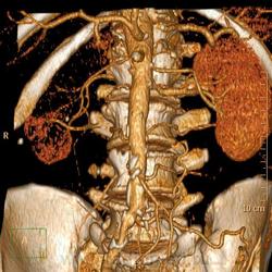
КТ брюшной полости. Случайная находка. Жалоб нет.

Пациент около 70 лет, обследовался по поводу образования почки (киста).

  • https://radiomed.ru/sites/default/files/styles/case_slider_image/public/user/2841/1.sluchaynaya_nahodka_2.jpg?itok=ziiS-NRj
  • https://radiomed.ru/sites/default/files/styles/case_slider_image/public/user/2841/1.sluchaynaya_nahodka_3.jpg?itok=QOue0jd8
  • https://radiomed.ru/sites/default/files/styles/case_slider_image/public/user/2841/1.sluchaynaya_nahodka_4.jpg?itok=cb1s1qpO
ID:51232
Евгений Второй аватар
Не на сайте
Был на сайте: 3 дня 5 часов назад
Зарегистрирован: 13.09.2011 - 22:00
Публикации: 1772

Коллатераль наверное хорошо справляется. У меня наставник называл их "перетоками". Однажды видел похожую картину на MRA.

Helios аватар
Не на сайте
Был на сайте: 7 месяцев 4 недели назад
Зарегистрирован: 06.08.2010 - 15:16
Публикации: 4417

Левая подвздошная артерия не визуализируется.

Сергей Нагорный аватар
Не на сайте
Был на сайте: 9 лет 8 месяцев назад
Зарегистрирован: 13.07.2010 - 22:49
Публикации: 1370

Одна эпигастрика чего стоит. Нередко вижу таких с нашего сосудистого отделения с минимумом клиники или вообще без нее.

С уважением, С.Н. Нагорный

ЛГ аватар
Не на сайте
Был на сайте: 8 лет 11 месяцев назад
Зарегистрирован: 06.01.2010 - 12:31
Публикации: 3523

Спасибо всем! У меня это первый случай такой окклюзии. А всю красоту не видно - срезали бока, выполняя КТ почек.

Пациент тоже с сосудистого отделения laugh. Две левых почечных артерии до кучи.

Andrey942 аватар
Не на сайте
Был на сайте: 3 года 1 месяц назад
Зарегистрирован: 14.11.2010 - 07:43
Публикации: 11

по моему здесь что то с правой почкой

Катенёв Валентин Львович аватар
Не на сайте
Был на сайте: 7 лет 4 недели назад
Зарегистрирован: 22.03.2008 - 22:15
Публикации: 54876

Красивый случай уважаемая Людмила Григорьевна!

Как заключение сформулировали?

ЛГ аватар
Не на сайте
Был на сайте: 8 лет 11 месяцев назад
Зарегистрирован: 06.01.2010 - 12:31
Публикации: 3523

Окклюзия левой общей подвздошной артерии, кисты правой почки (1 кат. по Босняку)

Катенёв Валентин Львович аватар
Не на сайте
Был на сайте: 7 лет 4 недели назад
Зарегистрирован: 22.03.2008 - 22:15
Публикации: 54876

Спасибо за ответ.