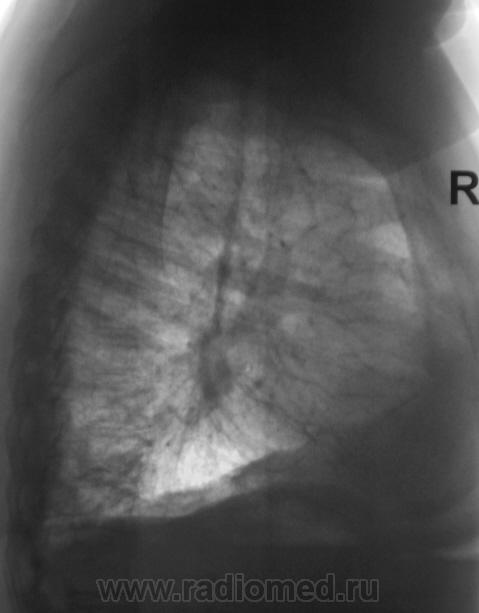
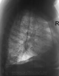
Пол пациента: Мужской пол Тип патологии: Другое Область исследования: Грудная клетка и верхние дыхательные пути Методы исследования: Rg При расшифровке фицровых флюорограмм пациент взят на контроль. Жалоб нет. Пациент преклонного возраста. Ваше мнение коллеги? https://radiomed.ru/sites/default/files/styles/case_slider_image/public/2.U.Kontrol.JPG?itok=D_X_PWlr https://radiomed.ru/sites/default/files/styles/case_slider_image/public/3.U.Kontrol.JPG?itok=WUYf75C2 https://radiomed.ru/sites/default/files/styles/case_slider_image/public/4.U.Kontrol.JPG?itok=Qim3Ihlu ID:29 Чт, 07/01/2010 - 15:39 #1 Анатолий Владим... Не на сайте Был на сайте: 8 лет 3 месяцев назад Зарегистрирован: 16.10.2009 - 21:16 Публикации: 1941 Похоже на ателектаз десятого сегмента справа. Ср, 13/01/2010 - 20:55 #2 Ольга Дмитриевна Не на сайте Был на сайте: 16 лет 2 месяцев назад Зарегистрирован: 13.01.2010 - 16:55 Публикации: 168 Средней доли тоже нет. Центральный рак? КТ бы надо. Красота - гормон карьерного роста! Ср, 10/08/2011 - 19:38 #3 Nikolas Не на сайте Был на сайте: 1 месяц 3 недели назад Зарегистрирован: 21.12.2010 - 20:37 Публикации: 4560 Уважаемый Валентин Львович! Что же у больного все-таки оказалось после дообследования? С уважением Nikolas Пт, 12/08/2011 - 22:11 #4 Катенёв Валенти... Не на сайте Был на сайте: 7 лет 5 месяцев назад Зарегистрирован: 22.03.2008 - 22:15 Публикации: 54876 Пациентку пролечили в течение 2-х недель в Т.О., сделали "контроль", написали возрастную норму.
Похоже на ателектаз десятого сегмента справа.
Средней доли тоже нет. Центральный рак? КТ бы надо.
Красота - гормон карьерного роста!
Уважаемый Валентин Львович! Что же у больного все-таки оказалось после дообследования? С уважением Nikolas
Пациентку пролечили в течение 2-х недель в Т.О., сделали "контроль", написали возрастную норму.