Пол пациента: Мужской пол Тип патологии: Другое Область исследования: Мочеполовая система Методы исследования: Rg Клиника почечной колики. Пациент направлен на рентгенологическое исследование почек и мочевыводящих путей https://radiomed.ru/sites/default/files/styles/case_slider_image/public/user/12/2.p2020032a.jpg?itok=AhsBTxm8 https://radiomed.ru/sites/default/files/styles/case_slider_image/public/user/12/3.p2020032ab.jpg?itok=MOkRUSm9 ID:18631 Чт, 02/02/2012 - 18:44 #1 Глазков Игорь А... Не на сайте Был на сайте: 9 месяцев 2 недели назад Зарегистрирован: 19.12.2008 - 20:41 Публикации: 1597 левой почки на уровне 11 12 рёбер определяются тени конкрементов размером до 5-7мм с неровными контурами. Видимо камни в левой почке в её ЧЛС. Прийди к Себе Чт, 02/02/2012 - 19:06 #2 Катенёв Валенти... Не на сайте Был на сайте: 7 лет 3 недели назад Зарегистрирован: 22.03.2008 - 22:15 Публикации: 54876 После введения контраста.Приложения: Чт, 02/02/2012 - 20:56 #3 Регион05Наира Не на сайте Был на сайте: 13 лет 9 месяцев назад Зарегистрирован: 26.11.2011 - 14:43 Публикации: 59 Спасибо за исследование! Снимки отличные!А в левой лоханке-каменюка рентгеннегативная застряла (в виде дефекта наполнения)? Пт, 03/02/2012 - 17:14 #4 Gemo Не на сайте Был на сайте: 7 лет 4 месяцев назад Зарегистрирован: 28.11.2011 - 12:13 Публикации: 4 Naira, скорее, парапельвикальная киста. Пнд, 06/02/2012 - 00:48 #5 Катенёв Валенти... Не на сайте Был на сайте: 7 лет 3 недели назад Зарегистрирован: 22.03.2008 - 22:15 Публикации: 54876 Регион05Наира wrote: Спасибо за исследование! Снимки отличные!А в левой лоханке-каменюка рентгеннегативная застряла (в виде дефекта наполнения)? То лаборанты у меня хорошие.
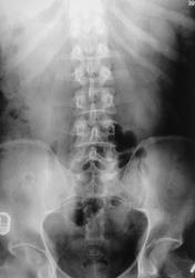
левой почки на уровне 11 12 рёбер определяются тени конкрементов размером до 5-7мм с неровными контурами. Видимо камни в левой почке в её ЧЛС.
Прийди к Себе
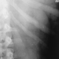
После введения контраста.
Спасибо за исследование! Снимки отличные!А в левой лоханке-каменюка рентгеннегативная застряла (в виде дефекта наполнения)?
Naira, скорее, парапельвикальная киста.
То лаборанты у меня хорошие.