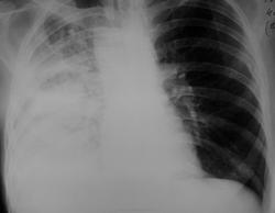
Уважаемые коллеги, хотелось бы услышать ваши мнения по поводу: 1) справа в верхней доле - полости деструкции или кисты (особенно та что выше)? 2) что могло произойти с нижней долей справа в динамике? - по ФБС только анемизация слизистых. 3) Итого, какая динамика -?
Коллеги, смею предположить, что динамика по пневмонии положительная, другой момент (открыл Розенштрауха) релаксация куполов и смещение средостения может встречаться на фоне буллёзной деструкции лёгких, причём буллы должны быть приличных размеров хорошо бы глянуть ФГ архив(только если приличного качества).
Коллеги, смею предположить, что динамика по пневмонии положительная, другой момент (открыл Розенштрауха) релаксация куполов и смещение средостения может встречаться на фоне буллёзной деструкции лёгких, причём буллы должны быть приличных размеров хорошо бы глянуть ФГ архив(только если приличного качества).
Архива нет (пациентка не очень социально благополучнвая), в анамнезе со стороны легких ничего нет
Коллеги, смею предположить, что динамика по пневмонии положительная, другой момент (открыл Розенштрауха) релаксация куполов и смещение средостения может встречаться на фоне буллёзной деструкции лёгких, причём буллы должны быть приличных размеров хорошо бы глянуть ФГ архив(только если приличного качества).
Архива нет (пациентка не очень социально благополучнвая), в анамнезе со стороны легких ничего нет
И какой может быть ателектаз, если на бронхоскопии бронхи прослеживаются?
Но на боковой контрольной рентгенограмме отмечается объёмное уменьшение нижней доли с компенсаторным вздутием верхней и средней, смещений кзади полости распада.. Разве это не признаки ателектаза?! А на бронхоскопии могли не осмотреть или просмотреть проблемный бронх.
Это особая пневмония. Пневмония алкаголика. Течение 3-4 месяца. За прошедшие три недели выраженной динамики ожидать не приходится. Абцсессы обретают некоторое свойство "летучести". Вся положительная или отрицательная динамика сводится всего лишь к степени накопления и перемещения выпота в плевральных полостях. Соответственно будут разнонаправленные смещения отдельных участков легочной ткани (или того, что от неё осталось). О динамике процесса можно судить лишь по состояние какого-то конкретного абсцесса (обычно бывает один - превалирующий).
.... А вот рентгенограмма, на которой явный ателектаз. имеется.
На рентгенограмме вы видите не ателектаз (вы не аналогопатам), на рентгенограмме вы видите р-признаки ателектаза, которые не подтвердились на фиброскопии.
"Р-признаки....", советую использовать это сочетание.
.... А вот рентгенограмма, на которой явный ателектаз. имеется.
На рентгенограмме вы видите не ателектаз (вы не аналогопатам), на рентгенограмме вы видите р-признаки ателектаза, которые не подтвердились на фиброскопии.
"Р-признаки....", советую использовать это сочетание.
Здравствуйте, коллеги! Эндоскопист, мягко говоря,....Ну не хочу обижать, конечно. Валентин Львович у нас по этому вопросу-спец. Но все равно скажу-при ТАКОЙ картине в легком, + отхождении мокроты и ВСЕГО ЛИШЬ анемизация(?????) слизистой бронхов????? Это чё тако? Не верю! И насчет ателектаза тоже мог ошибиться при таком раскладе. Насчет ателектаза, Андрей Юрьевич, понятно же , что R-признаки. Уж NIL-то знает. Просто уж говорит напрямую, так же как о пневмоние говорим( здесь на сайте имею ввиду, а не в заключении). Все все поняли. В данном случае может быть и сочетание туберкулеза в в/д и неспец. пневмонии в н/д. Фиброз-то уж давно есть, а самая крупная полость распада-уже деформирована, не исключено, что она не однокамерная. Так-то.
...хотелось бы услышать ваши мнения по поводу: 1) справа в верхней доле - полости деструкции или кисты (особенно та что выше)?
На мой взгляд, полости. Киста - врожденное состояние.
Doc84 wrote:
2) что могло произойти с нижней долей справа в динамике? - по ФБС только анемизация слизистых.
Фиброз.
1) Позволю не согласится. Потому что и киста, и булла (и не одна) могла там приключиться. Архива ведь нет. А патология ни в пользу, ни против врождённого состояния, уверен, не аргумент.)
2) В динамике за неделю не уверен, что фиброз возможен. Вероятно он был. Был инфильтрацией прикрыт, а теперь лучше проявился для видящих. Хотя и ателектаз не отрицаю. КТ бы разрешить сомнения помогла. Если доступна для пациента она.
"Лишь утратив всё до конца, мы обретаем свободу." F.C.
...хотелось бы услышать ваши мнения по поводу: 1) справа в верхней доле - полости деструкции или кисты (особенно та что выше)?
На мой взгляд, полости. Киста - врожденное состояние.
Doc84 wrote:
2) что могло произойти с нижней долей справа в динамике? - по ФБС только анемизация слизистых.
Фиброз.
1) Позволю не согласится. Потому что и киста, и булла (и не одна) могла там приключиться. Архива ведь нет. А патология ни в пользу, ни против врождённого состояния, уверен, не аргумент.)
2) В динамике за неделю не уверен, что фиброз возможен. Вероятно он был. Был инфильтрацией прикрыт, а теперь лучше проявился для видящих. Хотя и ателектаз не отрицаю. КТ бы разрешить сомнения помогла. Если доступна для пациента она.
1.Коллега Nobody своими комментариями напомнила(или напомнил) мне уважаемого мной коллегу с этого сайта.
2. Если Кт нет, остаётся ждать следующего контроля. Он расставит все точки над i.
Пневмония с абсцедированием, динамика положительная, формирование фибриноторакса. Кажется ли мне что слева за 6 ребром инфильтрация появилась ? Смотрю с нетбука (
Коллеги, смею предположить, что динамика по пневмонии положительная, другой момент (открыл Розенштрауха) релаксация куполов и смещение средостения может встречаться на фоне буллёзной деструкции лёгких, причём буллы должны быть приличных размеров хорошо бы глянуть ФГ архив(только если приличного качества).
Архива нет (пациентка не очень социально благополучнвая), в анамнезе со стороны легких ничего нет
Всем спасибо за мнения. К сожалению, это случай "архивный", дальнейшую судьбу пациентки не знаю. Я написал ателектаз нижней доли и соответственно заслал на ФБС, эндоскописты грубой патологии не увидели (в компетентности их не сомневаюсь), через день было выполнено КТ, я видел только протокол, снимки, к сожалению не могу предоставить, там оказалась справа пневмония, фиброзные изменения и полостные образования - были расценены опытным коллегой больше как кисты. Единственное что могу предположить, что эндоскописты что-то там в бронхах "расшевелили" и потом легкое, которое было в гиповентиляции расправилось. Извиняюсь, если осталась некоторая недосказанность
Да, жаль, что ушла рыба-кит в глубины морские. Очень бы на КТ-исследование хотелось бы взглянуть, хоть фотки. Но на нет -и суда нет. В любом случае- спасибо за интересный случай! Но точки над "I" еще не поставлены.
не укладываются в существующие схемы и представления ателектаза нижней доли правого легкого. Мне не очень понятна картина изменений и механизм её развития. У кого из колег есть мнения по этому? Напишите, объясните.
Это особая пневмония. Пневмония алкаголика. Течение 3-4 месяца. За прошедшие три недели выраженной динамики ожидать не приходится. Абцсессы обретают некоторое свойство "летучести". Вся положительная или отрицательная динамика сводится всего лишь к степени накопления и перемещения выпота в плевральных полостях. Соответственно будут разнонаправленные смещения отдельных участков легочной ткани (или того, что от неё осталось). О динамике процесса можно судить лишь по состояние какого-то конкретного абсцесса (обычно бывает один - превалирующий).
Возможно я всё это придумал, но это моё мнение.
Согласен, хотя немного мудрено сказано. А картина и течение очень смахивают на аспирационную пневмонию.
Великое преймущество врача заключается в том, что он не обязан следовать собственным советам. ( А. Кристи)
Еще сложнее пациенты - рядовые! Клинико-рентгенологически их вылечил, через три дня снова поступают... Вот и лечишь их в стационаре месяц, и потом еще 15 дней реабилитация в лазарете МП!
что больная страдает алкоголизмом? Отмечу, что особенности течения пневмоний у алкоголиков давно описал Лаэннек (Laennec) Рене Теофиль Гиацинт (1791- 1826 г).
Это предположение. Предположу также и тот факт, что более половины сторадающих данной патологией не имеют и не будут иметь официального диагноза. Для чего нужны такие антинаучные преположения? Возможно для того, чтобы немного расширить направленность и адекватность лечения.
Это предположение. Предположу также и тот факт, что более половины сторадающих данной патологией не имеют и не будут иметь официального диагноза. Для чего нужны такие антинаучные преположения? Возможно для того, чтобы немного расширить направленность и адекватность лечения.
Это предположение. Предположу также и тот факт, что более половины сторадающих данной патологией не имеют и не будут иметь официального диагноза. Для чего нужны такие антинаучные преположения? Возможно для того, чтобы немного расширить направленность и адекватность лечения.
"Безумству храбрых поём мы песню!"
Нил, асоциальные пациенты- клиенты особые, и у них скиология такие "выкрутасы" делает.
Я не о том...Заметила, что коллеги очень не любят всяких фантазий. А что пациентка - любитель крепких напитков авторм сказано не было. Или я что-то упустила? Представила, какие громы и молнии сейчас могут обрушиться на беспечного Дмитрия. Решила добавить немного позитива, облегчить его незавидную участь.
Андрей Юрьевич, но ведь ателектаз - не вечен. На снимке - признаки его есть.. А потом проходимость бронха восстановилась (могла ведь быть обтурация слизистой пробкой) . Доля расправилась... и мы теперь в дураках
Андрей Юрьевич, но ведь ателектаз - не вечен. На снимке - признаки его есть.. А потом проходимость бронха восстановилась (могла ведь быть обтурация слизистой пробкой) . Доля расправилась... и мы теперь в дураках
Очень жаль, что случай не закончен, и каждый остается при своем мнении. Но истина- то одна...Ее-то и не узнаем.
"Русским людям нужна Правда, и они ищут её, прежде всего в жизни" — Франсуа де Ларошфуко.)
Nikolas wrote:
"Р-признаки" не укладываются в существующие схемы и представления ателектаза нижней доли правого легкого. Мне не очень понятна картина изменений и механизм её развития. У кого из колег есть мнения по этому? Напишите, объясните.
Автор случая представил заключение КТ. Я вполне согласен. Логично всё. А Вы - нет?..
Doc84 wrote:
...через день было выполнено КТ, я видел только протокол, снимки, к сожалению не могу предоставить, там оказалась справа пневмония, фиброзные изменения и полостные образования - были расценены опытным коллегой больше как кисты...
Андрей Юрьевич wrote:
Т.е. КТ-шники тоже ателектаз пропустили? С кем проходится работать.... Совсем беда.
Так ведь не пропустили, наоборот, исключили.
Nikolas wrote:
Откуда взяли, что больная страдает алкоголизмом? Отмечу, что особенности течения пневмоний у алкоголиков давно описал Лаэннек (Laennec) Рене Теофиль Гиацинт (1791- 1826 г).
Коллега, можно поподробнее, если читали, какие особенности пневмоний у алкологиков исследователь и учёный тогда описал? Я не нашёл, хотя очень искал.(
"Лишь утратив всё до конца, мы обретаем свободу." F.C.
Динамика через неделю. Клинически стало лучше
Уважаемые коллеги, хотелось бы услышать ваши мнения по поводу: 1) справа в верхней доле - полости деструкции или кисты (особенно та что выше)? 2) что могло произойти с нижней долей справа в динамике? - по ФБС только анемизация слизистых. 3) Итого, какая динамика -?
Коллеги, смею предположить, что динамика по пневмонии положительная, другой момент (открыл Розенштрауха) релаксация куполов и смещение средостения может встречаться на фоне буллёзной деструкции лёгких, причём буллы должны быть приличных размеров хорошо бы глянуть ФГ архив(только если приличного качества).
Архива нет (пациентка не очень социально благополучнвая), в анамнезе со стороны легких ничего нет
На мой взгляд, полости. Киста - врожденное состояние.
Фиброз.
Положительная.
Андрей Юрьевич
похожую картину наблюдаю после деструктивных пневмоний, там как раз и полости распада и фиброз в последующем.
Нижнедолевая пневмония. Абсцедирование в верхней доле. В динамике - осложнение - ателектаз нижней доли.
"Слушай всех, прислушивайся к немногим, решай сам".©
Т.е. ///абсцедирование верхней доли//// - это не пневмония?
И какой может быть ателектаз, если на бронхоскопии бронхи прослеживаются?
Андрей Юрьевич
"Слушай всех, прислушивайся к немногим, решай сам".©
//....или просмотреть проблемный бронх.// - проблемный бронх - это какой? нижнедолевой?
Андрей Юрьевич
Это особая пневмония. Пневмония алкаголика. Течение 3-4 месяца. За прошедшие три недели выраженной динамики ожидать не приходится. Абцсессы обретают некоторое свойство "летучести". Вся положительная или отрицательная динамика сводится всего лишь к степени накопления и перемещения выпота в плевральных полостях. Соответственно будут разнонаправленные смещения отдельных участков легочной ткани (или того, что от неё осталось). О динамике процесса можно судить лишь по состояние какого-то конкретного абсцесса (обычно бывает один - превалирующий).
Возможно я всё это придумал, но это моё мнение.
С Уважением, Дмитрий.
"Слушай всех, прислушивайся к немногим, решай сам".©
Понятно. И его-то и просмотрел эндоскпист. No comments.
Андрей Юрьевич
Андрей Юрьевич, что видел эндоскопист, мы не знаем и не узнаем никогда. А вот рентгенограмма, на которой явный ателектаз. имеется.
"Слушай всех, прислушивайся к немногим, решай сам".©
На рентгенограмме вы видите не ателектаз (вы не аналогопатам), на рентгенограмме вы видите р-признаки ателектаза, которые не подтвердились на фиброскопии.
"Р-признаки....", советую использовать это сочетание.
Андрей Юрьевич
"Слушай всех, прислушивайся к немногим, решай сам".©
Здравствуйте, коллеги! Эндоскопист, мягко говоря,....Ну не хочу обижать, конечно. Валентин Львович у нас по этому вопросу-спец. Но все равно скажу-при ТАКОЙ картине в легком, + отхождении мокроты и ВСЕГО ЛИШЬ анемизация(?????) слизистой бронхов????? Это чё тако? Не верю! И насчет ателектаза тоже мог ошибиться при таком раскладе. Насчет ателектаза, Андрей Юрьевич, понятно же , что R-признаки. Уж NIL-то знает. Просто уж говорит напрямую, так же как о пневмоние говорим( здесь на сайте имею ввиду, а не в заключении). Все все поняли. В данном случае может быть и сочетание туберкулеза в в/д и неспец. пневмонии в н/д. Фиброз-то уж давно есть, а самая крупная полость распада-уже деформирована, не исключено, что она не однокамерная. Так-то.
1) Позволю не согласится. Потому что и киста, и булла (и не одна) могла там приключиться. Архива ведь нет. А патология ни в пользу, ни против врождённого состояния, уверен, не аргумент.)
2) В динамике за неделю не уверен, что фиброз возможен. Вероятно он был. Был инфильтрацией прикрыт, а теперь лучше проявился для видящих. Хотя и ателектаз не отрицаю. КТ бы разрешить сомнения помогла. Если доступна для пациента она.
"Лишь утратив всё до конца, мы обретаем свободу." F.C.
1.Коллега Nobody своими комментариями напомнила(или напомнил) мне уважаемого мной коллегу с этого сайта.
2. Если Кт нет, остаётся ждать следующего контроля. Он расставит все точки над i.
Пневмония с абсцедированием, динамика положительная, формирование фибриноторакса. Кажется ли мне что слева за 6 ребром инфильтрация появилась ? Смотрю с нетбука (
Не нам судить…
Вроде бы нет
Всем спасибо за мнения. К сожалению, это случай "архивный", дальнейшую судьбу пациентки не знаю. Я написал ателектаз нижней доли и соответственно заслал на ФБС, эндоскописты грубой патологии не увидели (в компетентности их не сомневаюсь), через день было выполнено КТ, я видел только протокол, снимки, к сожалению не могу предоставить, там оказалась справа пневмония, фиброзные изменения и полостные образования - были расценены опытным коллегой больше как кисты. Единственное что могу предположить, что эндоскописты что-то там в бронхах "расшевелили" и потом легкое, которое было в гиповентиляции расправилось. Извиняюсь, если осталась некоторая недосказанность
Да, жаль, что ушла рыба-кит в глубины морские. Очень бы на КТ-исследование хотелось бы взглянуть, хоть фотки. Но на нет -и суда нет. В любом случае- спасибо за интересный случай! Но точки над "I" еще не поставлены.
не укладываются в существующие схемы и представления ателектаза нижней доли правого легкого. Мне не очень понятна картина изменений и механизм её развития. У кого из колег есть мнения по этому? Напишите, объясните.
Т.е. КТ-шники тоже ателектаз пропустили? С кем проходится работать.... Совсем беда.
Андрей Юрьевич
Согласен, хотя немного мудрено сказано. А картина и течение очень смахивают на аспирационную пневмонию.
Великое преймущество врача заключается в том, что он не обязан следовать собственным советам. ( А. Кристи)
Нужно внести в классификации и учебники алкопневмонию))
Алкоголики-сложные пациенты.У них всё не так.
Еще сложнее пациенты - рядовые! Клинико-рентгенологически их вылечил, через три дня снова поступают... Вот и лечишь их в стационаре месяц, и потом еще 15 дней реабилитация в лазарете МП!
что больная страдает алкоголизмом? Отмечу, что особенности течения пневмоний у алкоголиков давно описал Лаэннек (Laennec) Рене Теофиль Гиацинт (1791- 1826 г).
Это предположение. Предположу также и тот факт, что более половины сторадающих данной патологией не имеют и не будут иметь официального диагноза. Для чего нужны такие антинаучные преположения? Возможно для того, чтобы немного расширить направленность и адекватность лечения.
С Уважением, Дмитрий.
"Слушай всех, прислушивайся к немногим, решай сам".©
Я не о том...Заметила, что коллеги очень не любят всяких фантазий. А что пациентка - любитель крепких напитков авторм сказано не было. Или я что-то упустила? Представила, какие громы и молнии сейчас могут обрушиться на беспечного Дмитрия. Решила добавить немного позитива, облегчить его незавидную участь.
"Слушай всех, прислушивайся к немногим, решай сам".©
Нет, не упустили. А именно то и имел в виду, что ни автором ни пациенткой ничего не сказано. Разве что "не очень социально благополучная".
По поводу фантазий нас может рассудить только время и динамика. Во всяком случае за ателектаз нет единых мнений.
С Уважением, Дмитрий.
Что мешает в таких, довольно сложных в диагностическом отношении случаях, сделать боковую линеечку?
Обычно отправляем сразу на КТ, так как есть возможность.
У кого нет мнений? Больная дообследована дважды: бронхоскопия и КТ, ателектаза не найдено.
Андрей Юрьевич
Андрей Юрьевич, но ведь ателектаз - не вечен. На снимке - признаки его есть.. А потом проходимость бронха восстановилась (могла ведь быть обтурация слизистой пробкой) . Доля расправилась... и мы теперь в дураках
"Слушай всех, прислушивайся к немногим, решай сам".©
Очень жаль, что случай не закончен, и каждый остается при своем мнении. Но истина- то одна...Ее-то и не узнаем.
"Русским людям нужна Правда, и они ищут её, прежде всего в жизни" — Франсуа де Ларошфуко.)
Автор случая представил заключение КТ. Я вполне согласен. Логично всё. А Вы - нет?..
Так ведь не пропустили, наоборот, исключили.
Коллега, можно поподробнее, если читали, какие особенности пневмоний у алкологиков исследователь и учёный тогда описал? Я не нашёл, хотя очень искал.(
"Лишь утратив всё до конца, мы обретаем свободу." F.C.
Это ирония такая. См. выше
Андрей Юрьевич
Однако! Понял.)) Скобок улыбки не увидал, вот всерьёз фразу и прочитал.) Бывает, не обессудьте. Смайлик бы помог всем понять смысл серьёзной шутки.)
"Лишь утратив всё до конца, мы обретаем свободу." F.C.