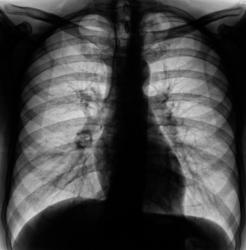
Пол пациента: Мужской пол Тип патологии: Другое Область исследования: Грудная клетка и верхние дыхательные пути Методы исследования: Rg При расшифровке цифровых флюорограмм пациент "взят на контроль". Сомнения вызвала левая верхушка. Произведено стандартное дообследование. Ваше мнение коллеги? Пнд, 28/09/2009 - 19:58 #1 Sergo Не на сайте Был на сайте: 14 лет 3 месяцев назад Зарегистрирован: 26.06.2009 - 18:42 Публикации: 41 Это благодарный пациент таким образом отразил свою большую любовь к Вам в виде маленького сердечка. Наверное дело было на День Св. Валентина. Сб, 02/09/2017 - 21:53 #2 Катенёв Валенти... Не на сайте Был на сайте: 7 лет 2 недели назад Зарегистрирован: 22.03.2008 - 22:15 Публикации: 54876 А случай то интересный... Сб, 02/09/2017 - 21:58 #3 colombina Не на сайте Был на сайте: 1 год 7 месяцев назад Зарегистрирован: 07.07.2016 - 16:28 Публикации: 478 Sergo wrote: Это благодарный пациент таким образом отразил свою большую любовь к Вам в виде маленького сердечка. Наверное дело было на День Св. Валентина. + 1. А если по-серьезному, то вероятнее ретенционная киста. Сб, 02/09/2017 - 22:09 #4 Катенёв Валенти... Не на сайте Был на сайте: 7 лет 2 недели назад Зарегистрирован: 22.03.2008 - 22:15 Публикации: 54876 Вы правы уважаемая коллега. Классика жанра. Вс, 03/09/2017 - 17:57 #5 Nikolas Не на сайте Был на сайте: 1 месяц 3 недели назад Зарегистрирован: 21.12.2010 - 20:37 Публикации: 4559 Похоже на ретенционную кисту. Заполненная брохиальная киста легкого представляет расширенный бронх, чаще 3-5 порядка. А здесь? Как легко спутать с очаговым туберкулёзом, тем более имеются рядом мелкие очаги. Как доказали, что это ретенционные кисты? Сб, 02/09/2017 - 22:50 #6 Катенёв Валенти... Не на сайте Был на сайте: 7 лет 2 недели назад Зарегистрирован: 22.03.2008 - 22:15 Публикации: 54876 Nikolas wrote: Как легко спутать с очаговым туберкулёзом, тем более имеются рядом мелкие очаги. Вы чётко видите очаги? Сб, 02/09/2017 - 23:00 #7 Nikolas Не на сайте Был на сайте: 1 месяц 3 недели назад Зарегистрирован: 21.12.2010 - 20:37 Публикации: 4559 Кроме того, тени неоднородной структуры. Так я вижу. Как верифицировали? Приложения: Сб, 02/09/2017 - 23:08 #8 Катенёв Валенти... Не на сайте Был на сайте: 7 лет 2 недели назад Зарегистрирован: 22.03.2008 - 22:15 Публикации: 54876 Пациент был взят на контроль после флюорографии, дообследован. Даже на томограммах остались определенные сомнения. Была назначена консультация фтизиатра. Был на консультации в ОПТД, был поставлен на учёт. Выписка из ОПТД пришла в туб кабинет. Сб, 02/09/2017 - 23:15 #9 Nikolas Не на сайте Был на сайте: 1 месяц 3 недели назад Зарегистрирован: 21.12.2010 - 20:37 Публикации: 4559 Противотуберкулезную химиотерапию проводили? И что написали из ОПТД? Сб, 02/09/2017 - 23:30 #10 Катенёв Валенти... Не на сайте Был на сайте: 7 лет 2 недели назад Зарегистрирован: 22.03.2008 - 22:15 Публикации: 54876 Да. Было инфицирование кисти МБТ.
Это благодарный пациент таким образом отразил свою большую любовь к Вам в виде маленького сердечка. Наверное дело было на День Св. Валентина.
А случай то интересный...
А если по-серьезному, то вероятнее ретенционная киста.
Вы правы уважаемая коллега.
Классика жанра.
Похоже на ретенционную кисту. Заполненная брохиальная киста легкого представляет расширенный бронх, чаще 3-5 порядка. А здесь? Как легко спутать с очаговым туберкулёзом, тем более имеются рядом мелкие очаги. Как доказали, что это ретенционные кисты?
Вы чётко видите очаги?
Кроме того, тени неоднородной структуры. Так я вижу.
Как верифицировали?
Пациент был взят на контроль после флюорографии, дообследован.
Даже на томограммах остались определенные сомнения. Была назначена консультация фтизиатра.
Был на консультации в ОПТД, был поставлен на учёт.
Выписка из ОПТД пришла в туб кабинет.
Противотуберкулезную химиотерапию проводили? И что написали из ОПТД?
Да.
Было инфицирование кисти МБТ.