Киста, или что другое?

Пол пациента: 
Тип патологии: 
Область исследования: 
Методы исследования: 

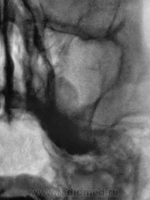
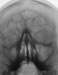
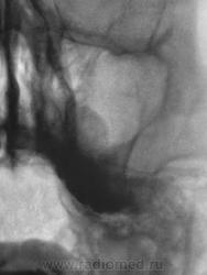
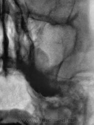
Пациент первый.

Киста, или что другое?

Пациент второй.

 

  • https://radiomed.ru/sites/default/files/styles/case_slider_image/public/user/12/2.p9170099.jpg?itok=PybqUXkp
  • https://radiomed.ru/sites/default/files/styles/case_slider_image/public/user/12/3.p9170097.jpg?itok=3lDCrlQ7
  • https://radiomed.ru/sites/default/files/styles/case_slider_image/public/user/12/4.p9170097a.jpg?itok=n8dyT5ml
  • https://radiomed.ru/sites/default/files/styles/case_slider_image/public/user/12/5.p9170098.jpg?itok=Wc2RjwI6
  • https://radiomed.ru/sites/default/files/styles/case_slider_image/public/user/12/6.p9170098a.jpg?itok=jAEtoE5q
  • https://radiomed.ru/sites/default/files/styles/case_slider_image/public/user/12/1.pc090017.jpg?itok=HanMos-J
  • https://radiomed.ru/sites/default/files/styles/case_slider_image/public/user/12/2.pc090017a.jpg?itok=UrmM-pkh
  • https://radiomed.ru/sites/default/files/styles/case_slider_image/public/user/12/3.pc090016.jpg?itok=jl6CQnK1
  • https://radiomed.ru/sites/default/files/styles/case_slider_image/public/user/12/4.pc090016a.jpg?itok=4WRBKQ5Y
ID:20060
Hronos аватар
Не на сайте
Был на сайте: 13 лет 4 месяцев назад
Зарегистрирован: 11.09.2011 - 11:16
Публикации: 4

Больше похоже на кисту. Четкий округлый контур с характерным месторасположением. Хотя может и не так все просто)

 

наденька76 аватар
Не на сайте
Был на сайте: 6 лет 11 месяцев назад
Зарегистрирован: 08.12.2011 - 22:22
Публикации: 36

да,  похоже на кисту, но справа снижена пневматизация верхнечел.пазухи за счет умеренного отека, я бы кисту слева под вопросом написала и направила на контроль

Almo аватар
Не на сайте
Был на сайте: 1 день 6 часов назад
Зарегистрирован: 28.09.2008 - 18:50
Публикации: 8254

Hronos писал:  "Больше похоже на кисту. Четкий округлый контур с характерным месторасположением. Хотя может и не так все просто)"

---------------------------------------------------------------------------------------------------------------------------------------------------------------------------------+1: как вариант,  можно предположить, что киста одонтогенного происхождения.

И.Бондаренко аватар
Не на сайте
Был на сайте: 4 дня 2 часа назад
Зарегистрирован: 13.09.2011 - 22:55
Публикации: 9206

Наши ЛОРики ещё просят боковую проекцию сделать.

Almo аватар
Не на сайте
Был на сайте: 1 день 6 часов назад
Зарегистрирован: 28.09.2008 - 18:50
Публикации: 8254

А, с какой целью?

adrenalin47 аватар
Не на сайте
Был на сайте: 13 лет 7 месяцев назад
Зарегистрирован: 08.02.2012 - 21:11
Публикации: 18

Второй случай. уровень слева,субтотальное затенение справа.киста правой половины лобной.....