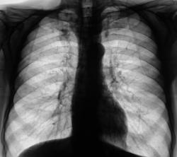
Контроль после флюорографии. Пациент давно снят с учета "у фтизиатра".

Пол пациента: 
Тип патологии: 
Методы исследования: 

Пациент взят на "контроль" при расшифровке цифровых флюорограмм. Известно, что стоял на учете у фтизиатра. С учета снят 6 лет тому. Произведено стандартное рентгенологическое дообследование.

21.t..JPG
21.t..JPG
22.t..JPG
22.t..JPG

 

 

 

 

 

 

 

 

 

 

 

 

23.t..JPG
23.t..JPG
24.T..JPG
24.T..JPG

 

 

 

 

 

 

 

 

 

 

 

 

25.T..JPG
25.T..JPG
26.T..jpg
26.T..jpg
27.t..JPG
27.t..JPG

 

 

 

 

 

 

 

 

 

 

 

 

28.t..JPG
28.t..JPG
29.t..jpg
29.t..jpg

 

 

 

 

 

 

 

 

 

 

 

 

Ваше мнение уважаемые коллеги?

ВложениеРазмер
Иконка изображения 21.t..JPG84.79 КБ
Иконка изображения 22.t..JPG80.81 КБ
Иконка изображения 23.t..JPG67.34 КБ
Иконка изображения 24.T..JPG80.1 КБ
Иконка изображения 25.T..JPG75.54 КБ
Иконка изображения 26.T..jpg67.47 КБ
Иконка изображения 27.t..JPG78.74 КБ
Иконка изображения 28.t..JPG75.7 КБ
Иконка изображения 29.t..jpg68.73 КБ
Наталия аватар
Не на сайте
Был на сайте: 8 лет 8 месяцев назад
Зарегистрирован: 30.07.2008 - 13:24
Публикации: 538

На 2 срезах очень похоже на туберкулому, и туберкулома не в спокойном состоянии.

OPEXOB аватар
Не на сайте
Был на сайте: 9 лет 11 месяцев назад
Зарегистрирован: 26.07.2008 - 10:02
Публикации: 280

Вполне спокойные туберкуломы.