поступил в т/о с диагнозом: Пневмония. Анализов еще нет. Со слов, болен три дня: кашель, слабость, небольшая лихорадка, одышка. Снимки от сегодня.

      

  • https://radiomed.ru/sites/default/files/styles/case_slider_image/public/user/18353/02.png?itok=JCw4n37Q
ID:30118
Дмитрий Волегов аватар
Не на сайте
Был на сайте: 3 года 6 месяцев назад
Зарегистрирован: 22.05.2013 - 00:32
Публикации: 1148

 

Сделаны томограммы.

 

Приложения: 
31.png32.png33.png

С Уважением, Дмитрий.

Almo аватар
Не на сайте
Был на сайте: 4 часа 55 минут назад
Зарегистрирован: 28.09.2008 - 18:50
Публикации: 8247

Предварительно картину можно расценить, как  полисегментрную абссцедирующую пневмонию, не исключается параканкрозный характер процесса.Показана бронхоскопия.

медсанчасть регион 12 аватар
Не на сайте
Был на сайте: 11 лет 1 месяц назад
Зарегистрирован: 11.06.2013 - 10:46
Публикации: 136

Деструктивная пневмония,держать в уме рак.Справа игра теней или пневмоторакс.

Dima аватар
Не на сайте
Был на сайте: 7 лет 2 месяцев назад
Зарегистрирован: 05.08.2012 - 17:39
Публикации: 2467

Я бы еще ателектаз верхней доли слева добавил...

Терпимость - это когда прощают чужие ошибки; такт - когда не замечают их. (Артур Шницлер)

Дмитрий Волегов аватар
Не на сайте
Был на сайте: 3 года 6 месяцев назад
Зарегистрирован: 22.05.2013 - 00:32
Публикации: 1148

медсанчасть регион 12 wrote:

Деструктивная пневмония,держать в уме рак .Справа игра теней или пневмоторакс.

Видимо игра теней. Снизу - ребро. Слева - трахея.

Приложения: 
03.png

С Уважением, Дмитрий.

Катенёв Валентин Львович аватар
Не на сайте
Был на сайте: 7 лет 1 неделя назад
Зарегистрирован: 22.03.2008 - 22:15
Публикации: 54876

На мой взгляд картина абсцесса

Almo аватар
Не на сайте
Был на сайте: 4 часа 55 минут назад
Зарегистрирован: 28.09.2008 - 18:50
Публикации: 8247

имхо:Ателектаз верхней доли слева, едвали есть, т.к. сосуды S10 и S5 не дислоцированы ( на месте).

Almo аватар
Не на сайте
Был на сайте: 4 часа 55 минут назад
Зарегистрирован: 28.09.2008 - 18:50
Публикации: 8247

На мой взгляд картина абсцесса

--------------------------------------------------------------------------------------------------------------------------------------------

Хорошо, если допустить, что это абсцесс, то чем по вашему отличается абсцесс от абсцедирующей пневмонии?

Дмитрий Волегов аватар
Не на сайте
Был на сайте: 3 года 6 месяцев назад
Зарегистрирован: 22.05.2013 - 00:32
Публикации: 1148

Almo wrote:

На мой взгляд картина абсцесса

--------------------------------------------------------------------------------------------------------------------------------------------

Хорошо, если допустить, что это абсцесс, то чем по вашему отличается абсцесс от абсцедирующей пневмонии?

Думаю размерами и количеством. При большом абцессе лечение хирургическое. При маленьких - консервантивное.

С Уважением, Дмитрий.

Андрей Юрьевич аватар
Не на сайте
Был на сайте: 2 дня 32 минуты назад
Зарегистрирован: 16.11.2008 - 22:16
Публикации: 18098

Как вариант: рентгенпризнаки абсцесса верхней доли левого легкого на фоне нарушения бронхиальной проходимости.

Андрей Юрьевич

медсанчасть регион 12 аватар
Не на сайте
Был на сайте: 11 лет 1 месяц назад
Зарегистрирован: 11.06.2013 - 10:46
Публикации: 136

Абсцесс-ограниченное,локальное нагноение с образованием полости в паренхиме легкого.Отграничение гнойника от окружающей лег.ткани отличает абсцесс от ...гангрены легкого.НЕ вижу стенок,есть деструкция.

Андрей Юрьевич аватар
Не на сайте
Был на сайте: 2 дня 32 минуты назад
Зарегистрирован: 16.11.2008 - 22:16
Публикации: 18098

медсанчасть регион 12 wrote:
Абсцесс-ограниченное,локальное нагноение с образованием полости в паренхиме легкого.Отграничение гнойника от окружающей лег.ткани отличает абсцесс от ...гангрены легкого.НЕ вижу стенок,есть деструкция.

Не все литературные источники согласны со столь узкой трактовкой

Абсцесс лёгкого (abscessus pulmonis)
Абсцесс, развивающийся в легочной ткани как осложнение пневмонии, реже — в результате заноса возбудителей гнойной инфекции гематогенным, лимфогенным путем или с инородным телом.
1. Малая медицинская энциклопедия. — М.: Медицинская энциклопедия. 1991—96 гг. 2. Первая медицинская помощь. — М.: Большая Российская Энциклопедия. 1994 г. 3. Энциклопедический словарь медицинских терминов. — М.: Советская энциклопедия. — 1982—1984 гг

Андрей Юрьевич

медсанчасть регион 12 аватар
Не на сайте
Был на сайте: 11 лет 1 месяц назад
Зарегистрирован: 11.06.2013 - 10:46
Публикации: 136

Андрей Юрьевич wrote:

[Не все литературные источники согласны со столь узкой трактовкой

 

Безусловно, медицина не стоит на месте. Цитата приведена из книги Ренгенодиагностика заболеваний органов дыхания.авт ЛС Розенштраух соавторами 1987

brainmodel аватар
Не на сайте
Был на сайте: 2 месяцев 1 неделя назад
Зарегистрирован: 18.03.2010 - 22:04
Публикации: 2881

Левосторонняя тотальная пневмония, осложненная абсцедированием в S1-2 в фазе дренирования (горизонтальный уровень в полости распада), с преобладанием инфильтративных изменений в S1-2 и S4-5, с ограниченным гидротораксом в главной междолевой щели и гиповентиляцией легкого. Пациен, видимо, кахексичен. Неплохо бы возбудителя высеять, да и динамика интересна. Чем лечат?

Verum plus uno esse non potest.

Сергей Кузьминов аватар
Не на сайте
Был на сайте: 1 год 1 неделя назад
Зарегистрирован: 06.10.2012 - 15:51
Публикации: 11813

Безусловно,абсцесс верхней доли слева.Есть онконастороженность,ниже абсцесса вероятны округлые тени.Туберкулёза нет.Поздравляю Вас,Дмитрий, с полученными ЛТГ.Нам,наверное,надо их не мельчить.Будем делиться дальнейшим опытом.

maker4ik аватар
Не на сайте
Был на сайте: 8 лет 6 месяцев назад
Зарегистрирован: 19.10.2011 - 17:49
Публикации: 2682

Никогда таких больших абсцессов не видела(( А это не может оказаться пневмоплевритом? Очень хочется динамику.

Сергей Кузьминов аватар
Не на сайте
Был на сайте: 1 год 1 неделя назад
Зарегистрирован: 06.10.2012 - 15:51
Публикации: 11813

Дмитрий,а зачем делали гортань?

Гриша Хата аватар
Не на сайте
Был на сайте: 10 лет 2 дня назад
Зарегистрирован: 09.02.2011 - 20:40
Публикации: 665

Ищите МБТ!

Алексей Станиславович аватар
Не на сайте
Был на сайте: 5 лет 10 месяцев назад
Зарегистрирован: 11.08.2012 - 20:33
Публикации: 1903

maker4ik wrote:

... А это не может оказаться пневмоплевритом? ...

В смысле - эмпиемой плевры? Первый раз вижу термин "пневмоплеврит"(((

С уважением, smiley

Катенёв Валентин Львович аватар
Не на сайте
Был на сайте: 7 лет 1 неделя назад
Зарегистрирован: 22.03.2008 - 22:15
Публикации: 54876

Almo wrote:

На мой взгляд картина абсцесса

--------------------------------------------------------------------------------------------------------------------------------------------

Хорошо, если допустить, что это абсцесс, то чем по вашему отличается абсцесс от абсцедирующей пневмонии?

Разные нозологии уважаемый Александр, разница и в клинике, не говоря уже о лечении и тактике лечения...

Катенёв Валентин Львович аватар
Не на сайте
Был на сайте: 7 лет 1 неделя назад
Зарегистрирован: 22.03.2008 - 22:15
Публикации: 54876

maker4ik wrote:

Никогда таких больших абсцессов не видела(( А это не может оказаться пневмоплевритом? Очень хочется динамику.

В динамике может, особенно после непрофессиональных хирургических вмешательств...

Катенёв Валентин Львович аватар
Не на сайте
Был на сайте: 7 лет 1 неделя назад
Зарегистрирован: 22.03.2008 - 22:15
Публикации: 54876

Алексей Станиславович wrote:

maker4ik wrote:

... А это не может оказаться пневмоплевритом? ...

В смысле - эмпиемой плевры? Первый раз вижу термин "пневмоплеврит"(((

Довольно часто используемый термин, есть и вариация - "ступенчатый пневмоплеврит"...

Алексей Станиславович аватар
Не на сайте
Был на сайте: 5 лет 10 месяцев назад
Зарегистрирован: 11.08.2012 - 20:33
Публикации: 1903

То есть речь о гидропнемотораксе?

С уважением, smiley

Дмитрий Волегов аватар
Не на сайте
Был на сайте: 3 года 6 месяцев назад
Зарегистрирован: 22.05.2013 - 00:32
Публикации: 1148

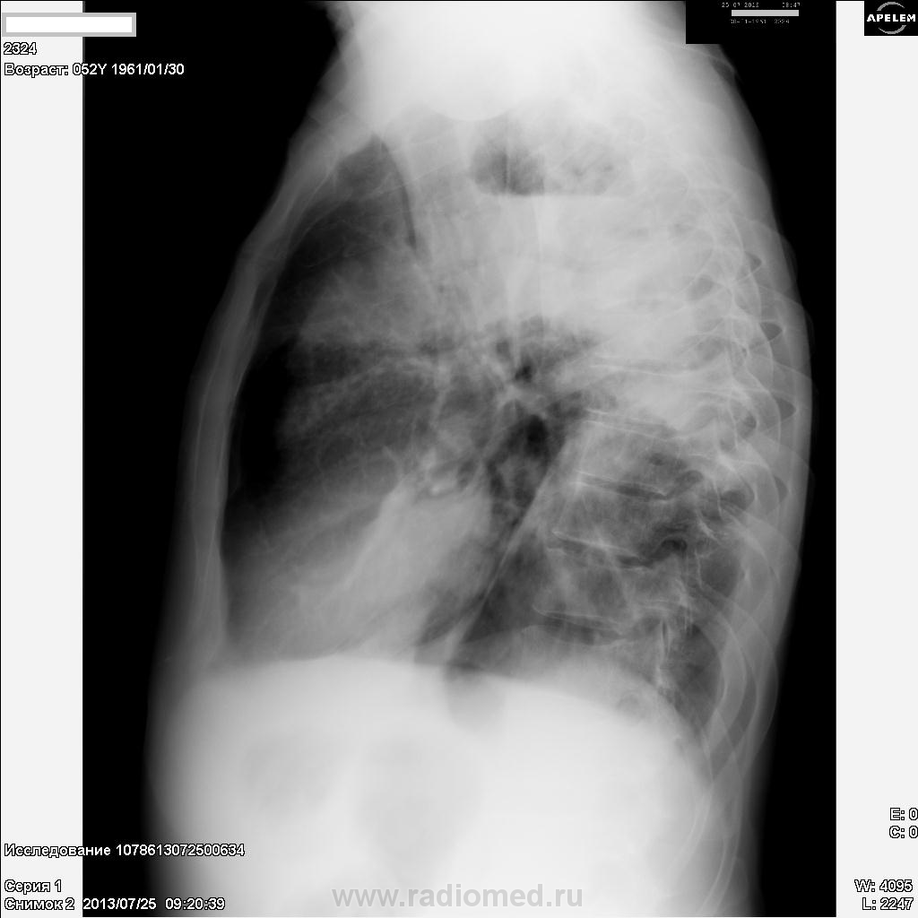
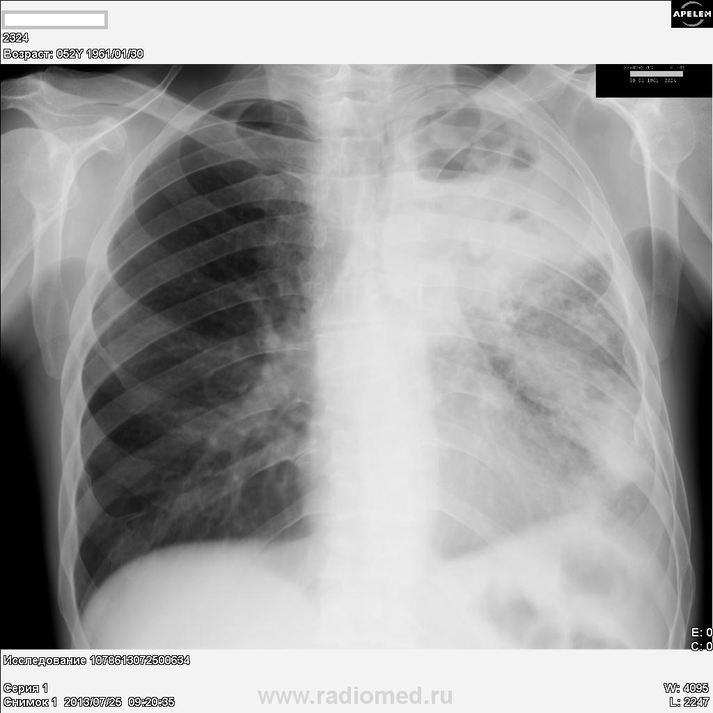
После первых снимков пациент лечился три месяца в х/о, затем в т/о ЦРБ. Выписался месяц назад. Вчера пришел на контроль. Самочуствие неплохое.

Приложения: 
cherez_45_mesyaca.jpgbok_cherez_45_mes.jpgpoz_13.jpgpozbok_13.jpg

С Уважением, Дмитрий.

Dima аватар
Не на сайте
Был на сайте: 7 лет 2 месяцев назад
Зарегистрирован: 05.08.2012 - 17:39
Публикации: 2467

Хорошая динамика

Терпимость - это когда прощают чужие ошибки; такт - когда не замечают их. (Артур Шницлер)

Сергей Кузьминов аватар
Не на сайте
Был на сайте: 1 год 1 неделя назад
Зарегистрирован: 06.10.2012 - 15:51
Публикации: 11813

Спасибо,Дмитрий.

Катенёв Валентин Львович аватар
Не на сайте
Был на сайте: 7 лет 1 неделя назад
Зарегистрирован: 22.03.2008 - 22:15
Публикации: 54876

Интересно, а мокрота исследовалась?

Дмитрий Волегов аватар
Не на сайте
Был на сайте: 3 года 6 месяцев назад
Зарегистрирован: 22.05.2013 - 00:32
Публикации: 1148

Катенёв Валентин Львович wrote:

Интересно, а мокрота исследовалась?

В выписке из стационара только четыре общих анализа мокроты за август и сентябрь. Везде ВК - нет. Диагноз из стационара: Левосторонняя деструктивная плевропневмония с формированием абсцесса верхней доли. Левосторонний плеврит. Хронический бронхит. Этаноловый гепатит.

Протокол рентгенографии ОГК от 30.07.13. : Слева в верхней доле пустая, толстостенная полость абцесса около 9,0 см в поперечнике. Сохраняется инфильтрация легочной ткани с участками распада, средостение смещено влево. Слева в плевральной полости свободнаяжидкость по край 5-го ребра. Справа без патологических теней. Закл. Деструктивная плевропневмония левого легкого. "Пустой" абсцесс верхней доли слева (вероятно дренированный в плевральную полость). Плеврит слева. 

R-гр.ОГК от 17.09.13.: слева инфильтрации нет. Гидроторакс по край 5-го ребра сохраняется. Плевральная пункция от 20.09.13 - жидкость не получена.

R-гр. ОГК от 15.10.13: полость 3х3 см, инфильтрации и жидкости нет.

Дважды консультация фтизиатра, дважды заключение: в настоящее время активный туб.процесс маловероятен.

Был консультирован областным торакальным хирургом, диагноз прежний. Рекомендованы повторные консультации торакального хирурга, фтизиатра, всё - через месяц.

С Уважением, Дмитрий.