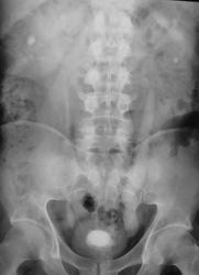
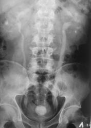
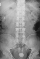
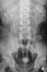
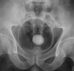
Пациент направлен на обзорную рентгенографию области почек и мочевыводящих путей.

Пол пациента: 
Тип патологии: 
Область исследования: 
Методы исследования: 

 

Пациент направлен на обзорную рентгенографию области почек и мочевыводящих путей.

  • https://radiomed.ru/sites/default/files/styles/case_slider_image/public/user/12/1.pc120006.jpg?itok=TZm1jzGm
  • https://radiomed.ru/sites/default/files/styles/case_slider_image/public/user/12/2.pc120006a.jpg?itok=wWa0bgp6
  • https://radiomed.ru/sites/default/files/styles/case_slider_image/public/user/12/3.pc120007.jpg?itok=sEQLCYwn
  • https://radiomed.ru/sites/default/files/styles/case_slider_image/public/user/12/4.pc120008.jpg?itok=Wjl8eDCX
  • https://radiomed.ru/sites/default/files/styles/case_slider_image/public/user/12/5.pc120011.jpg?itok=52E15Czj
  • https://radiomed.ru/sites/default/files/styles/case_slider_image/public/user/12/6.pc120011a.jpg?itok=uBKnucNH
ID:17421
Наталия Васильевна аватар
Не на сайте
Был на сайте: 5 лет 9 месяцев назад
Зарегистрирован: 25.09.2011 - 09:02
Публикации: 754

Множественные конкременты МПС: слева в проекции нижней группы, справа скорее всего в средней группе и, конечно, в мочевом пузыре

Катенёв Валентин Львович аватар
Не на сайте
Был на сайте: 7 лет 3 недели назад
Зарегистрирован: 22.03.2008 - 22:15
Публикации: 54876

Самое интересное то, что два дня тому пациенту было сделано УЗИ и было выставлено "объёмное образование мочевого пузыря" (опухоль), а перед этим, что и послужио поводом УЗИ, пациент хорошо "крованул".

Наталия Васильевна аватар
Не на сайте
Был на сайте: 5 лет 9 месяцев назад
Зарегистрирован: 25.09.2011 - 09:02
Публикации: 754

Кровить могут и камни, точнее то, что они раздражают. При такой картине явлений всякого рода хронического воспаления-выше крыши, а при УЗИ скорее всего не отдифференцировали стенку пузыря и прилипший камень, но... Иногда на выделительных урограммах прекрасно видные краевые дефекты стенок за счет маленьких стелющихся опухолей, эти кровят будь здоров. Хотя, честно, на этом обзоре стенки четкие, ровные.

Катенёв Валентин Львович аватар
Не на сайте
Был на сайте: 7 лет 3 недели назад
Зарегистрирован: 22.03.2008 - 22:15
Публикации: 54876

Мы, с учетом всего, что насторожило решили начать исследование с пневмоцистографии.

Наталия Васильевна аватар
Не на сайте
Был на сайте: 5 лет 9 месяцев назад
Зарегистрирован: 25.09.2011 - 09:02
Публикации: 754

Простите, я думаю с точки зрения нашего обеспечения. А обычная цистоскопия? глазом-то оно виднее и взять материал на биопсию можно.

Катенёв Валентин Львович аватар
Не на сайте
Был на сайте: 7 лет 3 недели назад
Зарегистрирован: 22.03.2008 - 22:15
Публикации: 54876

Наталия Васильевна wrote:

Простите, я думаю с точки зрения нашего обеспечения. А обычная цистоскопия? глазом-то оно виднее и взять материал на биопсию можно.

Наши "спецы" до такого не опустятся, привыкли, чтобы "параклиники" на тарелочке с той каёмочкой все доставили...

И.Бондаренко аватар
Не на сайте
Был на сайте: 1 день 10 часов назад
Зарегистрирован: 13.09.2011 - 22:55
Публикации: 9206

А с чем связано расширение левого мочеточника. Не думаю, что на УЗИ не заметитли камень. Он даёт такую эхотень, при его размерах, что спутать с образованием нельзя. Да и при смене положения должен перемещаться.

Катенёв Валентин Львович аватар
Не на сайте
Был на сайте: 7 лет 3 недели назад
Зарегистрирован: 22.03.2008 - 22:15
Публикации: 54876

Фрагменты с увеличением.

Приложения: 
1.pc120009.jpg2.pc120009a.jpg3.pc120010.jpg4.pc120010a.jpg5.pc120011g.jpg6.pc120011ga.jpg7.pc120011gab.jpg
Наталия Васильевна аватар
Не на сайте
Был на сайте: 5 лет 9 месяцев назад
Зарегистрирован: 25.09.2011 - 09:02
Публикации: 754

Камень камнем, как объяснить этот мышинный хвостик внизу, а не обрубленная тень мочеточника? Приобретенный стеноз? выраженная стриктура? врожденная аномалия-мегауретер? или все таки стелещееся по стенке и устье образование? Хотя на пневмограммах стенка вполне приличная.

Катенёв Валентин Львович аватар
Не на сайте
Был на сайте: 7 лет 3 недели назад
Зарегистрирован: 22.03.2008 - 22:15
Публикации: 54876

И, что писать в протоколе?

Наталия Васильевна аватар
Не на сайте
Был на сайте: 5 лет 9 месяцев назад
Зарегистрирован: 25.09.2011 - 09:02
Публикации: 754

А то и писать-расширение левого мочеточника на протяжении диаметром до... юкставезикулярный отдел резко сужен, что не позволяет исключить... И посоветовать вашим "клиницистам" цистоскопию. Говоря о "блюдечке", а нам это тоже знакомо, тарелочка может разбиться-решение о ведении данного пациента вне зависимости от мнения рентгенолога остается за урологом, а если он будет рассказывать о том, как больной закровил и требовать решение-это не профессионал!  Лучевые методы исследования ВСЕГДА по приказам проводились после не лучевых инструментальных. Понятно, что рентгенологические исследования, как правило, безболезненные, а то что пациент при этом получил почти треть, а то и больше годовой дозы? Как заполнить ему радиационный паспорт и объяснить ему и "товарищам" через дорогу (там, пардон, у нас прокуратура, чтобы далеко не ходить), что уролог ручками и глазиком не поработал, а сразу шарахнули без защиты по полной программе. Извините за несколько грубый тон, но, поверьте, тоже достало! 

Катенёв Валентин Львович аватар
Не на сайте
Был на сайте: 7 лет 3 недели назад
Зарегистрирован: 22.03.2008 - 22:15
Публикации: 54876

Спасибо за ответ коллега!

Но, у нас уролога тоже нет и цистоскопию делать некому.