Похожий случай выставлялся три дня назад. Правда там был молодой мужчина, слесарь. Возможно и женщина в молодости как то была связана с работой в цехе. http://www.radiomed.ru/forum/tochno-ne-tbc
Похожий случай выставлялся три дня назад. Правда там был молодой мужчина, слесарь. Возможно и женщина в молодости как то была связана с работой в цехе. http://www.radiomed.ru/forum/tochno-ne-tbc
И что решили? РРЫЫЫ +!!! И никаких умом извращений. (Глисты порадовали!)
В данном случае - ДА! есть ОЧАГИ! в плащевых зонах - это 100пудово патология. Вопрос : влияет ли ЭТо на жизнь пациента? Не фиброз ли очаговый? (или в шахте 3-4 очага заработал?) Если уж выставили снимки - не затруднитесь и АРХИВ выставить ( или он первый раз в жизни снимок сделал?), тогда и всем счастье будет.Динамику!
Подскажите пожалуйста! Как поступать в таких случаях если нет архива и получить предыдущие рентгенограммы не возможно. и клиники тоже нет.
Просто описать то, что видите. Диагноз - не Ваше рентгенологическое дело... Помните: "рентгенологическое заключение диагнозом НЕ ЯВЛЯЕТСЯ, диагноз определяется лечащим врачом на основании совокупности рентгенологических и клинико-лабораторных данных".
Это мне лучшие представительницы сайта подсказали, я лишь чуть перефразировал
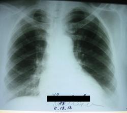
качество не очень, но может будут мнения ) Заранее спасибо
Не сосуды... Бока в принципе нет, или нет здесь?))
С уважением,
мой коллега описал, я спросила, сказал сосуды, но я не согласна, притащила на сайт
.
С уважением,
да, еще вот 2 точно
а что это м.б?
Похожий случай выставлялся три дня назад. Правда там был молодой мужчина, слесарь. Возможно и женщина в молодости как то была связана с работой в цехе. http://www.radiomed.ru/forum/tochno-ne-tbc
С Уважением, Дмитрий.
Как по мне сосуды.
"Обучая других - учишься сам". Н.И.Пирогов
И что решили? РРЫЫЫ +!!! И никаких умом извращений. (Глисты порадовали!)
В данном случае - ДА! есть ОЧАГИ! в плащевых зонах - это 100пудово патология. Вопрос : влияет ли ЭТо на жизнь пациента? Не фиброз ли очаговый? (или в шахте 3-4 очага заработал?) Если уж выставили снимки - не затруднитесь и АРХИВ выставить ( или он первый раз в жизни снимок сделал?), тогда и всем счастье будет.Динамику!
НЕ АБСОЛЮТИЗИРУЙТЕ СНИМКИ , коллега!
Подскажите пожалуйста! Как поступать в таких случаях если нет архива и получить предыдущие рентгенограммы не возможно. и клиники тоже нет.
Просто описать то, что видите. Диагноз - не Ваше рентгенологическое дело... Помните: "рентгенологическое заключение диагнозом НЕ ЯВЛЯЕТСЯ, диагноз определяется лечащим врачом на основании совокупности рентгенологических и клинико-лабораторных данных".
Это мне лучшие представительницы сайта подсказали, я лишь чуть перефразировал
Диагноз последует после дообследования пациента... на КТ. У нас так бывает. А у Вас?)
--------------
"Просто, по видимости, не видеть логики в очевидных вещах - это тоже одно из свойств некоторых умов, наряду с грустными думами о свойствах ума других." © Vega 08/10/2011
посмотрела флюшку, но только полгода назад, да есть очаги, смотрятся как плотные