пациент мужчина, 1955 гр.
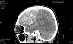
сделали КТ г/м с контрастным усилением для верификации диагноза. закл. кт-картина длительно существующего сосудистого образования в правой лобно-теменной области (АВМ) (не исключается и объемный процесс), осложненного кровоизлиянием, с выраженным сдавлением боковых и III желудочков и латеральной дислокацией до 14 мм. Эпи-, субдуральная гематома в правой лобно-теменной области. Отек головного мозга. Такое ощущение что там нет АВМ!!!!!!!!!!!!
ссылка для скачивания некоторых jpg http://hdd.tomsk.ru/desk/pdbeomix
Другие клин. данные:
03.03.2014 г. в экстренном порядке поступил в ЦРБ. с диагнозом: ОНМК, субарахноидально-паринхематозное кровоизлияние. Левосторонний гемипарез. Отек головного мозга. Кома I-II степени. Впервые выявленный сахарный диабет, тяж.течение.
со слов знакомых нашли в бессознательном состоянии. при поступлении заторможен, сонлив, была многократная рвота. по анализам в пределах нормы, сахар - 10,8 после повысилось до 17,6. на утро уровень сахара крови - 7,2.
при поступлении уровень сознания - сопор. зрачки умеренно равномерные. фотореакция сохранена. движения в конечностях сохранены.
06.03.2014 г. появилась анизокория справа, левосторонний гемипарез.
06.03.2014 г. - установленна трахеостома.
При поступлении в ОКБ 07.03.2014 г. уровень сознания - кома I-II ст. зрачки D>S. фотореакция вялая. корнеальные и роговичные рефлексы вызываются.
гемодинамика стабильна, АД 130/80 мм.рт.ст., дыхание самостоятельное через трахеостомическую трубку.
предложили декомпрессивную трепанацию черепа в правой лобно-теменной области ( или гемикранэктомию ) с удалением патологического объема и пластикой ТМО.
Нет уж, коллега, давайте дайкомы. И найдите для файлообмена какой-нибудь другой сайт. Как-то страшновато:
Ни при каких обстоятельствах администрация сайта не несёт ответственность:
Андрей Юрьевич
Окно в jpeg неудачное. Нечто с кровоизлиянием, согласна. Остальное - после dicom.
"Предоставляя весь смысл и совершенство в распоряжение одного только Бога, вы избавляете себя от бездны хлопот." Джон Уитборн.
Файлообменник нормальный самый. т.к. в основном используется в Томске и не захламлен из вне. Если вы не знаете hdd.tomsk.ru - извините но это не значит что он опасный. Тогда подскажите какой не опасный я же не знаю кто какому сайту доверяет???
Dicom формат попробую "вытащить" но пока я это буду делать и просить, боюсь уже не актально будет...
Как хотите. Только я не понял, кто у кого помощи просит?
Андрей Юрьевич
Нейрохирурги посмотрели сказали, что КТ картина точно подходит под АВМ с характерным распространение кровоизлияния. И тактически не стоит делать декомпрессионную трепанацию - велик риск массивного кровотечения. Была бы опухоль..., тогда можно трепанацию и т.д.
Главное проблема траспортировать больного к нейрохирургу который может АВМ оперировать или наоборот.
Похоже, Вам просто поговорить хочется, извините за резкость. Без дайкомов серьезного разговора не получиться.
Нам было важно узнать сколько АВМ этот или объем - т.к. от этого тактика зависит. Dicom запросил, жду ответа. Делал бы я КТ в своей больнице проблемы бы не было. Пока больше мнений за АВМ и придеживаемся тактики - трепанация и сразу удаление АВМ.
Ну не хочу пироги алана мама. И не согласен с регистрацией на х.то знает каком сайте...
А чтоб АВМ эстренно оперировать! Только в Склифе и видел, лет тому 7-8 назад. Ну, если не страшно, то вперед. А декомпрессию - кто ж против! Всегда за! И наблюдение-лечение.
Только по Вашим высказываниям, снимков не видел.
Не хочу вас обидеть, но что за отрывочные предложения... Вы можете до конца мысли выражать в письме... Наверное лень набирать текст???!!!
Нет не лень!, увы... это явная энцефалопатия + аграфия. Если серьезно - Вы, уважаемый коллега меня поняли. Я ж не учебник, чтоб все подробно расписать. Лечите консервативно, а если есть квалификация, то не спрашивайте, а делайте. Вот и все отрывочные мысли. Почти до конца получилось.ИМХО.
А при входе, на Вами предложенный сайт, где снимки лежат, мне сразу предложили пироги и зарегиться... Ну не захотелось как-то...
Треба дайкомы. На АВМ очень похоже. Пропуск сосудистой мальформации грозит сюрпризом для хирургов в качестве массивного кровотечения. Вот задумайтесь над этим.
"Обучая других - учишься сам". Н.И.Пирогов
я не знаю как вы заходили, но ваши страхи напрасны были.
вот так открывается сайт hdd нет рекламы и никто не просит зарегистрироваться! см фото
По Вашей ссылке открывается:
Как?Зачем?Текущий столГлавная
А тут алана-мама!
Условия использования сайтаОбщие положения
Настоящие Правила могут быть изменены нами в любой момент в одностороннем порядке и без предварительного уведомления пользователей. Все изменения вступают в силу с момента их опубликования на сайте.
Все услуги сайта распространяются только на физических лиц.
Ограничение ответственности
Вы понимаете и соглашаетесь с тем, что все услуги на сайте предоставляются «как есть», без гарантий.
Ни при каких обстоятельствах администрация сайта не несёт ответственность:
Обязанности и ответственность пользователя
Вы понимаете и соглашаетесь с тем, что ваши материалы и информация, разрешенные вами к просмотру для других пользователей сайта, будут доступны к просмотру и использованию для этих пользователей.
Вы соглашаетесь с тем, что именно вы отвечаете за содержание материалов, которые вы загружаете или каким-либо другим способом делаете доступными на сайте.
Загружая или иным способом размещая на сайте какие-либо материалы, вы подтверждаете свое право (авторское, имущественное и проч.) на эти материалы.
Вы соглашаетесь не размещать на сайте никаким способом материалы:
Вы соглашаетесь с тем, что именно вы несёте всю полноту ответственности в случае нарушения вами Российского и международного законодательства, в частности закона РФ «Об авторском праве и смежных правах» и закона РФ «О правовой охране программ для электронных вычислительных машин и баз данных».
Права администрации сайта
Администрация сайта оставляет за собой право удалять любые материалы, размещённые на сайте, без уведомления пользователей сайта, разместивших эти материалы, с целью обеспечения функционирования сайта.
Администрация сайта оставляет за собой право удалять любые материалы, размещённые на сайте, в случае получения требования об удалении материалов от правообладателей размещённых материалов либо их законных представителей.
Администрация сайта оставляет за собой право информировать органы МВД РФ и предоставлять этим органам всю имеющуюся у нас информацию о пользователях сайта в случае нарушения этими пользователями Российского и международного законодательства.
Я ознакомлен с условиями использования сайта и согласен с ними
Принять условия
Размещение рекламыУсловия использования сайта ООО «Аксис медиа» 2008 г.
Не хочу принимать! Вы приняли Вам и открывается.