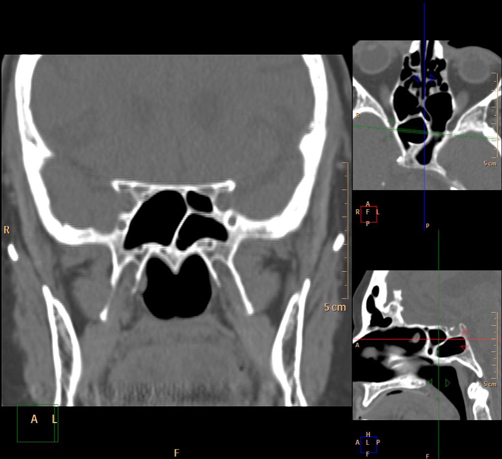
КТ. Разнообразие клиновидной пазухи.

Классическое разделение на 2 половины встречается часто, но еще чаще - несимметричное разделение пазухи.

 

 

 

--------------------------------------------------------------

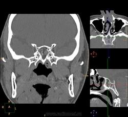
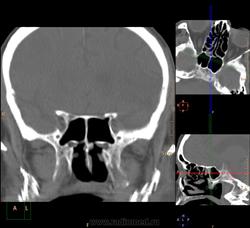
Спонгиоз одной из половин пазухи, пациент 35 лет:

___________________________________

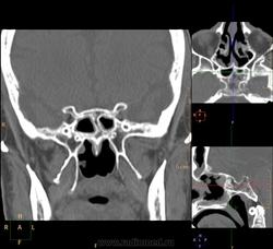
Вроде основных две, но разнообразные перегородки делят их на бОльшее количество:

Тут, например, 7 камер у одной пациентки:

___________________________________

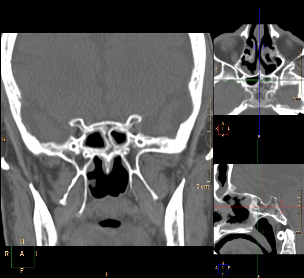
Одна пазуха:

____________________________________

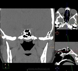
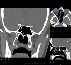
Ни одной, а точнее, спонгиоз (может, воздушность и была когда-то). Преобладает у возрастных пациентов, но встречается в любом возрасте:

 

И еще спонгиоз:

  • https://radiomed.ru/sites/default/files/styles/case_slider_image/public/user/2841/2a_0.jpg?itok=B_EJdq07
  • https://radiomed.ru/sites/default/files/styles/case_slider_image/public/user/2841/2spong35.jpg?itok=Ci781lOS
  • https://radiomed.ru/sites/default/files/styles/case_slider_image/public/user/2841/3b.jpg?itok=2XuLqAFm
  • https://radiomed.ru/sites/default/files/styles/case_slider_image/public/user/2841/3v.jpg?itok=yiwA7FOk
  • https://radiomed.ru/sites/default/files/styles/case_slider_image/public/user/2841/3g.jpg?itok=7dLcMv-A
  • https://radiomed.ru/sites/default/files/styles/case_slider_image/public/user/2841/3d_0.jpg?itok=6rJIzqUG
  • https://radiomed.ru/sites/default/files/styles/case_slider_image/public/user/2841/3a_3.jpg?itok=fXELUVdk
  • https://radiomed.ru/sites/default/files/styles/case_slider_image/public/user/2841/3z.jpg?itok=YLRS8Unw
  • https://radiomed.ru/sites/default/files/styles/case_slider_image/public/user/2841/3i.jpg?itok=MaIXhJ9v
  • https://radiomed.ru/sites/default/files/styles/case_slider_image/public/user/2841/3zh0001.jpg?itok=RZrHOEaQ
  • https://radiomed.ru/sites/default/files/styles/case_slider_image/public/user/2841/3zh0002.jpg?itok=6qEkF-pj
  • https://radiomed.ru/sites/default/files/styles/case_slider_image/public/user/2841/1a_0.jpg?itok=-TDhex0k
  • https://radiomed.ru/sites/default/files/styles/case_slider_image/public/user/2841/1v.jpg?itok=SzYdJPs9
  • https://radiomed.ru/sites/default/files/styles/case_slider_image/public/user/2841/1d.jpg?itok=bejucYlJ
  • https://radiomed.ru/sites/default/files/styles/case_slider_image/public/user/2841/1g.jpg?itok=J5fndBgJ
  • https://radiomed.ru/sites/default/files/styles/case_slider_image/public/user/2841/1e.jpg?itok=2dyGWW1H
  • https://radiomed.ru/sites/default/files/styles/case_slider_image/public/user/2841/0_0.jpg?itok=1aohWfDW
  • https://radiomed.ru/sites/default/files/styles/case_slider_image/public/user/2841/0b.jpg?itok=HYt5XvJH
  • https://radiomed.ru/sites/default/files/styles/case_slider_image/public/user/2841/spong.jpg?itok=WxLLnqYx
  • https://radiomed.ru/sites/default/files/styles/case_slider_image/public/user/2841/shch.jpg?itok=LJk1bH_m
ID:54842
Катенёв Валентин Львович аватар
Не на сайте
Был на сайте: 7 лет 3 недели назад
Зарегистрирован: 22.03.2008 - 22:15
Публикации: 54876

Класс! Очень показательно!

rentgengb1 аватар
Не на сайте
Был на сайте: 11 лет 12 месяцев назад
Зарегистрирован: 13.02.2009 - 23:02
Публикации: 290

Класс!

Семенов Виктор Константинович аватар
Не на сайте
Был на сайте: 14 лет 7 месяцев назад
Зарегистрирован: 26.02.2011 - 20:08
Публикации: 17

Подбор прекрасный, как и все, что представляет Людмила Григорьевна. Но имеет ли это практическое значение?

ЛГ аватар
Не на сайте
Был на сайте: 8 лет 10 месяцев назад
Зарегистрирован: 06.01.2010 - 12:31
Публикации: 3523

Для меня нет, я их не пунктирую. В области пунктируют, наши ЛОРы не берутся. Зато по верхнечелюстным и лобным у нас спонгиоз имеет значение, когда клиника синусита стертая.

Катенёв Валентин Львович аватар
Не на сайте
Был на сайте: 7 лет 3 недели назад
Зарегистрирован: 22.03.2008 - 22:15
Публикации: 54876

Людмила Григорьевна wrote:

Для меня нет, я их не пунктирую. В области пунктируют, наши ЛОРы не берутся. Зато по верхнечелюстным и лобным у нас спонгиоз имеет значение, когда клиника синусита стертая.

Я буду ждать добавки аналогичных изображений уважаемая Людмила Григорьевна. Хороший материал, как Варианты развития.

Спасибо!.

ЛГ аватар
Не на сайте
Был на сайте: 8 лет 10 месяцев назад
Зарегистрирован: 06.01.2010 - 12:31
Публикации: 3523

Всегда пожалуйста!

Катенёв Валентин Львович аватар
Не на сайте
Был на сайте: 7 лет 3 недели назад
Зарегистрирован: 22.03.2008 - 22:15
Публикации: 54876

Жду, даже эту ветку приклеил.

Nela аватар
Не на сайте
Был на сайте: 6 лет 1 месяц назад
Зарегистрирован: 12.05.2009 - 20:43
Публикации: 1847

А что такое спонгиоз? Можно поподробнее, никогда не слышала о таком. Это что вторичный процесс?

ЛГ аватар
Не на сайте
Был на сайте: 8 лет 10 месяцев назад
Зарегистрирован: 06.01.2010 - 12:31
Публикации: 3523

Спонгиоз - это некорректный самопальный термин)). Долгая беседа с ЛОР-врачом, в итоге сего и родилось такое название. Имеется в виду фиброзное замещение воздушности пазухи в результате хронических воспалительных заболеваний или идиопатически, либо врожденное снижение воздушности за счет неполного рассасывания губчатой костной ткани, что должно предшествовать возникновению нормальной пневматизации. Может, вариант дисплазии, но мне больше нравится как исход фиброзного синусита. Я других толковых объяснений не нашла. blush Если кто поможет с сылками - буду бесконечно благодарна! 

Катенёв Валентин Львович аватар
Не на сайте
Был на сайте: 7 лет 3 недели назад
Зарегистрирован: 22.03.2008 - 22:15
Публикации: 54876

Людмила Григорьевна wrote:

Спонгиоз - это некорректный самопальный термин)). Долгая беседа с ЛОР-врачом, в итоге сего и родилось такое название. Имеется в виду фиброзное замещение воздушности пазухи в результате хронических воспалительных заболеваний или идиопатически, либо врожденное снижение воздушности за счет неполного рассасывания губчатой костной ткани, что должно предшествовать возникновению нормальной пневматизации. Может, вариант дисплазии, но мне больше нравится как исход фиброзного синусита. Я других толковых объяснений не нашла. blush Если кто поможет с сылками - буду бесконечно благодарна! 

Я тоже.

Nela аватар
Не на сайте
Был на сайте: 6 лет 1 месяц назад
Зарегистрирован: 12.05.2009 - 20:43
Публикации: 1847

Людмила Григорьевна wrote:

Спонгиоз - это некорректный самопальный термин)). Долгая беседа с ЛОР-врачом, в итоге сего и родилось такое название. Имеется в виду фиброзное замещение воздушности пазухи в результате хронических воспалительных заболеваний или идиопатически, либо врожденное снижение воздушности за счет неполного рассасывания губчатой костной ткани, что должно предшествовать возникновению нормальной пневматизации. Может, вариант дисплазии, но мне больше нравится как исход фиброзного синусита. Я других толковых объяснений не нашла. blush Если кто поможет с сылками - буду бесконечно благодарна! 

На мой взгляд два последних случая просто вариант развития основной пазухи. Ведь действительно вариантов множество от полного отсутствия пазухи (как и других пазух) до гиперпневматизации, распространяющейся даже на спинку турецкого седла.

ЛГ аватар
Не на сайте
Был на сайте: 8 лет 10 месяцев назад
Зарегистрирован: 06.01.2010 - 12:31
Публикации: 3523

Новая информация тут: http://www.radiographia.ru/node/10359

Термин "спонгиоз" некорректен. Это не приобретенная патология пазух, не результат инволютивных изменений, а врожденная аномалия, называемая в русскоязычной литературе "незавершенной пневматизацией", а в англоязычной - заключенной (арестованной) пневматизацией: 

http://www.lornii.ru/resources/autoref/emeliyanova_an.pdf

http://vidar.ru/article.asp?an=MV_2012_4_96

http://www.quintpub.com/userhome/qi/qi_2013_06_s0437.pdf

http://www.ajronline.org/doi/full/10.2214/AJR.07.3131