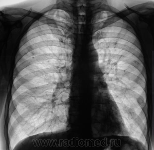
Пол пациента: Мужской пол Тип патологии: Инфекция Область исследования: Грудная клетка и верхние дыхательные пути Методы исследования: Rg Контроль после флюорографии. Ваше мнение уважаемые коллеги? https://radiomed.ru/sites/default/files/styles/case_slider_image/public/user/12/2.p7290011.jpg?itok=qSiB7e4X https://radiomed.ru/sites/default/files/styles/case_slider_image/public/user/12/3.p7290012.jpg?itok=ZJVpOSGC https://radiomed.ru/sites/default/files/styles/case_slider_image/public/user/12/4.p7290013.jpg?itok=SrPdc7CM ID:5088 Чт, 29/07/2010 - 22:06 #1 stovbav Не на сайте Был на сайте: 2 года 2 месяцев назад Зарегистрирован: 20.12.2009 - 17:28 Публикации: 7066 Мужчина; за 50 лет; любитель выпить и подебоширить; двусторонний очаговый туберкулез..... Болезни ног: виды, симптомы, причины, профилактика и лечение Чт, 29/07/2010 - 22:11 #2 Катенёв Валенти... Не на сайте Был на сайте: 7 лет 3 недели назад Зарегистрирован: 22.03.2008 - 22:15 Публикации: 54876 Да, Виктор Григорьевич. Отправили к фтизиатрам, те не упирались, только сказали, что слава Богу, хоть не инфильтративный.
Мужчина; за 50 лет; любитель выпить и подебоширить; двусторонний очаговый туберкулез.....
Болезни ног: виды, симптомы, причины, профилактика и лечение
Да, Виктор Григорьевич.
Отправили к фтизиатрам, те не упирались, только сказали, что слава Богу, хоть не инфильтративный.