«Классика жанра» или контроль после флюорографии № 1.

Пол пациента: 
Тип патологии: 
Методы исследования: 

Произведено стандартное дообследование.

Ваше мнение уважаемые коллеги?

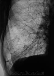
Рентгенограмма.

Томограммы.


 

  • https://radiomed.ru/sites/default/files/styles/case_slider_image/public/user/12/1.p8270038.jpg?itok=jj3TiCUl
  • https://radiomed.ru/sites/default/files/styles/case_slider_image/public/user/12/2.p8270039.jpg?itok=wznvhzZN
  • https://radiomed.ru/sites/default/files/styles/case_slider_image/public/user/12/3.p8270039a.jpg?itok=Lwgm4h1N
  • https://radiomed.ru/sites/default/files/styles/case_slider_image/public/user/12/4.p8270039-1.jpg?itok=LbcS3qLY
  • https://radiomed.ru/sites/default/files/styles/case_slider_image/public/user/12/5.p8270039-1a.jpg?itok=OJHAiaqM
  • https://radiomed.ru/sites/default/files/styles/case_slider_image/public/user/12/6.p8270040.jpg?itok=vE1BP886
  • https://radiomed.ru/sites/default/files/styles/case_slider_image/public/user/12/7.p8270040a.jpg?itok=SNnxtpm3
  • https://radiomed.ru/sites/default/files/styles/case_slider_image/public/user/12/8.p8270040-1.jpg?itok=CDJ9aAGz
  • https://radiomed.ru/sites/default/files/styles/case_slider_image/public/user/12/9.p8270040-1a.jpg?itok=2GE6ewn6
  • https://radiomed.ru/sites/default/files/styles/case_slider_image/public/user/12/10.p8270041.jpg?itok=IfF-kPD8
  • https://radiomed.ru/sites/default/files/styles/case_slider_image/public/user/12/11.p8270041a.jpg?itok=NIwXcFSE
  • https://radiomed.ru/sites/default/files/styles/case_slider_image/public/user/12/12.p8270042.jpg?itok=qvWkZCDK
  • https://radiomed.ru/sites/default/files/styles/case_slider_image/public/user/12/13.p8270042a.jpg?itok=3PxvU6WZ
  • https://radiomed.ru/sites/default/files/styles/case_slider_image/public/user/12/1.p8270043.jpg?itok=2lTfHrNX
  • https://radiomed.ru/sites/default/files/styles/case_slider_image/public/user/12/2.p8270043a.jpg?itok=mLoeX6iH
  • https://radiomed.ru/sites/default/files/styles/case_slider_image/public/user/12/3.p8270044.jpg?itok=JBo3_og7
  • https://radiomed.ru/sites/default/files/styles/case_slider_image/public/user/12/4.p8270044a.jpg?itok=aH8ijT7M
  • https://radiomed.ru/sites/default/files/styles/case_slider_image/public/user/12/5.p8270045.jpg?itok=9lidnAav
ID:6029
Андрей Юрьевич аватар
Не на сайте
Был на сайте: 2 дня 7 часов назад
Зарегистрирован: 16.11.2008 - 22:16
Публикации: 18098

Диффузный пневмосклероз/пневмофиброз.

Андрей Юрьевич

Almo аватар
Не на сайте
Был на сайте: 11 часов 27 минут назад
Зарегистрирован: 28.09.2008 - 18:50
Публикации: 8247

Поддерживаю пост. Вероятно, это хроник.

stovbav аватар
Не на сайте
Был на сайте: 2 года 2 месяцев назад
Зарегистрирован: 20.12.2009 - 17:28
Публикации: 7066

Диффузный процесс - однозначно; как то мелькнула мысль о фиброзирующем альвеолите....хотя и не факт.

Андрей Юрьевич аватар
Не на сайте
Был на сайте: 2 дня 7 часов назад
Зарегистрирован: 16.11.2008 - 22:16
Публикации: 18098

stovbav wrote:

... как то мелькнула мысль о фиброзирующем альвеолите....хотя и не факт.

Насколько я в курсе, диф.диагностика различных видов IIP и по КТ затруднительна, а уж по рутинным рентгенограммам.....

Андрей Юрьевич

stovbav аватар
Не на сайте
Был на сайте: 2 года 2 месяцев назад
Зарегистрирован: 20.12.2009 - 17:28
Публикации: 7066

Андрей Юрьевич wrote:

Насколько я в курсе, диф.диагностика различных видов IIP и по КТ затруднительна, а уж по рутинным рентгенограммам.....

Так Подмигиваюпотому и не факт...

koriatus аватар
Не на сайте
Был на сайте: 2 года 12 месяцев назад
Зарегистрирован: 14.06.2010 - 01:49
Публикации: 452

Диффузное интерстициальный процесс в обоих легких. Но меня чтото смущает кольцевидная тень в верхнем отделе слева (под ключицей). Может полостюха какая... Было бы хорошо выполнить кт, ну и конечно анамнез и клиника. IIP может быть - но надо для постановки этого диагноза исключитт все неидиопатическое - может у человека какое системное заболевание соед. Ткани или еще чего. В нашмх условиях ему бы написвли наверное диф.пневмосклероз, выставили бы хобл или ифа и лечили бы вероятнее всего гормонами сильно не заморачиваясь...

lupan аватар
Не на сайте
Был на сайте: 6 лет 10 месяцев назад
Зарегистрирован: 07.01.2010 - 17:17
Публикации: 1406

По рентгенограммам пневмофиброз, а причину фиброзирующего процессапо снимкам ... Саркоидиз, альвеолит и далее по списку...

Великое преймущество врача заключается в том, что он не обязан следовать собственным советам. ( А. Кристи)

Андрей Юрьевич аватар
Не на сайте
Был на сайте: 2 дня 7 часов назад
Зарегистрирован: 16.11.2008 - 22:16
Публикации: 18098

lupan wrote:

По рентгенограммам пневмофиброз, а причину фиброзирующего процессапо снимкам ...

"Вот и именно"Улыбаюсь(с). Согласен на все 100!

Андрей Юрьевич

Helios аватар
Не на сайте
Был на сайте: 7 месяцев 2 недели назад
Зарегистрирован: 06.08.2010 - 15:16
Публикации: 4417

"Сотовый" рисунок во всех отделах легочных полей.Спаечный процесс.Верхние доли тоже в свое время пострадали от туберкулеза. Похоже, жизнь была бурная-выкурено немало, может, вредное производство или системное заболевание.Уважаемые коллеги, пожалуйста, аказывайте возраст, а также анамнез, хотя бы основное.Спасибо.

Катенёв Валентин Львович аватар
Не на сайте
Был на сайте: 7 лет 1 неделя назад
Зарегистрирован: 22.03.2008 - 22:15
Публикации: 54876

72 года. Профанамнез отсутствует.

Николай аватар
Не на сайте
Был на сайте: 2 года 9 месяцев назад
Зарегистрирован: 29.05.2009 - 04:38
Публикации: 554

картина характерна для саркоидоза. На фоне выраженного пневмофиброза очаги, легочный риснок сотовый.