Вероятно контур слева внутри сердечной тени "ядро"в области 3 - ей дуги - гипертрофированное левое предсердие при митральном пороке с преобладанием стеноза. В малом круге венозный застой 2 степени по Турнеру, а присмотревшись и Керли слева... - почти 3 я, + 2стадия артериальной легочной гипертензии.
Необходимо согласиться с коллегой по поводу увеличенного левого предсердия, кстати, и левый главный бронх смещен кверху. Что-то, на мой взгляд, правый купол диафрагмы "высоковато"?
Не-а, это пациентка голову повернула ( у нас нет стойки)... Я бы не стала "провоцировать" несимметричной укладкой. Образование действительно есть - плотная тень на фоне тени сердца. Честно же написала - за "базар" отвечаю! даже пост назвала соответствующе... Вот мой ответ Серову...
Тогда можно заняться диф.диагностикой, тератома или может образование перикарда(целомическая киста?), может ещё кто нибудь предложит??? Если образование плотно прелижит к позвоночнику, можно предложить невриному, но как то ужь по размерам не характерна и симметрично смотрится.
"Знаешь, у некоторых врачей есть комплекс мессии — им необходимо спасать мир. А у тебя комплекс Рубика — тебе необходимо решать головоломки."
Vital! Я говорила, что есть образование, но не говорила, что оно в средостенье! Да, понимаю. демонстрация нечестная, данных недостаточно, но во-первых, это мой ответ на более ранний пост, а во-вторых, так интереснее.
Понятно.. Я долго смотрел снимок, и не смог себе представить образование такого размера, в такой проекции, без какого либо масс эффекта на окружающие структуры, если предположить что оно находится в грудной полости. Поэтому по логике, образование должно локализоваться вне полости, в стенках. По поводу вероятного протеза молочной железы, не думаю. При таком смещение, было бы спадение стенок протеза.
Конечно, этак мы договоримся, что "ЭТА ХРЕНЬ" могла быть и приклеена, или фиксирована к коже. Все может быть, все может статься.
НО ВЫВОД ОДИН. Коллегой Татьяной Валентиновной наглядно показано, что не может быть никакой "самодеятельности", и если есть стандарт первого уровня для исследования органов грудной полости - ПРЯМАЯ + БОКОВАЯ, то довольствование только одной прямой проекцией чревато и весьма.
Представленный Вами случай, Татьяна Валентиновна, вполне может и должен демонстрироваться, как на "первичке", так и на усовершенствовании, что стандарт - есть стандарт.
Понятно.. Я долго смотрел снимок, и не смог себе представить образование такого размера, в такой проекции, без какого либо масс эффекта на окружающие структуры, если предположить что оно находится в грудной полости. Поэтому по логике, образование должно локализоваться вне полости, в стенках. По поводу вероятного протеза молочной железы, не думаю. При таком смещение, было бы спадение стенок протеза.
Марио, должна возразить, недавно был у нас случай опухоли трахеи и молодого пациента, которая выглядела примерно так же и локализовалась под бифуркацией трахеи, в легких не было НИКАКИХ изменений! Касательно мигрировавшего протеза, если коротко - это не протез. На снимке достаточно информации: обратите внимание на форму молочных желез - для протеза тень маловата, да сложно протезу смещаться под кожу над грудиной...
Я с Вами согласен по протезу; поэтому и написал: не думаю что это протез. В отношении моего поста; Вы наверно меня не совсем правильно поняли; я не имел в виду что должны были быть изменения в лёгких; я написал: масс эффект на окружающие структуры, т.е. структуры самого средостения. При многих опухолях средостения, никаких изменений в лёгких не выявляется. На представленном Вами снимке, образование довольно крупное; и если предположить его внутри-грудное положение, должны были выявляться изменения нормальной анатомии структур средостения.
Согласна, но, если опухоль в средостенье, какие изменения нормальной анатомии структур средостенья в таком случае мы можем увидеть на снимке легких в прямой проекции и обязательно ли они будут?
При таких размерах, да. Например; если это в переднем средостении; оно должно было проллабировать за границы сердца, или латеральные границы средостения имели бы более выпуклый контур на определённом участке (как при тимомах например). Ибо сердце не дало бы образованию расти назад, а спереди есть грудина. Если среднее или заднее средостение; было бы смещение трахеи или увеличении угла бифуркации трахеи.
Марио, Вы наверное случайно здесь разместили подсказку к Вашей демонстрации желудка... Воспользуюсь случаем - инет колбасится - прокомментирую: красота требует жертв...
А по-поводу смещения структур средостенья - не факт, не обязательно, зависит от локализации.... В упомянутом мною случае нарушения нормальной рентгенанатомии не было при весьма солидных размерах образования, если найду этот случай, к сожалению я его не скинула в личный архив, покажу...
Вполне возможно, но повторюсь; при больших размеров, нарушения нормальных анатомических взаимо-отношениях органов средостения на прямой проекции должны быть. Они могут быть мало-выражено, скрыты, о некоторых вторичных признаках можно не знать. Но в принципе, мое кредо: я никогда не заявляю: этого не может быть; просто я могу этого не знать.
Подсказку к желудку я уже опубликовал; браво что сразу догадались!
Если "абсолюта" и нет, то касательно Вашего кредо, мы можем его достичить - совершенно согласна. А данный случай я разместила как демонстрацию того, что не стоит пренебрегать стандартами и старыми, добрыми, школьными правилами пропедевтики... К сожалению, снимки смогу загрузить только завтра - на модеме сижу...
P.S. Врать не буду - не сразу догадалась, только с подсказкой...
Вот еще правый боковой! Это "алаверды" Владимиру Борисовичу!
Я тут ни при чем Selavie. Часто "загадки" решаются очень легко: посмотри на пациента в видимом диапазоне спектра (не в икс-рентгеновском) или поговори с ним/ней
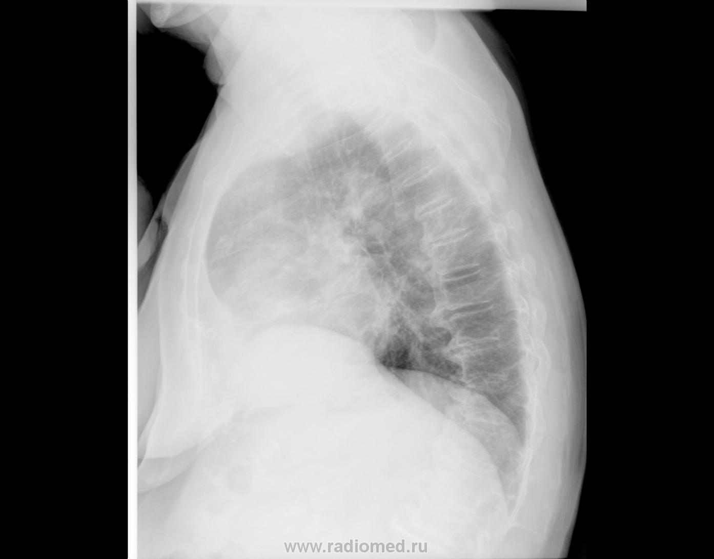
Но "штуковина" значительных размеров, та, что "снаружи" лучше всего видна на косой (с небольшим поворотом прямой) проекции, следовавтельно, на мой взгляд, с топографией "неувязочка".
Структура порозна, соответственно возрасту, неоднородна за счет суммации с мягкими тканями ( у полного человека) на гиперконтрастированом цифровом снимке с широким диапазоном серого...
P.S. Валентин Львович, киньте в личку Ваш e-mail, я Вам файл вышлю...
Образования средостения?
Просто на фоне тени сердца складывается впечатление об образовании, внушительных размеров, а может обман зрения
"Знаешь, у некоторых врачей есть комплекс мессии — им необходимо спасать мир. А у тебя комплекс Рубика — тебе необходимо решать головоломки."
Здравствуйте Татьяна Валентиновна!
Необходим, котя-бы "правый боковой".
Вот еще правый боковой! Это "алаверды" Владимиру Борисовичу!
"самоуверенность дилетантов - предмет зависти профессионалов"
Ну, в таком случае - это ответ (Влдимиру Борисовичу) - "не в бровь, а в глаз". Правда, устами "Верки Сердючки" - "не в бровь, а прямо в рот".
Извеняюсь, а что по поводу представленного случая, имеет место быть образования средостения?
"Знаешь, у некоторых врачей есть комплекс мессии — им необходимо спасать мир. А у тебя комплекс Рубика — тебе необходимо решать головоломки."
Вероятно контур слева внутри сердечной тени "ядро"в области 3 - ей дуги - гипертрофированное левое предсердие при митральном пороке с преобладанием стеноза. В малом круге венозный застой 2 степени по Турнеру, а присмотревшись и Керли слева... - почти 3 я, + 2стадия артериальной легочной гипертензии.
Необходимо согласиться с коллегой по поводу увеличенного левого предсердия, кстати, и левый главный бронх смещен кверху. Что-то, на мой взгляд, правый купол диафрагмы "высоковато"?
Ну соглашусь, а в чем тогда провокация? И у коллеги Виталия вовсе не обман зрения...
"самоуверенность дилетантов - предмет зависти профессионалов"
На уровне шеи создается впечатление смещения трахеи влево, а возможно даже сужение.
Провокация может быть и в не симметричной установке.
Не-а, это пациентка голову повернула ( у нас нет стойки)... Я бы не стала "провоцировать" несимметричной укладкой. Образование действительно есть - плотная тень на фоне тени сердца. Честно же написала - за "базар" отвечаю! даже пост назвала соответствующе... Вот мой ответ Серову...
"самоуверенность дилетантов - предмет зависти профессионалов"
Тогда можно заняться диф.диагностикой
, тератома или может образование перикарда(целомическая киста?), может ещё кто нибудь предложит??? Если образование плотно прелижит к позвоночнику, можно предложить невриному, но как то ужь по размерам не характерна и симметрично смотрится.
"Знаешь, у некоторых врачей есть комплекс мессии — им необходимо спасать мир. А у тебя комплекс Рубика — тебе необходимо решать головоломки."
Vital! Я говорила, что есть образование, но не говорила, что оно в средостенье! Да, понимаю. демонстрация нечестная, данных недостаточно, но во-первых, это мой ответ на более ранний пост, а во-вторых, так интереснее.
"самоуверенность дилетантов - предмет зависти профессионалов"
мигрировавший центрально увеличитель груди:)?
Ну вот, ну ни могла же у него такая штуковенция где-нибудь на поверхности вырости, хотя всяко может быть.
"Знаешь, у некоторых врачей есть комплекс мессии — им необходимо спасать мир. А у тебя комплекс Рубика — тебе необходимо решать головоломки."
Может это образование не в самой грудной полости; а в стенках грудной клетки, на коже например или в мышцах.
Let me see...
radiographia.ru
Vital, Mario, очень горячо, коллеги, завтра выложу доказательные снимки... А что может вырасти - вы удивитесь...
"самоуверенность дилетантов - предмет зависти профессионалов"
Понятно.. Я долго смотрел снимок, и не смог себе представить образование такого размера, в такой проекции, без какого либо масс эффекта на окружающие структуры, если предположить что оно находится в грудной полости. Поэтому по логике, образование должно локализоваться вне полости, в стенках. По поводу вероятного протеза молочной железы, не думаю. При таком смещение, было бы спадение стенок протеза.
Let me see...
radiographia.ru
Конечно, этак мы договоримся, что "ЭТА ХРЕНЬ" могла быть и приклеена, или фиксирована к коже. Все может быть, все может статься.
НО ВЫВОД ОДИН. Коллегой Татьяной Валентиновной наглядно показано, что не может быть никакой "самодеятельности", и если есть стандарт первого уровня для исследования органов грудной полости - ПРЯМАЯ + БОКОВАЯ, то довольствование только одной прямой проекцией чревато и весьма.
Представленный Вами случай, Татьяна Валентиновна, вполне может и должен демонстрироваться, как на "первичке", так и на усовершенствовании, что стандарт - есть стандарт.
Т.В.:
"Vital, Mario, очень горячо, коллеги, завтра выложу доказательные снимки... А что может вырасти - вы удивитесь..."
По всей видимости, - это будет огромное пигментное пятно с волосами, как у обезьянки?
Марио, должна возразить, недавно был у нас случай опухоли трахеи и молодого пациента, которая выглядела примерно так же и локализовалась под бифуркацией трахеи, в легких не было НИКАКИХ изменений! Касательно мигрировавшего протеза, если коротко - это не протез. На снимке достаточно информации: обратите внимание на форму молочных желез - для протеза тень маловата, да сложно протезу смещаться под кожу над грудиной...
"самоуверенность дилетантов - предмет зависти профессионалов"
Я с Вами согласен по протезу; поэтому и написал: не думаю что это протез.
В отношении моего поста; Вы наверно меня не совсем правильно поняли; я не имел в виду что должны были быть изменения в лёгких; я написал: масс эффект на окружающие структуры, т.е. структуры самого средостения. При многих опухолях средостения, никаких изменений в лёгких не выявляется. На представленном Вами снимке, образование довольно крупное; и если предположить его внутри-грудное положение, должны были выявляться изменения нормальной анатомии структур средостения.
Let me see...
radiographia.ru
Согласна, но, если опухоль в средостенье, какие изменения нормальной анатомии структур средостенья в таком случае мы можем увидеть на снимке легких в прямой проекции и обязательно ли они будут?
"самоуверенность дилетантов - предмет зависти профессионалов"
Не-а, без дураков, "эта хрень" не прилеплена к коже, и не волосатое пигментное пятно... Обещаю, завтра -покажу...
"самоуверенность дилетантов - предмет зависти профессионалов"
При таких размерах, да. Например; если это в переднем средостении; оно должно было проллабировать за границы сердца, или латеральные границы средостения имели бы более выпуклый контур на определённом участке (как при тимомах например). Ибо сердце не дало бы образованию расти назад, а спереди есть грудина. Если среднее или заднее средостение; было бы смещение трахеи или увеличении угла бифуркации трахеи.
Let me see...
radiographia.ru
В нормальное строение стенок грудной полости входит не только кожа.
Let me see...
radiographia.ru
Марио, Вы наверное случайно здесь разместили подсказку к Вашей демонстрации желудка... Воспользуюсь случаем - инет колбасится - прокомментирую: красота требует жертв...
А по-поводу смещения структур средостенья - не факт, не обязательно, зависит от локализации.... В упомянутом мною случае нарушения нормальной рентгенанатомии не было при весьма солидных размерах образования, если найду этот случай, к сожалению я его не скинула в личный архив, покажу...
"самоуверенность дилетантов - предмет зависти профессионалов"
Но Валентин Львович ближе всех!
"самоуверенность дилетантов - предмет зависти профессионалов"
Вполне возможно, но повторюсь; при больших размеров, нарушения нормальных анатомических взаимо-отношениях органов средостения на прямой проекции должны быть. Они могут быть мало-выражено, скрыты, о некоторых вторичных признаках можно не знать.
Но в принципе, мое кредо: я никогда не заявляю: этого не может быть; просто я могу этого не знать.
Подсказку к желудку я уже опубликовал; браво что сразу догадались!
Let me see...
radiographia.ru
Если "абсолюта" и нет, то касательно Вашего кредо, мы можем его достичить - совершенно согласна. А данный случай я разместила как демонстрацию того, что не стоит пренебрегать стандартами и старыми, добрыми, школьными правилами пропедевтики... К сожалению, снимки смогу загрузить только завтра - на модеме сижу...
P.S. Врать не буду - не сразу догадалась, только с подсказкой...
"самоуверенность дилетантов - предмет зависти профессионалов"
Зри в корень!
Вот-вот, и я о том же, Владимир Борисович! Старые добрые правила пропедевтики: осмотр, опрос, ну и конечно же полипозиционное исследование...
"самоуверенность дилетантов - предмет зависти профессионалов"
А вот что это было:
"самоуверенность дилетантов - предмет зависти профессионалов"
Весьма впечатляет. Все хорошо, да не очень. А не очень - это отсутствие Вашего коммента. Интрига затягивается?
Это огромная липома.
...что и требовалось доказать.
Let me see...
radiographia.ru
Не всё так просто. Посему и "молчит" наша уважаемая Татьяна Валентиновна.
Итак. В прямой проекции .та "хрень" расположена центрально, этак почти "на тени " позвоночника.
Следовательно на боковой проекции "эта штука" должна быть видна очень хорошо или "спереди" или "сзади". А где она на боковом снимке?
А куда это "попер" купол диафрагмы?
Но "штуковина" значительных размеров, та, что "снаружи" лучше всего видна на косой (с небольшим поворотом прямой) проекции, следовавтельно, на мой взгляд, с топографией "неувязочка".
Диафрагма высоковато - пожилой человек... Косой снимок сделан не в стандартной проекции, это доктор под контролем рентгеноскопии "выводил" узел.
Не липома, это плоскоклеточный рак кожи
"самоуверенность дилетантов - предмет зависти профессионалов"
Во как. Не "липома", а "плоскоклеточный рак". Следовательно сейчас последует Вам весьма каверзный вопрос.
А структура правой лопатки нормальная или сне это просто кажется?
Структура порозна, соответственно возрасту, неоднородна за счет суммации с мягкими тканями ( у полного человека) на гиперконтрастированом цифровом снимке с широким диапазоном серого...
P.S. Валентин Львович, киньте в личку Ваш e-mail, я Вам файл вышлю...
"самоуверенность дилетантов - предмет зависти профессионалов"
Я скинул его в нашу "ветку" - КОРРЕКЦИЯ. Он в последнем комменте.
Оказывается, что это не липома.