"Красивая" пневмония.

Пол пациента: 
Методы исследования: 

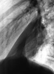
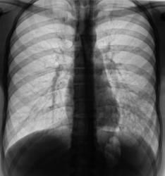
Пациент направлен на исследование врачом терапевтом с диагнозом "пневмония". Клиника пневмонии наличествует.

 

1.KR_.PN_..JPG
1.KR_.PN_..JPG
2.KR_.PN_..JPG
2.KR_.PN_..JPG
3.KR_.PN_..JPG
3.KR_.PN_..JPG
4.KR_.PN_..JPG
4.KR_.PN_..JPG

 

 

 

 

 

 

 

 

 

 

 

 

 

 

 

 

 

 

 

 

 

 

 

 

 

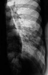
Сегодня, пациента "дали на контроль"

1.1.1._Kontr..JPG
1.1.1._Kontr..JPG
2.2.2.Kontr_..JPG
2.2.2.Kontr_..JPG

 

 

 

 

 

 

 

 

 

 

 

 

 

Ваше мнение коллеги?

ВложениеРазмер
Иконка изображения 1.KR_.PN_..JPG78.45 КБ
Иконка изображения 2.KR_.PN_..JPG65.06 КБ
Иконка изображения 3.KR_.PN_..JPG76.33 КБ
Иконка изображения 4.KR_.PN_..JPG87.45 КБ
Иконка изображения 1.1.1._Kontr..JPG79.68 КБ
Иконка изображения 2.2.2.Kontr_..JPG86.49 КБ
Глазков Игорь Артурович аватар
Не на сайте
Был на сайте: 9 месяцев 1 неделя назад
Зарегистрирован: 19.12.2008 - 20:41
Публикации: 1597

сегментарная пневмония (8 сегмент) с плевральным выпотом по глвной междолевой щели.

Прийди к Себе

Наталия аватар
Не на сайте
Был на сайте: 8 лет 7 месяцев назад
Зарегистрирован: 30.07.2008 - 13:24
Публикации: 538

Очень слабая динамика.