Врожденная мальформация головного мозга

Пол пациента: 
Тип патологии: 
Область исследования: 
Методы исследования: 

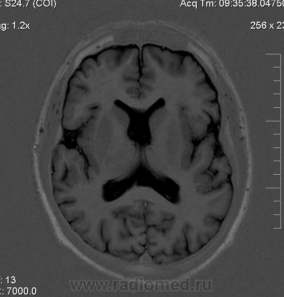
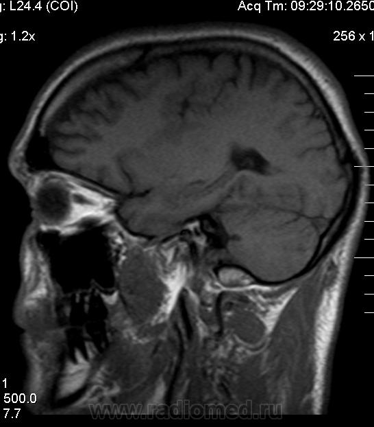
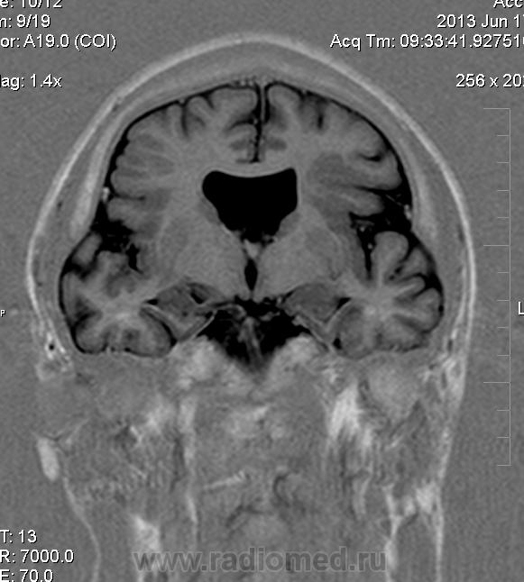
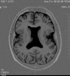
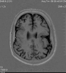
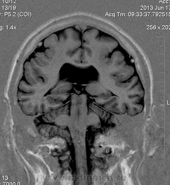
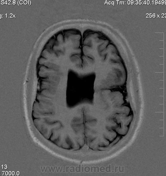
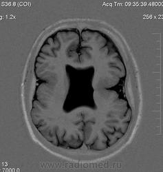
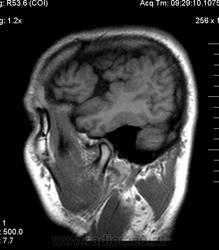
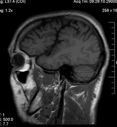
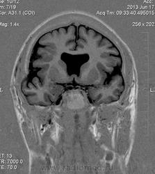
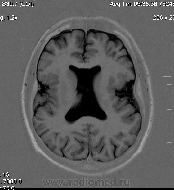
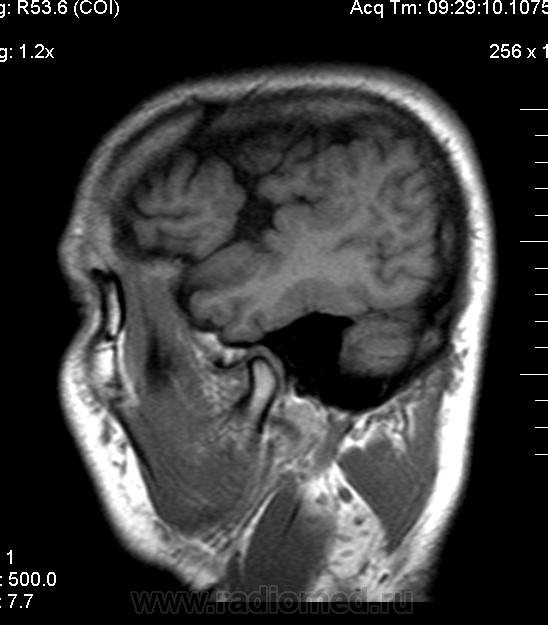
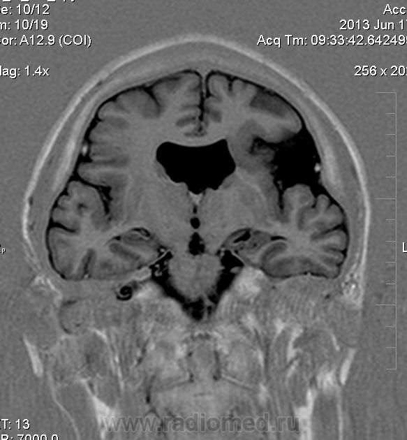
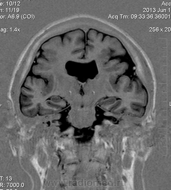
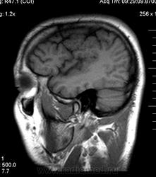
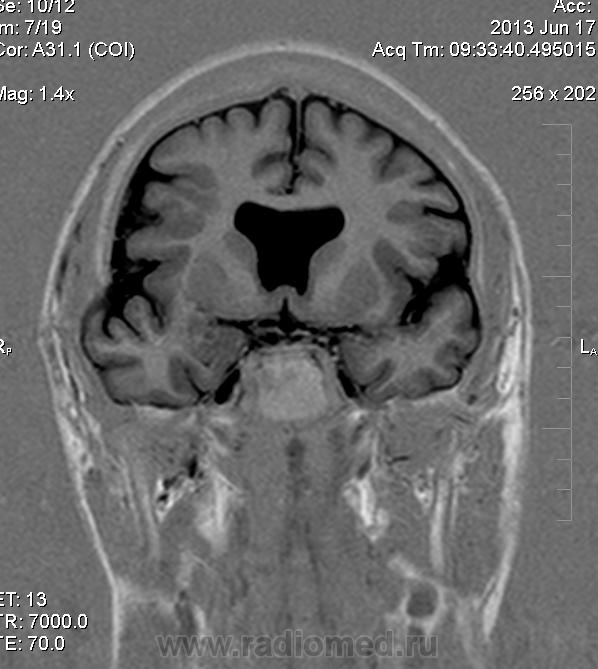
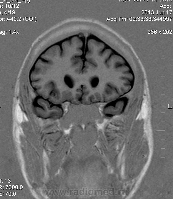
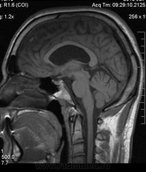
Мужчина 32 лет. Из анамнеза: перинатальное повреждение ЦНС, ДЦП, дизартрия, правосторонний верхний монопарез. С 16 лет приступы эпилепсии.

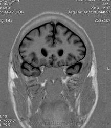
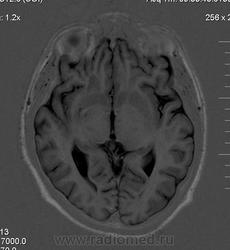
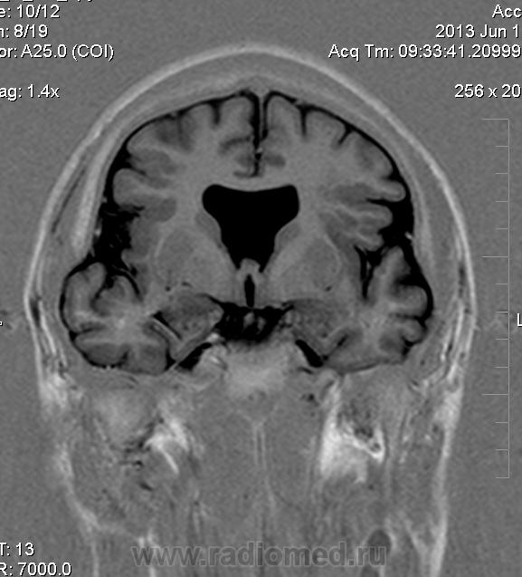
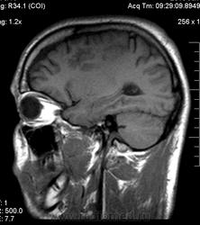
Аплазия прозрачной перегородки. Шизэнцефалия с открытыми краями в лобно-теменной области слева. Шизэнцефалия с закрытыми краями в лобной области справа? Утолщение коры по контуру расщелин и в области глазничной извилины правой лобной доли. Микрогирия? Гиперостоз костей свода черепа. Уважаемые коллеги, возможно я ошибаюсь, или есть еще аномалия?

  • https://radiomed.ru/sites/default/files/styles/case_slider_image/public/user/17109/1.jpeg?itok=qJN7YeBw
  • https://radiomed.ru/sites/default/files/styles/case_slider_image/public/user/17109/2.jpeg?itok=4cO5l6Yl
  • https://radiomed.ru/sites/default/files/styles/case_slider_image/public/user/17109/3.jpeg?itok=TDEkMmbz
  • https://radiomed.ru/sites/default/files/styles/case_slider_image/public/user/17109/4.jpeg?itok=tEhg_ikr
  • https://radiomed.ru/sites/default/files/styles/case_slider_image/public/user/17109/5.jpeg?itok=Vw2WJRvR
  • https://radiomed.ru/sites/default/files/styles/case_slider_image/public/user/17109/6.jpeg?itok=M1hgG3EC
  • https://radiomed.ru/sites/default/files/styles/case_slider_image/public/user/17109/7.jpeg?itok=ZUkQJnfe
  • https://radiomed.ru/sites/default/files/styles/case_slider_image/public/user/17109/8.jpeg?itok=8Hn9oiJ-
  • https://radiomed.ru/sites/default/files/styles/case_slider_image/public/user/17109/9.jpeg?itok=EQ6rgs6O
  • https://radiomed.ru/sites/default/files/styles/case_slider_image/public/user/17109/10.jpeg?itok=pEhzYFST
  • https://radiomed.ru/sites/default/files/styles/case_slider_image/public/user/17109/11.jpeg?itok=Xwf4dYqH
  • https://radiomed.ru/sites/default/files/styles/case_slider_image/public/user/17109/12.jpeg?itok=Kz-S8bl6
  • https://radiomed.ru/sites/default/files/styles/case_slider_image/public/user/17109/14.jpeg?itok=ZRi2_-vr
  • https://radiomed.ru/sites/default/files/styles/case_slider_image/public/user/17109/15.jpeg?itok=xyVGTtYo
  • https://radiomed.ru/sites/default/files/styles/case_slider_image/public/user/17109/16.jpeg?itok=X3xekKHh
  • https://radiomed.ru/sites/default/files/styles/case_slider_image/public/user/17109/17.jpeg?itok=IdBa1rYO
  • https://radiomed.ru/sites/default/files/styles/case_slider_image/public/user/17109/18.jpeg?itok=ce3kjJds
  • https://radiomed.ru/sites/default/files/styles/case_slider_image/public/user/17109/19.jpeg?itok=BD67mVOM
  • https://radiomed.ru/sites/default/files/styles/case_slider_image/public/user/17109/20.jpeg?itok=qgAlyE51
  • https://radiomed.ru/sites/default/files/styles/case_slider_image/public/user/17109/21.jpeg?itok=kLA2aQpo
  • https://radiomed.ru/sites/default/files/styles/case_slider_image/public/user/17109/22.jpeg?itok=-7kLmNOr
  • https://radiomed.ru/sites/default/files/styles/case_slider_image/public/user/17109/23.jpeg?itok=1aPJAfer
  • https://radiomed.ru/sites/default/files/styles/case_slider_image/public/user/17109/24.jpeg?itok=vOCEai15
ID:29437
Helios аватар
Не на сайте
Был на сайте: 7 месяцев 2 недели назад
Зарегистрирован: 06.08.2010 - 15:16
Публикации: 4417

Может, не микрогирия, а лиссэнцефалия?

irena аватар
Не на сайте
Был на сайте: 9 лет 7 месяцев назад
Зарегистрирован: 28.09.2009 - 13:00
Публикации: 289

сочетания отсутствия прозрачной перегородки и дисплазии ( разно степени выраженности) зрительных неровов  указывает на септоптическую дисплазию-нарушение развития в области средней линии , сопровождается мнггими другими структурными аномалиями, чаще шизэнцефалией. 

iSSy аватар
Не на сайте
Был на сайте: 2 года 8 месяцев назад
Зарегистрирован: 05.10.2012 - 12:45
Публикации: 77

Спасибо. Как тогда лучше сформулировать заключение? МР-картина кортикальной дисплазии : двусторнняя шизэнцефалия с утолщением коры по контуру расщелин, микрогирия в лобной области справа, очаг гетеротопии серого вещества в области  глазничной извилины правой лобной доли. Признаки септооптической дисплазии (гипоплазия зрительных нервов, аплазия прозрачной перегородки). Лиссэнцефалии не вижу. Есть сомнения по поводу шизэнцефалии справа (может быть я запуталась в микрогирии и мерещится шизэнцефалия?) Нет ли какой либо анамалии развития черепа?

ДмитрийД аватар
Не на сайте
Был на сайте: 5 месяцев 2 недели назад
Зарегистрирован: 07.10.2011 - 16:38
Публикации: 768

На мой взгляд, полимикрогирия двусторонняя (конвекситальные отделы дорзальных отделов лобных долей и частично теменных, а также в базальном отделе полюса правой лобной доли) + закрытая шизенцефалия левой лобно-теменной области. Аплазия прозрачной перегородки (как признаки лобарной голопрозенцефалии).

С уважением, Д.