Кт почек срочно

Пол пациента: 
Область исследования: 
Методы исследования: 

Помогите , пожалуйста ! Кт почек главного врача. Первые два снимка натив , третий delay.

  • https://radiomed.ru/sites/default/files/styles/case_slider_image/public/user/11254/c6vex1xropu.jpg?itok=HKmptDdB
  • https://radiomed.ru/sites/default/files/styles/case_slider_image/public/user/11254/ewie5l_oq9i.jpg?itok=HG1sDNgN
ID:34135
mary-snow аватар
Не на сайте
Был на сайте: 11 лет 12 месяцев назад
Зарегистрирован: 31.05.2011 - 23:58
Публикации: 8

кт почек .

Приложения: 
3qkht8rkkjy.jpgc6vex1xropu.jpgewie5l_oq9i.jpg
Helios аватар
Не на сайте
Был на сайте: 7 месяцев 2 недели назад
Зарегистрирован: 06.08.2010 - 15:16
Публикации: 4417

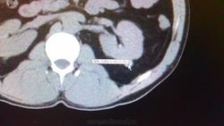
Вы серъезно  хотите по этим картинкам получить  адекватное заключение?Вижу субкапсулярную кисту левой почки.

Nela аватар
Не на сайте
Был на сайте: 6 лет 3 недели назад
Зарегистрирован: 12.05.2009 - 20:43
Публикации: 1847

Если это не кальцинат, то киста с кровоизлиянием. А цель исследования какова? Жалобы? Клиника?

mary-snow аватар
Не на сайте
Был на сайте: 11 лет 12 месяцев назад
Зарегистрирован: 31.05.2011 - 23:58
Публикации: 8

Извините за качество, жалоб нет, открылся кабинет МРТ-решили посм-ть Главного- написали ( мрт)образования левой почки-гипертрофия почечных столб.-рекомендовали кт с ку, гл. врач сам уролог, приш. в кт-начались проблеммы, при исследовании треснула колба( всего обрызгали контрастом)-недостаточно к.в., он сам решил , что у него рак, я написала гиперденсивные кисты(осложн)( высокое содержание белка ? кровоизл?), смущало то, что на кт образования в нативе гиперденсивные , а мрт пишут изоденсивны почечной паренхиме.Спасибо

Сергей Нагорный аватар
Не на сайте
Был на сайте: 9 лет 8 месяцев назад
Зарегистрирован: 13.07.2010 - 22:49
Публикации: 1370

mary-snow wrote:

Извините за качество, жалоб нет, открылся кабинет МРТ-решили посм-ть Главного- написали ( мрт)образования левой почки-гипертрофия почечных столб.-рекомендовали кт с ку, гл. врач сам уролог, приш. в кт-начались проблеммы, при исследовании треснула колба( всего обрызгали контрастом)-недостаточно к.в., он сам решил , что у него рак, я написала гиперденсивные кисты(осложн)( высокое содержание белка ? кровоизл?), смущало то, что на кт образования в нативе гиперденсивные , а мрт пишут изоденсивны почечной паренхиме.Спасибо

Изоденсивными на МРТ быть не могут, только изоинтенсивными чему-то на какой-то импульсной последовательности или на всех. Уж кисты почек на МРТ смотреть - лучше не придумать. 

С уважением, С.Н. Нагорный