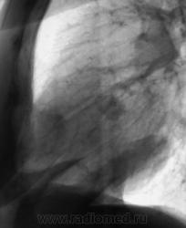
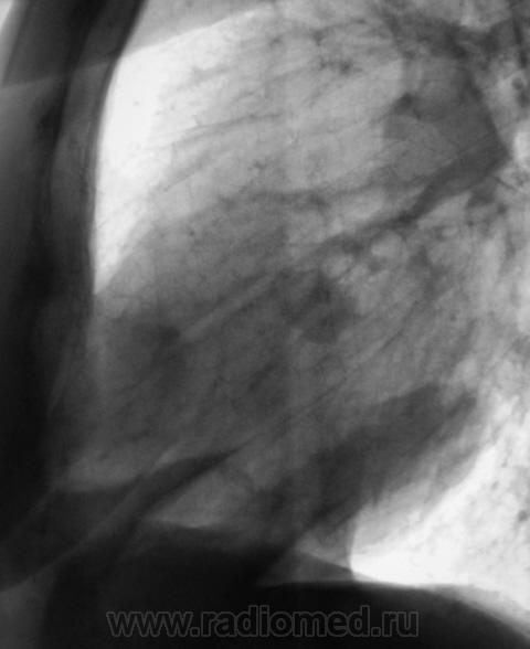
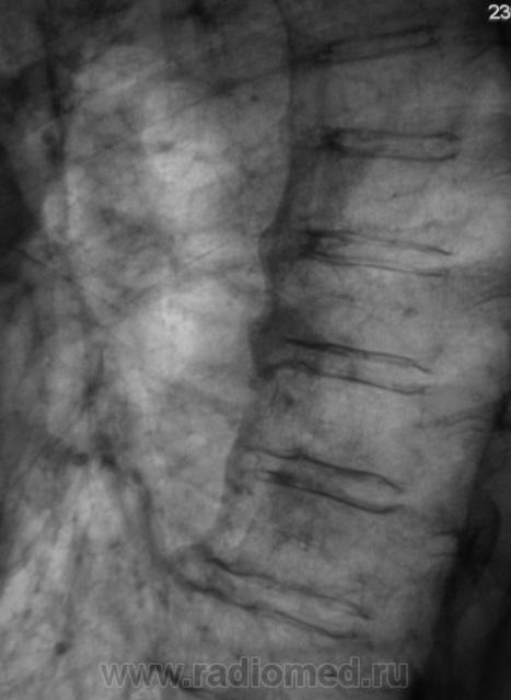
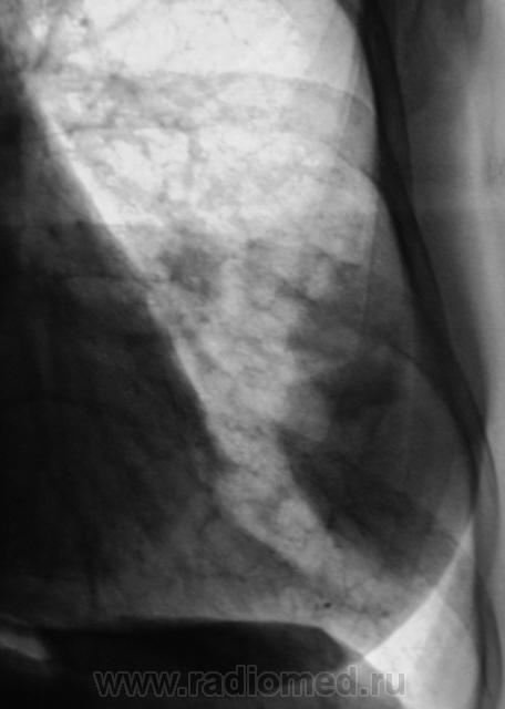
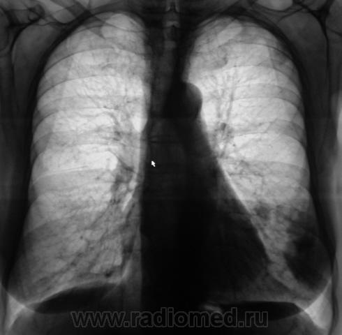
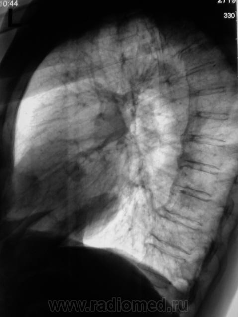
Контроль после флюорографии. Стандартное дообследование.

Пол пациента: 
Тип патологии: 
Методы исследования: 

Контроль после флюорографии. Стандартное дообследование.

Ваше мнение уважаемые коллеги?

 

  • https://radiomed.ru/sites/default/files/styles/case_slider_image/public/user/12/1002.KPF_.JPG?itok=NIBI5k3j
  • https://radiomed.ru/sites/default/files/styles/case_slider_image/public/user/12/1003.KPF_.JPG?itok=MZX2wksn
  • https://radiomed.ru/sites/default/files/styles/case_slider_image/public/user/12/1004.KPF_.JPG?itok=mow6wIwG
  • https://radiomed.ru/sites/default/files/styles/case_slider_image/public/user/12/1005.KPF_.JPG?itok=bHpk9kHP
  • https://radiomed.ru/sites/default/files/styles/case_slider_image/public/user/12/1006.KPF_.JPG?itok=dECuqWHe
  • https://radiomed.ru/sites/default/files/styles/case_slider_image/public/user/12/1007._KPF.JPG?itok=1zH_kzES
  • https://radiomed.ru/sites/default/files/styles/case_slider_image/public/user/12/1008.KPF_.JPG?itok=vjpkxlPA
ID:1130
Ольга Дмитриевна аватар
Не на сайте
Был на сайте: 15 лет 9 месяцев назад
Зарегистрирован: 13.01.2010 - 16:55
Публикации: 168

Mts? Но откуда? Что в анамнезе?

Красота - гормон карьерного роста!