То ли ТВС, то ли онко?

Пол пациента: 
Тип патологии: 
Методы исследования: 

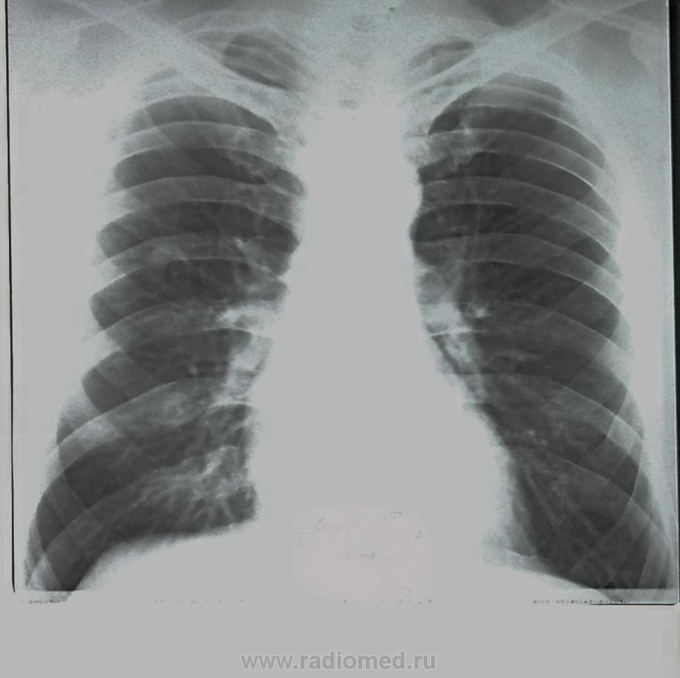
Направлен в ПТД, " очаговая тень справа". Что-то фтизиатр после 2нед. обследования стал "выталкивать" к онкологу.

Мое мнение - ТВС. А Ваше?

  • https://radiomed.ru/sites/default/files/styles/case_slider_image/public/user/17212/bok_0.jpg?itok=M6srI4bM
ID:28040
Mila85 аватар
Не на сайте
Был на сайте: 3 года 1 месяц назад
Зарегистрирован: 15.03.2012 - 16:59
Публикации: 1790

По-моему нет тут ничего, просто участок фиброза и/или наложение теней

Сергей Кузьминов аватар
Не на сайте
Был на сайте: 1 год 1 неделя назад
Зарегистрирован: 06.10.2012 - 15:51
Публикации: 11813

А где и что?

алкс аватар
Не на сайте
Был на сайте: 10 лет 2 недели назад
Зарегистрирован: 24.10.2012 - 22:55
Публикации: 2915

Сергей Кузьминов wrote:

А где и что?

Что, справа все хорошо?

Vikkur аватар
Не на сайте
Был на сайте: 4 года 7 месяцев назад
Зарегистрирован: 24.09.2009 - 14:34
Публикации: 1749

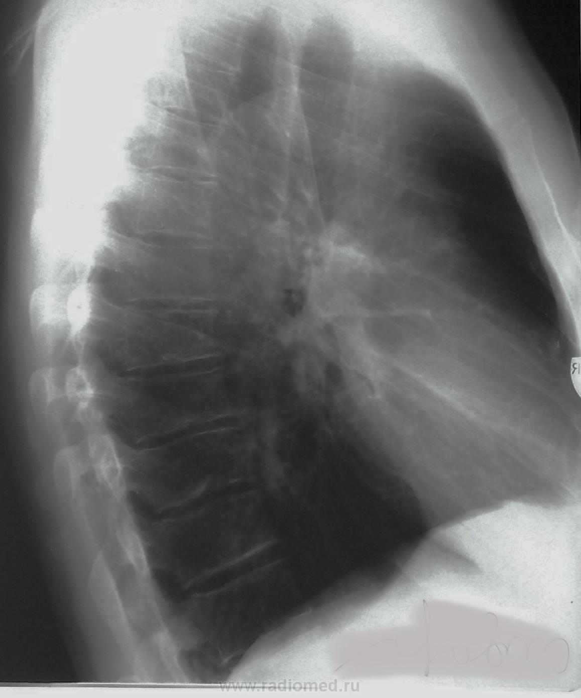
за 3 ребром? качество страдает конечно.По боковому Шоерман-Мау. "Трудно искать черную кошку..."

Виктор.

алкс аватар
Не на сайте
Был на сайте: 10 лет 2 недели назад
Зарегистрирован: 24.10.2012 - 22:55
Публикации: 2915

Томки

Приложения: 
8.jpg8.jpg
Almo аватар
Не на сайте
Был на сайте: 1 день 9 часов назад
Зарегистрирован: 28.09.2008 - 18:50
Публикации: 8248

Можно предположить артерио-венозную аневризму (мальформацию).Непложо было бы ФЛО- архив посмотреть, в плане давности изменений. Вы сами на скопии пациента не смотрели?

алкс аватар
Не на сайте
Был на сайте: 10 лет 2 недели назад
Зарегистрирован: 24.10.2012 - 22:55
Публикации: 2915

Almo wrote:

Можно предположить артерио-венозную аневризму (мальформацию).Непложо было бы ФЛО- архив посмотреть, в плане давности изменений. Вы сами на скопии пациента не смотрели?

yes Онкологи без КТ не берут, сегодня выложу КТ. То же думаю за мальформацию.

Петр Николаевич аватар
Не на сайте
Был на сайте: 3 года 9 месяцев назад
Зарегистрирован: 15.03.2011 - 13:22
Публикации: 150

Almo wrote:

Можно предположить артерио-венозную аневризму (мальформацию).Непложо было бы ФЛО- архив посмотреть, в плане давности изменений. Вы сами на скопии пациента не смотрели?

Плюсую за мальформацию

Леонид аватар
Не на сайте
Был на сайте: 8 лет 12 месяцев назад
Зарегистрирован: 13.01.2011 - 19:33
Публикации: 445

Эта штука онкологу не нужна. При пробе Вальсальвы и Мюллера должны изменится размеры аневризмы.

алкс аватар
Не на сайте
Был на сайте: 10 лет 2 недели назад
Зарегистрирован: 24.10.2012 - 22:55
Публикации: 2915

*

Приложения: 
img-0001-00001.jpgimg-0002-00001.jpgimg-0003-00001.jpgimg-0004-00001.jpgimg-0005-00001.jpgimg-0006-00001.jpgimg-0007-00001.jpgimg-0001-00001.jpgimg-0003-00001.jpgimg-0006-00001.jpgimg-0005-00001.jpgimg-0004-00001.jpg
mila аватар
Не на сайте
Был на сайте: 5 лет 2 месяцев назад
Зарегистрирован: 26.02.2010 - 02:56
Публикации: 277

В данном случае линйные томограмы более показательны.

алкс аватар
Не на сайте
Был на сайте: 10 лет 2 недели назад
Зарегистрирован: 24.10.2012 - 22:55
Публикации: 2915

mila wrote:

В данном случае линйные томограмы более показательны.

Согласен полностью! Вы yes . По линейке поставил ТУБЕРКУЛО(Ё)МУ.  Мать -губерния потребовала контраст - отказал.( нет обоснования!) Это не обоснование -" нам не нравится". Предложил контроль после лечения.

Причина отказа: при "носовом" т.е. носом по снимкам КТ, просмотре - как бы участок кальциноза по периферии.  Так и заявил: " предположительно локальное обызвествление образования". Ну подождем.

Приложения: 
1.jpg