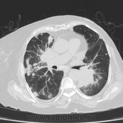
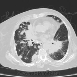
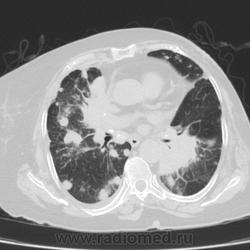
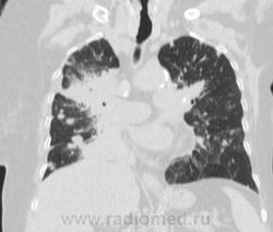
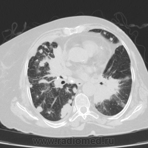
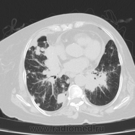
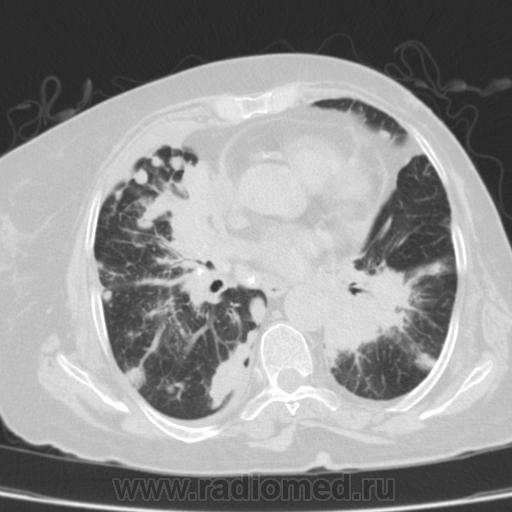
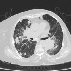
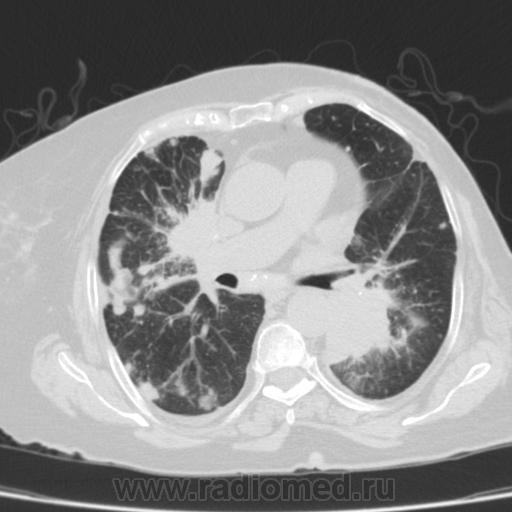
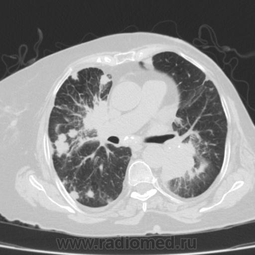
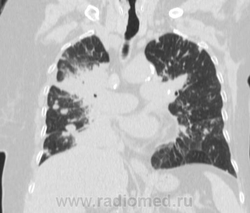
Метастатическое поражение легких.

Пол пациента: 
Методы исследования: 

Пожилая женщина, 76 лет находится на стац.лечении, провели СКТ дообследование.  Сопут- сr левой молочной железы. Такие множественные

поражения  в легких встречаются не часто.

  • https://radiomed.ru/sites/default/files/styles/case_slider_image/public/user/16789/img-0002-00001_1.jpg?itok=R7KA9SLh
  • https://radiomed.ru/sites/default/files/styles/case_slider_image/public/user/16789/img-0003-00001_1.jpg?itok=8qX-DZHF
  • https://radiomed.ru/sites/default/files/styles/case_slider_image/public/user/16789/img-0004-00001_1.jpg?itok=695VogL8
  • https://radiomed.ru/sites/default/files/styles/case_slider_image/public/user/16789/img-0005-00001_2.jpg?itok=fnv3TvxD
  • https://radiomed.ru/sites/default/files/styles/case_slider_image/public/user/16789/img-0006-00001_1.jpg?itok=Bq9HKsA_
  • https://radiomed.ru/sites/default/files/styles/case_slider_image/public/user/16789/img-0007-00001_0.jpg?itok=ZBm0CY-M
ID:24762
НАДЕЖДА ЮРЬЕВНА аватар
Не на сайте
Был на сайте: 6 лет 11 месяцев назад
Зарегистрирован: 30.07.2012 - 13:14
Публикации: 360

Раннее несколько лет назад оперирована по поводу рака левой молочной железы.

Приложения: 
img-0021-00001.jpgimg-0020-00001.jpgimg-0015-00001.jpgimg-0013-00001.jpgimg-0012-00001.jpgimg-0011-00001.jpgimg-0011-00001.jpgimg-0010-00001.jpgimg-0008-00001.jpgimg-0007-00001.jpg
Катенёв Валентин Львович аватар
Не на сайте
Был на сайте: 7 лет 2 недели назад
Зарегистрирован: 22.03.2008 - 22:15
Публикации: 54876

Да, уважаемая коллега, интересные случаи выкладываете, работа по всей видимости у Вас совсем не тихая и спокойная.

Андрей Юрьевич аватар
Не на сайте
Был на сайте: 6 дней 18 часов назад
Зарегистрирован: 16.11.2008 - 22:16
Публикации: 18098

Ну, это и на обычном снимке было очевидно. Наверное.

Андрей Юрьевич

НАДЕЖДА ЮРЬЕВНА аватар
Не на сайте
Был на сайте: 6 лет 11 месяцев назад
Зарегистрирован: 30.07.2012 - 13:14
Публикации: 360

Ну да, неспокойная работа, один тяжелее и  интересней другого. На обзорной рентгенограмме было всё видно прекрасно. Но терапевты направили, а я и не отказалась, чтобы в следующий раз знать- какие они бывают вторичные поражения легких.

И.Бондаренко аватар
Не на сайте
Был на сайте: 2 дня 11 часов назад
Зарегистрирован: 13.09.2011 - 22:55
Публикации: 9206

НАДЕЖДА ЛИШИНА wrote:

Ну да, неспокойная работа, один тяжелее и  интересней другого. На обзорной рентгенограмме было всё видно прекрасно. Но терапевты направили, а я и не отказалась, чтобы в следующий раз знать- какие они бывают вторичные поражения легких.

Не всё на снимках видно. Многое осталось бы за кадром.