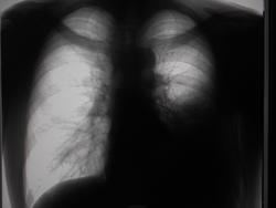
Пол пациента: Мужской пол Тип патологии: Другое Область исследования: Грудная клетка и верхние дыхательные пути Методы исследования: Rg Мужчина, 1983 года рождения, наркоман. Жалобы на затруднение дыхания, больше толком ничего не может сказать. Поставила просто показать, наверное это осумкованный плеврит, но очень уж форма причудливая) https://radiomed.ru/sites/default/files/styles/case_slider_image/public/user/16049/dscn0196-2.jpg?itok=VMOIZfz8 https://radiomed.ru/sites/default/files/styles/case_slider_image/public/user/16049/dscn0200-2.jpg?itok=jF8RVB_8 https://radiomed.ru/sites/default/files/styles/case_slider_image/public/user/16049/dscn0199-2.jpg?itok=d8mgQYPQ ID:25338 Пнд, 24/12/2012 - 21:04 #1 Катенёв Валенти... Не на сайте Был на сайте: 7 лет 2 недели назад Зарегистрирован: 22.03.2008 - 22:15 Публикации: 54876 Здравствуйте Мила! Задний паракостальный без сомнений! Пнд, 24/12/2012 - 23:58 #2 Наталия Васильевна Не на сайте Был на сайте: 5 лет 8 месяцев назад Зарегистрирован: 25.09.2011 - 09:02 Публикации: 754 Катенёв Валентин Львович wrote: Здравствуйте Мила! Задний паракостальный без сомнений! Согласна, вопрос как давно? Если процесс "свеженький"-может, пардон, шарахнуть в эмпиему в любой момент. Втр, 25/12/2012 - 01:11 #3 И.Бондаренко Не на сайте Был на сайте: 2 дня 13 часов назад Зарегистрирован: 13.09.2011 - 22:55 Публикации: 9206 Наталия Васильевна wrote: Катенёв Валентин Львович wrote: Здравствуйте Мила! Задний паракостальный без сомнений! Согласна, вопрос как давно? Если процесс "свеженький"-может, пардон, шарахнуть в эмпиему в любой момент. Пусть хирурги "шарахнут" пункцией. Тогда точно будете знать. Втр, 25/12/2012 - 03:06 #4 Mila85 Не на сайте Был на сайте: 3 года 1 месяц назад Зарегистрирован: 15.03.2012 - 16:59 Публикации: 1790 Катенёв Валентин Львович wrote: Здравствуйте Мила! Задний паракостальный без сомнений! Здравствуйте, мы на работе тоже так единогласно подумали. Давность неизвестна, пациент где-то частно наблюдается со своей зависимостью, туда и потопал
Здравствуйте Мила!
Задний паракостальный без сомнений!
Согласна, вопрос как давно? Если процесс "свеженький"-может, пардон, шарахнуть в эмпиему в любой момент.
Пусть хирурги "шарахнут" пункцией. Тогда точно будете знать.
Здравствуйте, мы на работе тоже так единогласно подумали. Давность неизвестна, пациент где-то частно наблюдается со своей зависимостью, туда и потопал