Клинические наблюдения
19.11.2025 - 22:43
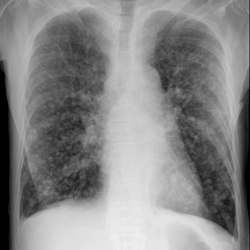
Пациента 70 лет. Две недели назад была температура , перенесла на ногах , что на снимке?
18.11.2025 - 12:20
Мужчина 1982 год рождения. Боль в коленном суставе. В направлении пишет гонартроз. Костная киста?
18.11.2025 - 08:44
Добрый день. Помогите пожалуйста. слева синусит или образование ? деструкция костной стенки левой ВЧП?
https://yadi.sk/d/8_HbGMnP_GWpzQ
17.11.2025 - 11:42
Здравствуйте! Мужчина 65 лет. Пассаж бария. Лапоратомии в 2023 г. ЗНО головки поджелудочной железы. Состояние после ПДР (2023). РПЭ(2016) .Непонятная картина проекции печени....
16.11.2025 - 21:59
Добрый день. я новичок в кт. Помогите разобраться. В анамнезе: Рак сигмовидной кишки, опер лечение в 2015г. п\о грыжа в области стомы
сслыка на исследование : https://disk.yandex.ru/d/...
14.11.2025 - 17:52
Пациентка 78 лет. Поступила в больницу в тяжелом состоянии, при выполнении снимка лёгких рентгенолаборант обратила внимание, что в проекции брюшной полости инородное тело металлической...
13.11.2025 - 08:38
Добрый день. Подскажите пожалуйста как описать тяжи в левом легком? Что это может быть ? из анамнеза - только известно что есть крупный шрам под левой грудью
11.11.2025 - 15:19
Множественная миелома? Гистиоцитоз? Гиперпаратериоидная остеодистрофия?
10.11.2025 - 17:58
Пациент 35 лет. Состояние после автомобильной аварии; неоднократные операции на плечевой кости.
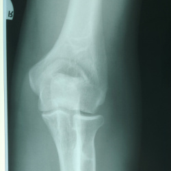
06.11.2025 - 19:27
Коллеги, здравствуйте!
Мужчина, 48. Жалобы на боли в правом локтевом суставе. Травм не было. Работа связана с физическим трудом.
На боковом снимке смущается обведенный округлый участок. На...
06.11.2025 - 16:17
Пациент 63 года. Жалобы на слабость, кашель с мокротой.
03.11.2025 - 21:56
Острый верхнечелюстной синусит, КТ после ~1 месяца лечения(курс антибиотиков + сосудосуживающие(неделя), а также топические интраназальные стероиды + промывания солевым раствором +...
- « первая
- ‹ предыдущая
- 1
- 2
- 3
- 4
- 5
- 6
- 7
- 8
- 9
- …
- последняя »
- следующая ›