Коварство и ладья...

Пол пациента: 
Тип патологии: 
Область исследования: 
Методы исследования: 

        

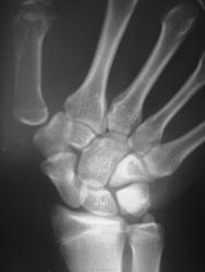
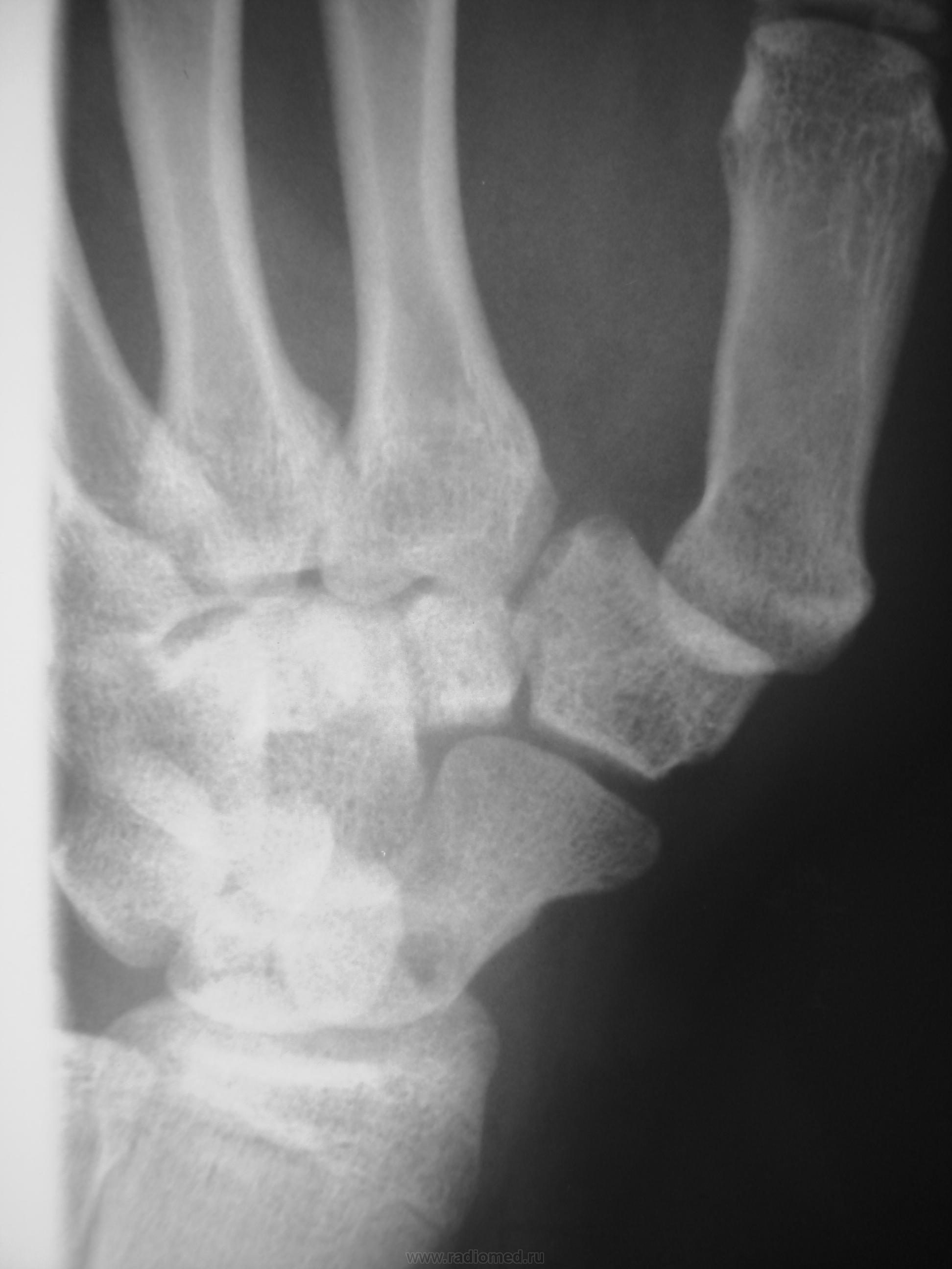
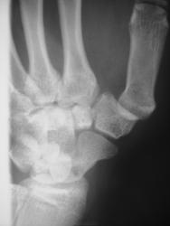
Травма в октябре 2009,сейчас появились боль, припухлость в обл. ладьевидной кости. Какие будут мнения, уважаемые коллеги?

  • https://radiomed.ru/sites/default/files/styles/case_slider_image/public/user/2263/DSC02010.JPG?itok=q2let6AS
  • https://radiomed.ru/sites/default/files/styles/case_slider_image/public/user/2263/DSC02011.JPG?itok=cXucZasF
  • https://radiomed.ru/sites/default/files/styles/case_slider_image/public/user/2263/DSC02012.JPG?itok=CE3OCuCn
  • https://radiomed.ru/sites/default/files/styles/case_slider_image/public/user/2263/DSC02013.JPG?itok=NI1w0Dx2
ID:3903
Петрович аватар
Не на сайте
Был на сайте: 7 лет 2 месяцев назад
Зарегистрирован: 22.03.2009 - 01:13
Публикации: 3908

  Значит в октябре не болело. Это странно. Несросшийся перелом есть. А вот псевдартроз как-то не очень... Здесь нужна проекция для ладьевидной кости, без наслоений других.

 

 

Неоднозначно всё

Иринка аватар
Не на сайте
Был на сайте: 11 лет 5 месяцев назад
Зарегистрирован: 16.11.2009 - 22:14
Публикации: 190

В  октябре само сабой болело,перелом был диагносцирован,ходил в гипсе, но через месяц сняли и носили ортез. Не болело до настоящего времени.

Анатолий Владимирович Шумаков аватар
Не на сайте
Был на сайте: 7 лет 10 месяцев назад
Зарегистрирован: 16.10.2009 - 21:16
Публикации: 1941

В наших условиях - знатоки говорят о необходимости операции чуть ли не в первые 2 часа после перелома, переломы ладьи никогда не срастаются...