Рецидив туберкулеза?

Пол пациента: 
Тип патологии: 
Методы исследования: 

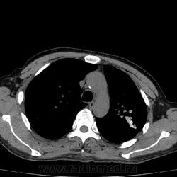
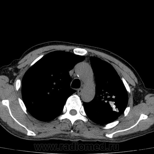
Больной лечился по пневмонии. На КТ- контроле данные за рецидив туберкулеза (снят с учета в 10 году, асоциальный).

    .

Как вы считаете, коллеги?

  • https://radiomed.ru/sites/default/files/styles/case_slider_image/public/user/16789/img-0002-00001.jpg?itok=ytDMsYis
  • https://radiomed.ru/sites/default/files/styles/case_slider_image/public/user/16789/img-0003-00001.jpg?itok=_0D815n9
  • https://radiomed.ru/sites/default/files/styles/case_slider_image/public/user/16789/img-0005-00001.jpg?itok=-_LtMD6j
  • https://radiomed.ru/sites/default/files/styles/case_slider_image/public/user/16789/img-0004-00001.jpg?itok=Ompx4fpm
  • https://radiomed.ru/sites/default/files/styles/case_slider_image/public/user/16789/img-0006-00001.jpg?itok=u0KGuMMN
  • https://radiomed.ru/sites/default/files/styles/case_slider_image/public/user/16789/img-0008-00001.jpg?itok=1xFen6uM
  • https://radiomed.ru/sites/default/files/styles/case_slider_image/public/user/16789/img-0009-00001.jpg?itok=eDhBoNqi
ID:23416
Катенёв Валентин Львович аватар
Не на сайте
Был на сайте: 7 лет 2 недели назад
Зарегистрирован: 22.03.2008 - 22:15
Публикации: 54876

Состоял на учете по поводу фиброзно-кавернозного?

НАДЕЖДА ЮРЬЕВНА аватар
Не на сайте
Был на сайте: 6 лет 11 месяцев назад
Зарегистрирован: 30.07.2012 - 13:14
Публикации: 360

Нет, итл в/д левого л-го. Подняла архив, процесс был слева. Полость появилась справа, значит рецидив. Снят в прошл году с учета.

И.Бондаренко аватар
Не на сайте
Был на сайте: 4 дня 9 часов назад
Зарегистрирован: 13.09.2011 - 22:55
Публикации: 9206

Придётся снова поставить на учёт.