Пол пациента:
Тип патологии:
Область исследования:
Методы исследования:
- https://radiomed.ru/sites/default/files/styles/case_slider_image/public/user/234/mpr.0002.jpg?itok=5-Q3tSGB
- https://radiomed.ru/sites/default/files/styles/case_slider_image/public/user/234/mpr.0003.jpg?itok=3Q1CK2I7
- https://radiomed.ru/sites/default/files/styles/case_slider_image/public/user/234/mpr.0004.jpg?itok=xkxF9P7J
- https://radiomed.ru/sites/default/files/styles/case_slider_image/public/user/234/mpr.0005.jpg?itok=QLvY32GS
- https://radiomed.ru/sites/default/files/styles/case_slider_image/public/user/234/mpr.0006.jpg?itok=-4Rw2iqP
- https://radiomed.ru/sites/default/files/styles/case_slider_image/public/user/234/mpr.0007.jpg?itok=nVQgrCTT
ID:10901
Уж не "животное" - ли какое обитает?
Нет, но версия мне понравилась.
Здравствуйте Валентин!
Let me see...
radiographia.ru
Не правильная, но хорошая версия, тоже, что-то стоит...
Надо думать, что "это" хорошо видимо и на обычной рентгенограмме органов брюшной полости?
Да, видна. Нo обычная рентгенограмма не будет иметь в данном случае диагностической ценности.
Let me see...
radiographia.ru
mojet opuxol podjeludocnoy jelezi
No! No pancreatic tumor.
Let me see...
radiographia.ru
Идущей только по главному протоку??? А может калькулезный панкреатит с такой каменюкой?
ili kalcificiruyushiy pankreatit s melkimi kistami
Что-то в Вирсунге. Стент? Дренаж? Странно, что не видно просвета. Очень интересно, что же ЭТО.
Nelas - спасибо за ваш пост. Именно в нем и прозвучали ключевые слова!
Let me see...
radiographia.ru
Не пойму за что спасибо. Вижу только признаки калькулезного панкреатита. Неужели в Вирсунге это тоже кальцинат!?
Нет, наверно все-таки дренаж. Может забился камешками.
А если стент, проросший и полностью облитерированный?
Это панкреатический стент, установлен правильно, выведен в просвет 12пк, но проросший весь...
С уважением, С.Н. Нагорный
"Предоставляя весь смысл и совершенство в распоряжение одного только Бога, вы избавляете себя от бездны хлопот." Джон Уитборн.
Как любое инородное тело, особенно без специального покрытия - соединительной тканью.
На которою "подцепились" соли Са?
Да, наверное...Стент послужил "матрицей".
Гм, интересно получается. Во первых спасибо за комменты, мы уже весьма близки к правильному ответу. Во вторых - давайте порассуждаем по поводу "пророс" - как вы определили что стент "пророс" - ???? Разве есть на представленных изображениях какие либо признаки "просрастания"? И последнее, если что-то чем-то прорастает, особенно если это стент Вирсунга, это означает что имеется опухоль. Разве здесь есть признаки опухоли поджелудочной железы? Тем более что исследование нативное, без контрастирования.
Let me see...
radiographia.ru
Возможно, выбрано такое окно, что просвета не видно. А по сути - стент обычный и установлен обычным образом. А вот ао какому поводу - это интересно... Возможно, IPMN.
С уважением, С.Н. Нагорный
Я про онкологию ни словом не обмолвился. А разве неправильно будет выражение "прорастание соединительной тканью"? Или точнее будет сказано "отложения фибрина, солями, и т.д. с последующей организацией"?
А Вы это видите на КТ ? Если видите прорастание СОЕДИНИТЕЛЬНОЙ ТКАНЬЮ, - пишите! Но научите меня тогда как точно определять на КТ (или другими визуализационными методами) соединительную ткань!
Let me see...
radiographia.ru
Та бы не стал публиковать случай онкологии (IPMT) без адекватно выполненного исследования - т.е. мультфазового КТ с болюсным контрастированием. Правильный диагноз можно поставить исходя из информации представленной на опубликованных изображениях.
Let me see...
radiographia.ru
Скажите Марио, а это исследование выполнено не адекватно, следуя из Вашего комментария?
Нет, не вижу. Просто теоризирую и предполагаю возможные случаи. Ведь для этого существует форум. Сам же я только учусь, и буду только рад, если меня будут поправлять, и объяснять, что возможно, а что невозможно, что видно, а что не видно.
Уважаемые коллеги, я просто хотел пояснить что не грамотно писать "пророс" , когда нет признаков нарушения оттока или "обволакивания", "прорастания" стента опухолью (тем более в данном случае нет опухоли). Полагаю что в радиологических заключениях, которые мы приводим на профессиональных сайтах, надо быть весьма аккуратным в плане использования терминологии, обо многие коллеги читают посты и могут сделать неверные для себя выводы.
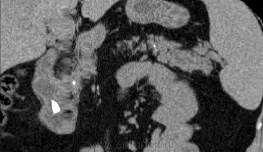
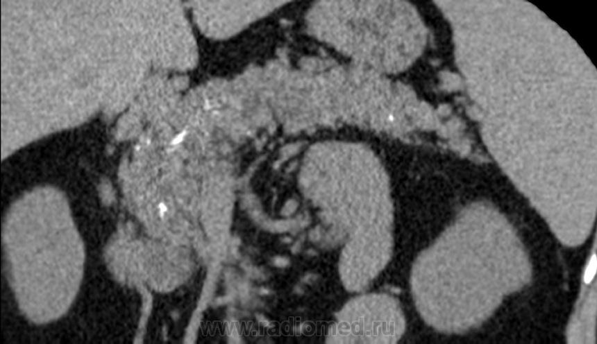
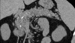
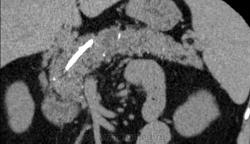
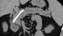
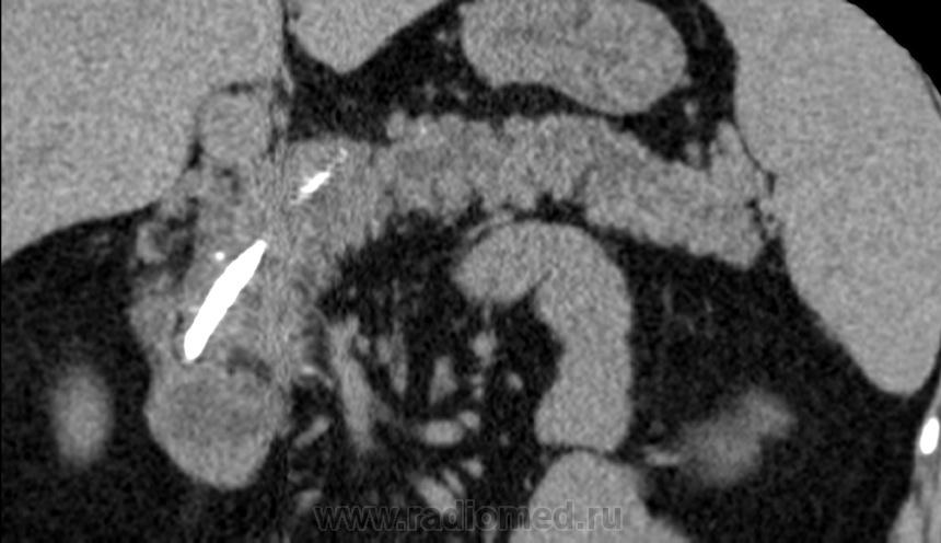
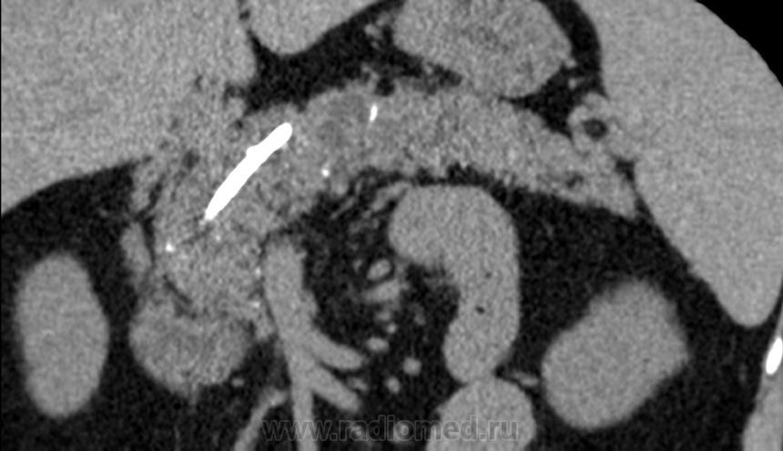
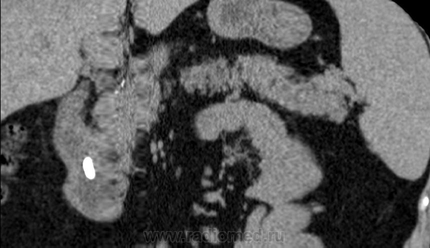
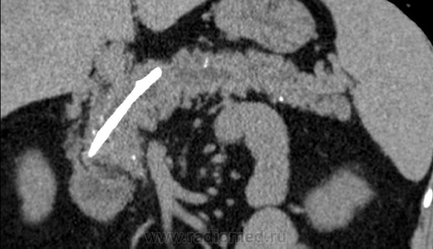
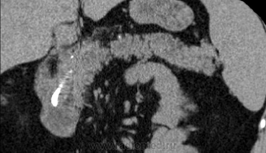
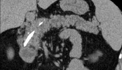
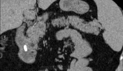
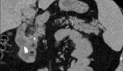
Итак пациент мужчина 34 года, в анамнезе - 16 эпизодов острого панкреатита (!). Пациенту была выполнена ЭРХПГ которая выявила наличие двух стриктур протока Вирсунга в области головки поджелудочной железы (доброкачественная стриктура Вирсунгова протока). На представленных мной изображениях определяется неоднородная структура поджелудочной железы с гиподенсными участками в области тела/хвоста и наличием паренхиматозных кальцификатов (b & c). Такая картина указывает на хронический панкреатит. В области головки визуализируется стент (a), установленный в Вирсунгов проток, с свободным концом в просвете 12-ти перстной кишки. Такое стояние стента является правильным. На данный момент, единственной адекватной терапией при доброкачественных стриктурах протока поджелудочной железы (и при некоторых опухолях исходящим из протока или обтурирующих его, когда невозможно выполнить резекцию) является эндоскопическое стентирование протока, что обеспечивает нормальный отток секрета поджелудочной в кишечник.
Всем спасибо за обсуждение.
Let me see...
radiographia.ru
Нет, всё адекватно. Вы наверно неправильно меня поняли. Это исследование выполнено для контроля расположения стента.
Let me see...
radiographia.ru
Стент, являясь металлической деталью, не пропускает внутрь себя R-лучи, поэтому и не видно просвета?
Стент должен быть НЕ из металла. Просто окно выбрано такое, наверное...
С уважением, С.Н. Нагорный
Верно. Об обструкции стента можно заподозрить только при наличии расширения протока дистальнее, или если пациент поступит с новым приступом острого панкреатита. В профилактических целях, стент периодически меняют.
Let me see...
radiographia.ru
Здравствуйте Сергей Николаевич!
Если можно поясните по поводу "окон".
Марио, это не заблуждение, что стент металлический??? Не встречал таких и не слышал. Обычно из полимера или тефлона, насколько мне известно...
С уважением, С.Н. Нагорный
Валентин Львович, имею ввиду ширину и уровень окна (контрастность и яркость)
С уважением, С.Н. Нагорный
Дело не в окне. Оболочка стента из полимера, структура стента включает в себя рентгенконтрастные молекулы различных металлов (хим. соединений из группы металлов). Т.е. сам стент не из "железа".
http://www.keymed.co.uk/index.cfm/page/products.index.cfm/id/640/navid/640/parentid/620
Let me see...
radiographia.ru
Сергей Николаевич!
А, в Вашей клинике часто проводится такое стентирование?
Вот здесь и надо было закончить обсуждение, и объяснить, почему не видно просвета. А не умно молчать.
Уважаемый коллега Mirox, позвольте мне самому выбирать метод подачи разбора собственного материала. Я никогда никого не заставляю разбирать свои публикации. И всегда стараюсь акцентировать внимание на правильной терминологии и ключевых находках.
N.B. Поясните пожалуйста, как можно УМНО молчать? Я если честно не представляю себе как это выглядит.
Let me see...
radiographia.ru
Уважаемый Доктор Марио!
Конечно, автор наблюдения волен выбирать, как представлять собственное наблюдение в виде диагностической задачи, или клинического наблюдения с минимальным анамнезом и данными. Конечно, Важно соблюсти корректность и уважание коллегам.
Nela точно поставила заключение, и задала определенный вопрос. Вы же просто намекнули на какие-то ключевые слова, ничего не подтверждая. Естественно, что мы продолжили дальше строить свои предположения. Пусть и неправильные, но Ваша реакция, особенно на мои, оказалась чрезмерной.
Вот, и исчезло название "диагностическая задача", и появилось другое название -
KT. Хронический панкреатит, стентирование протока поджелудочной железы.Спасибо! Просто я не понял в чём по мнению коллеги Mirox я высказал некорректность?
Let me see...
radiographia.ru
Марио, спасибо за интересный случай и наглядные томограммы. Особенно интересны всегда и дискуссии по терминологии, черпаю много полезного из Ваших постов. А просвет стента и даже отверстия - абсолютно точно можно увидеть в другом окне, вопрос - нужно ли.
С уважением, С.Н. Нагорный
К сожалению, не делают вообще, насколько я осведомлен. Мы только определяем таких больных под стентирование и их куда-то отправляют, а мы лишь контролируем иногда...
С уважением, С.Н. Нагорный
Уважаемый Mirox. Не обижайтесь. Я уже прилично давно активничаю в радиологическом интернете, и у меня есть немного особенная манера подачи и разбора материала публикуемого здесь и на radiographia.ru Я никогда не ставлю цель кого-то обидеть, наоборот. Просто всегда стараюсь задавать вопросы и подчёркивать важные для радиолога моменты. Согласитесь, в процессе "острой" дискуссии, когда обсуждения "цепляют", материал и информация запоминается намного лучше, чем просто"сухая" подача информации. Это моя точка зрения, и считаю её правильной.
Валентин Львович, я сменил название, так как полагаю что наблюдение разобрали полностью.
Let me see...
radiographia.ru
Спасибо
! По сути - даже поиграв окном, мы сможем максимум увидеть линейную гиподенсность в месте просвета стента - но это никак не указывает на проходимость или обструкцию. Согласны?
Let me see...
radiographia.ru
Я, что спросил? Большие "бабки" выделены на Вашу больницу, просто огроменные.
Др.Марио, что Вы, я не обижаюсь. Наоборот, благодарю за отличный материал. Вы правы, такой случай теперь крепко запомнится)))
Валентин Львович, ну а кто при таких зарплатах, как у нас будет что-то внедрять, практиковать и тд... Катится по-накатанной всё. Оборудование-то оборудованием, ремонты помещений, может еще что
а народ-то тот же... Молодежь за редкими исключениями (как я :) ) едут туда, где платят, а у нас энтузиазм один, выживание.
С уважением, С.Н. Нагорный
Да, я полазил по сайтам Иванова, в том числе Департамента, требуются врачи буквально всех специальностей. Будем надеяться, что зарплата поднимется у врачей Ивановской областной больницы.